Traitement contemporain d’une situation d’usure érosive

  • Par
  • Publié le . Paru dans L'Information Dentaire n°25 - 21 juin 2023 (page 52-62)
Information dentaire
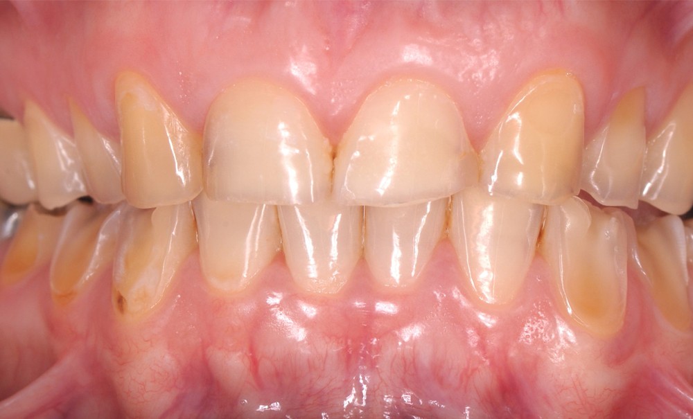
L’usure par érosion et attrition sévères représente malheureusement un motif de consultation de plus en plus fréquent au sein de nos cabinets. L’impact psychologique est souvent très fort et les patients concernés voient leur sourire se modifier inexorablement au fil des années, le processus d’usure étant le plus souvent continu, lent et insidieux. Le recours à la technique des « full mock up » représente une véritable avancée dans le cadre d’une approche additive de la reconstruction. Simple et pragmatique, elle est un véritable guide du commencement à la phase finale du traitement, aussi bien sur le plan esthétique que fonctionnel. Ses avantages sont multiples et constituent une véritable aide pour le praticien. Nous avons, pour notre part, systématisé cette approche depuis 2009 dans le cadre de la prise en charge de ces patients.

Les patients atteints d’usure érosive (de nature chimique) consultent de manière quasi exponentielle au sein des cabinets avec des degrés d’atteinte parfois sévères à très sévères. Le diagnostic préalable (usure de nature érosive (chimique), abrasive, attritive, ou abfractive) est essentiel pour une prise en charge globale odonto-médicalisée souvent transversale (psychothérapeute, gastro-entérologue, médecin nutritionniste…).

Les processus érosifs sont assez insidieux et se font généralement sur le long cours. Ainsi, les patients sont souvent amenés à consulter tardivement et les praticiens, dans leur grande majorité, n’ont pas forcément reçu un enseignement contemporain spécifique à leur prise en charge. Une modification du sourire correspondant à un aplatissement de la courbe frontale esthétique, une diminution de la hauteur verticale des dents, une modification du ratio des dents antérieures ou encore la remarque d’un proche sont souvent les signaux d’appel pour une consultation, indépendamment de toute symptomatologie.

Le recours aux techniques adhésives les plus récentes apporte heureusement aujourd’hui une réponse forte, innovante et réversible sans condamner davantage les dents supports. C’est le point fondamental de ces traitements. Mais avant tout, la prise en charge de ce type de patient doit faire appel à une démarche réfléchie, logique, rationnelle et exigeante de la reconstruction afin de valider les 4 principaux aspects du traitement : biologique, biomécanique, fonctionnel et esthétique.

Ce schéma est celui qui a été proposé et enseigné par le Dr Francesca Vaillati et le Pr Urs Belser de la Faculté de médecine dentaire de Genève depuis 2008 au travers de la Technique en 3 temps (« Three steps technique ») [1-5].

Plus globalement, il s’agit d’appliquer un concept de dentisterie additive et non plus soustractive. C’est un changement de paradigme majeur dans le cadre de la dentisterie…

Cet article est réservé aux abonnés.
Pour lire la suite :

Vous êtes abonné.e ? Connectez-vous
Mot de passe
oublié ?

Vous pouvez également :

Acheter l'article En version numérique
Acheter le numéro À l'unité

Thèmes abordés