SFPIO Rubrique de la Société Française de Parodontologie et d’Implantologie Orale
En 2004, Fardal O et coll. [1] s’intéressent aux dents perdues après traitement parodontal et maintenance. Sur 100 patients étudiés, 2 436 dents et un suivi de neuf à onze ans, ils montrent que seulement 1,5 % de dents sont perdues pour raisons parodontales. Une autre étude brésilienne de Chambrone LA et Chambrone L [2] publiée en 2006 confirme ces résultats avec 1,8 % de dents perdues pour raisons parodontales après dix ans pour 2 927 dents traitées avec des antécédents de parodontite chronique. Tous ces auteurs insistent bien évidemment sur l’importance de la maintenance et sur le fait que les fumeurs et les personnes âgées sont des sujets à risque.
Côté implantologie, Renvert S et coll. [3] décrivaient déjà en 2007 15 % de péri-implantites à dix ans sur 976 implants en fonction. En 2008, Lindhe J et coll. [4] indiquaient même entre 28 % et 56 % de péri-implantites.
Ces chiffres confirment qu’il y a tout intérêt à conserver les dents des patients le plus longtemps possible.
Cas 1
Une patiente âgée de 45 ans consulte à la fin des années 1990 avec une contention en échelle au maxillaire afin de soulager les mobilités des dents antérieures.
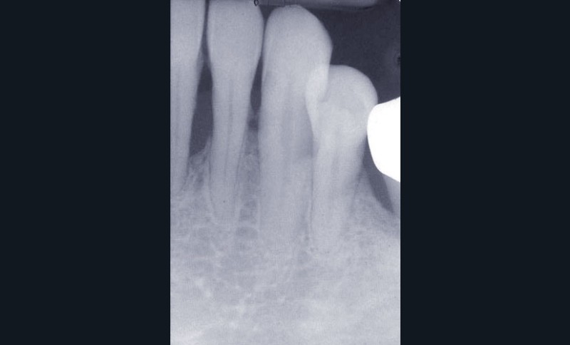
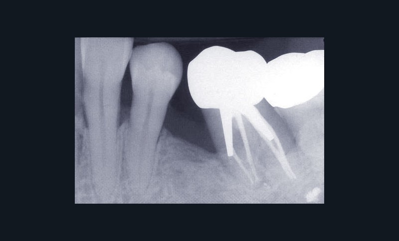
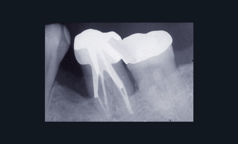
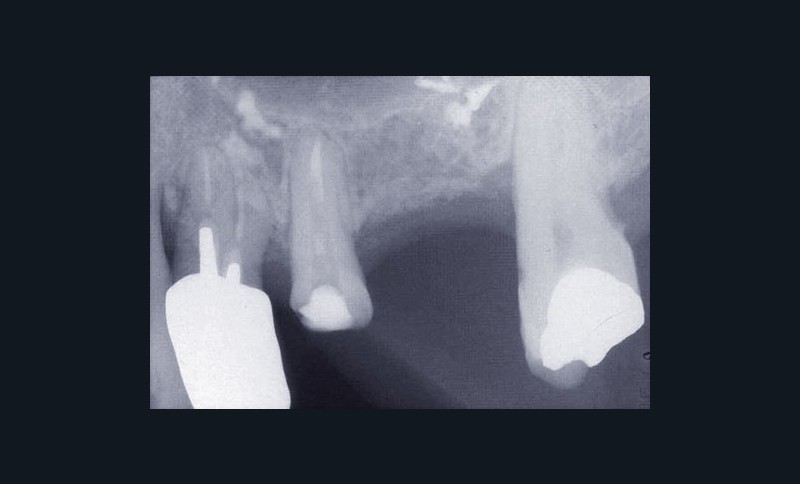
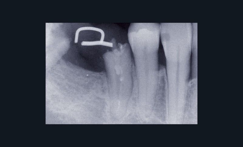
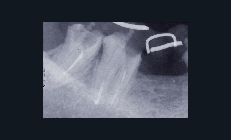
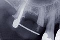
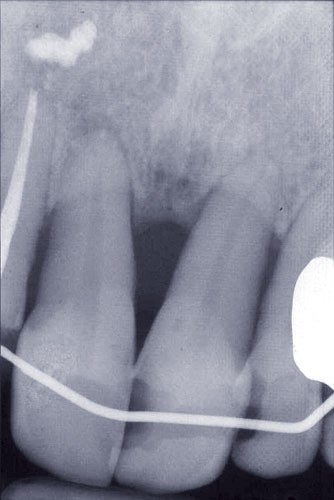
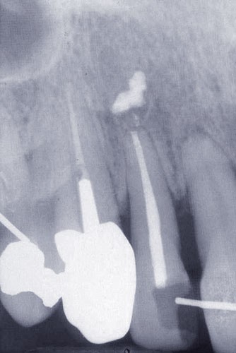
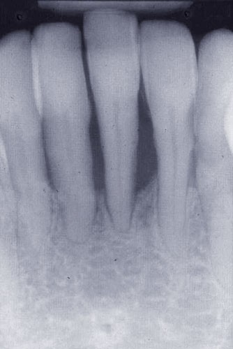
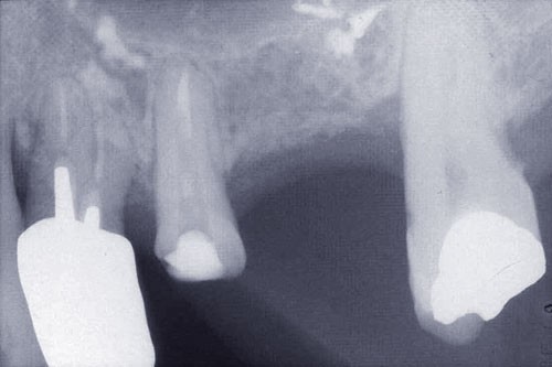
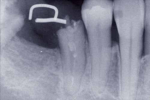
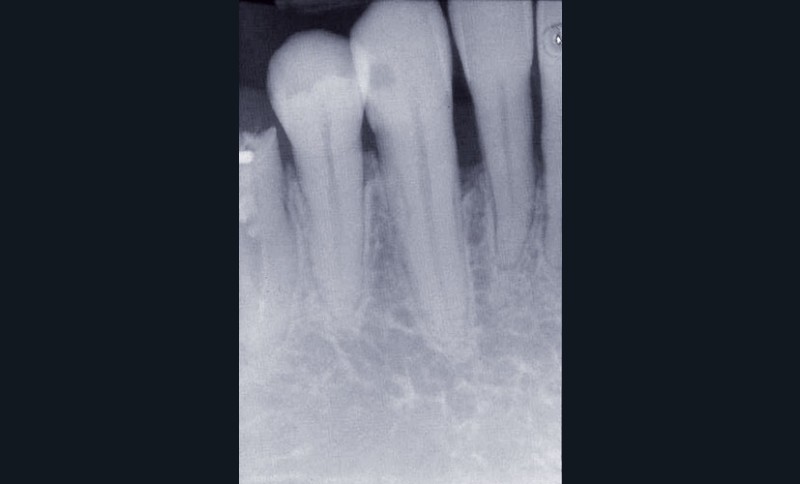
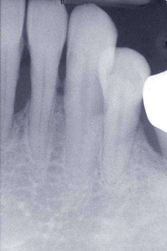
Les examens cliniques et radiographiques montrent une parodontite chronique généralisée (fig. 1a à m).
La patiente, en bonne santé, ne fume pas.
Nous décidons d’entreprendre une thérapeutique initiale parodontale classique dans tous les secteurs, y compris l’extraction de 24, un bridge de 45 à 48 avec 46 en pontique, un bridge complet de contention de 17 à 27 sur 11 piliers dentaires et une greffe épithélio-conjonctive sur 31. Cette dernière ne sera jamais réalisée. Le bridge maxillaire permettra de réduire le surplomb antérieur et d’améliorer le sourire de la patiente, ce qui constitue l’une de ses demandes.
Le traitement s’achève…












