Toujours et encore des épulis ?

  • Par
  • Publié le . Paru dans L'Information Dentaire (page 25-27)
Information dentaire
C’est le quatrième (et probablement le dernier) article sur les épulis et les autres tumeurs gingivales*. Les autres tumeurs gingivales se composent avant tout de tumeurs bénignes, plus rarement de tumeurs malignes ; ces dernières peuvent intéresser seulement la gencive ou, à la fois, la gencive et l’os sous-jacent. Exceptionnellement, la tumeur (métastase, ostéosarcome, lymphome…) se développe initialement dans les maxillaires et elle envahit secondairement la gencive.

CAS 1

Motif de la consultation.
Patiente de 61 ans, adressée par son chirurgien-dentiste traitant qu’elle a consulté pour une lésion gingivale.
 

Histoire de la maladie. En raison de l’absence de douleurs, la patiente a attendu 2 mois avant de se rendre chez son chirurgien-dentiste. Elle s’est finalement décidée, car la lésion avait augmenté de taille et avait tendance à saigner.

Interrogatoire. La patiente ne présentait pas d’antécédents médico-chirurgicaux, hormis un lichen plan gingival isolé qui évoluait depuis de nombreuses années. Il s’agissait d’une forme paucisymptomatique qui n’avait jamais nécessité de traitement. La patiente avait été informée du risque de transformation maligne. Elle était examinée régulièrement car elle consultait tous les 6 mois pour des soins d’hygiène bucco-dentaire. C’était une patiente compliante, non fumeuse, qui avait toujours respecté scrupuleusement les mesures préventives qui lui avaient été conseillées.
 
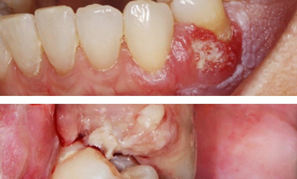
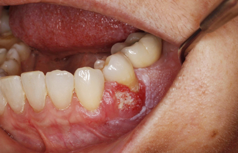
Examen clinique. On observait un remaniement de la fibromuqueuse gingivale vestibulaire et une tumeur gingivale vestibulaire intéressant principalement la papille interdentaire entre 33 et 34, avec une extension postérieure érythémateuse. Les limites de la lésion étaient assez nettes. Dans sa partie antérieure, il existait une zone papillomateuse blanchâtre où la pression faisait sourdre une substance blanchâtre, de consistance pâteuse. La gencive en dessous et en arrière de la lésion était recouverte par une kératose dont la surface avait un aspect framboisé.

Examen paraclinique.
L’examen histopathologique de la pièce d’exérèse a montré que la surface de la lésion était tantôt plane, tantôt papillaire, avec par endroits une épaisse couche de parakératose. L’épithélium comportait une alternance de zones atrophiques et de zones hyperplasiques. En profondeur, il existait un carcinome épidermoïde bien différencié dont certains lobules étaient centrés…

Cet article est réservé aux abonnés.
Pour lire la suite :

Vous êtes abonné.e ? Connectez-vous
Mot de passe
oublié ?

Vous pouvez également :

Acheter l'article En version numérique

Thèmes abordés