avec la technique linguale Incognito™
Cette patiente est venue consulter pour son occlusion inversée et ses importantes malpositions dentaires antérieures associées à la perte d’une dent et à des problèmes parodontaux.
Le diagnostic
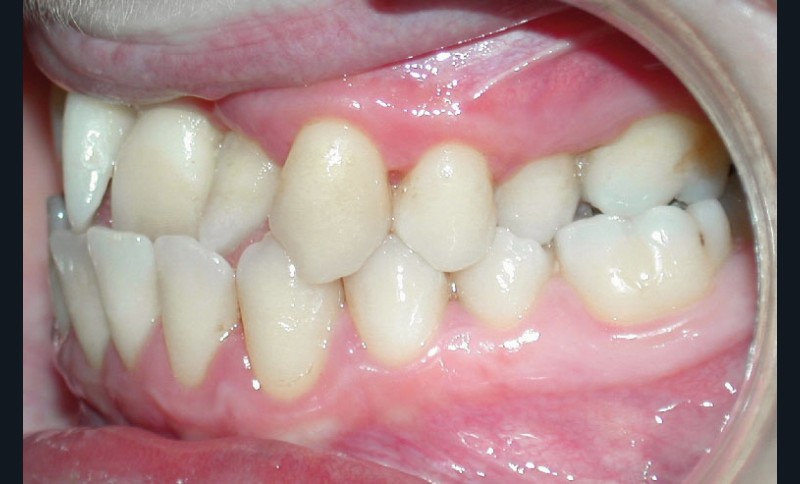
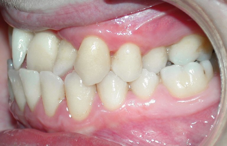
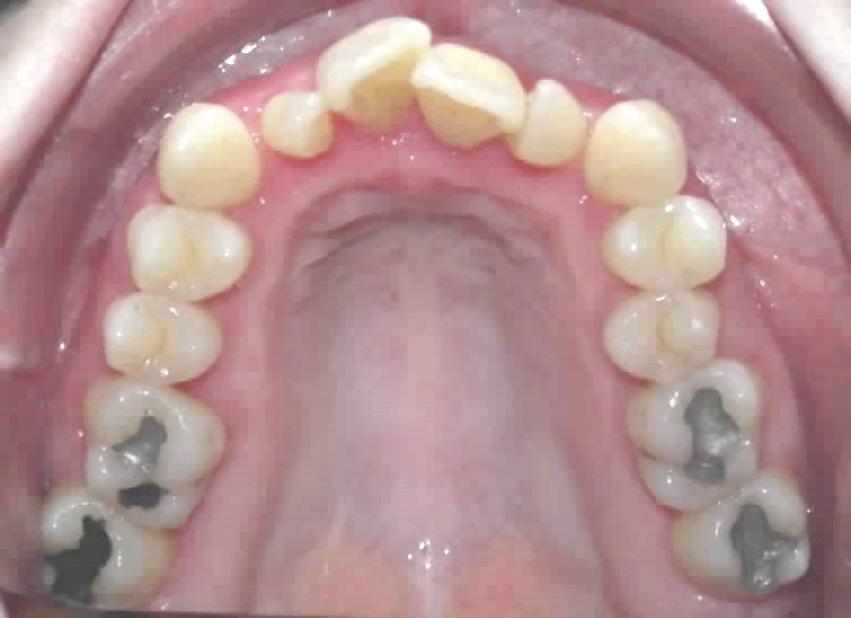
• Malocclusion de classe III d’Angle par rétroalvéolie maxillaire,
• endoalvéolie maxillaire avec occlusion inversée antérieure et bilatérale,
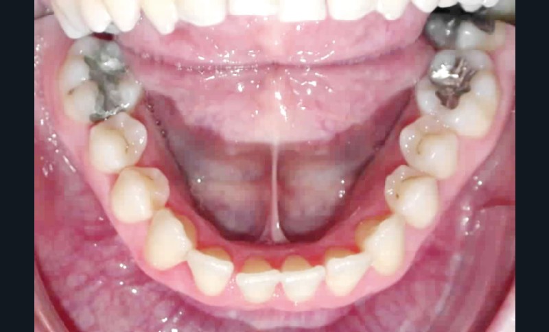
• infraclusion incisive,
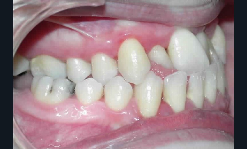
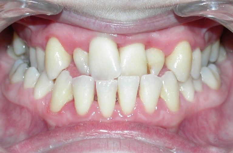
• fortes malpositions des incisives supérieures (dont 22 qui est en rotation axiale disto-palatine de 90°), • dysharmonie dento-dentaire (12 en « grain de riz » est aussi en rotation marginale disto-palatine de 45°),
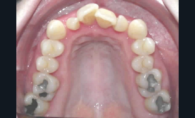
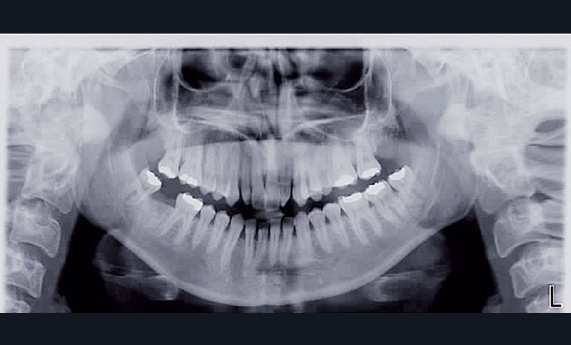
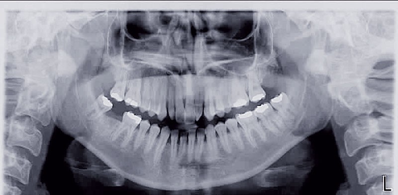
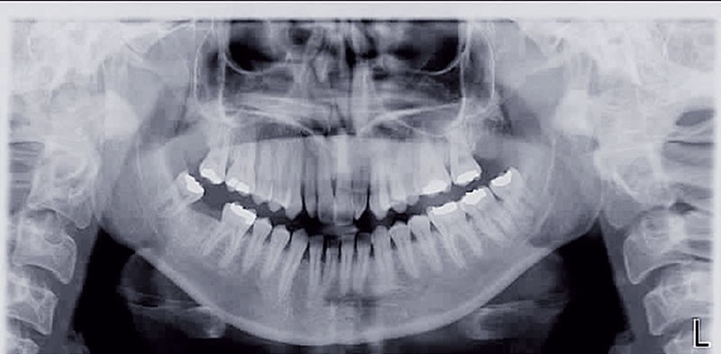
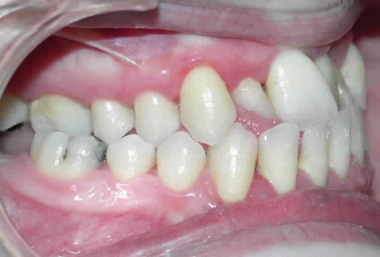
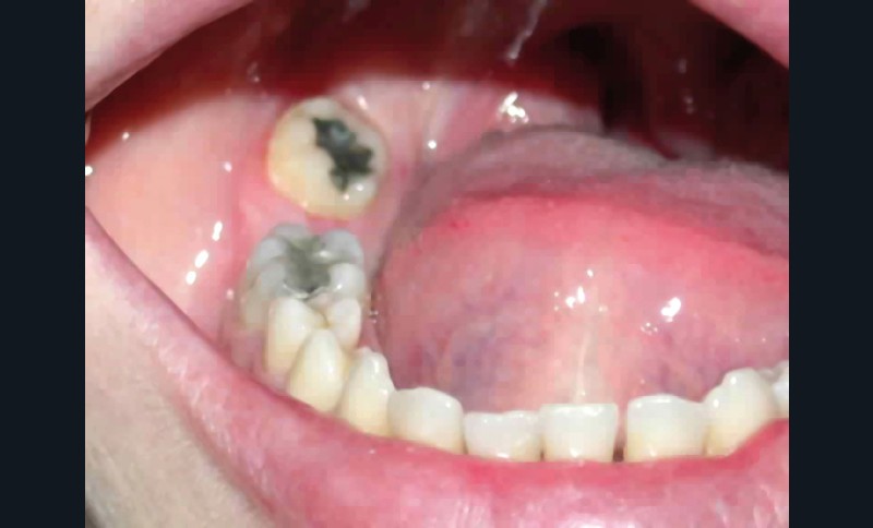
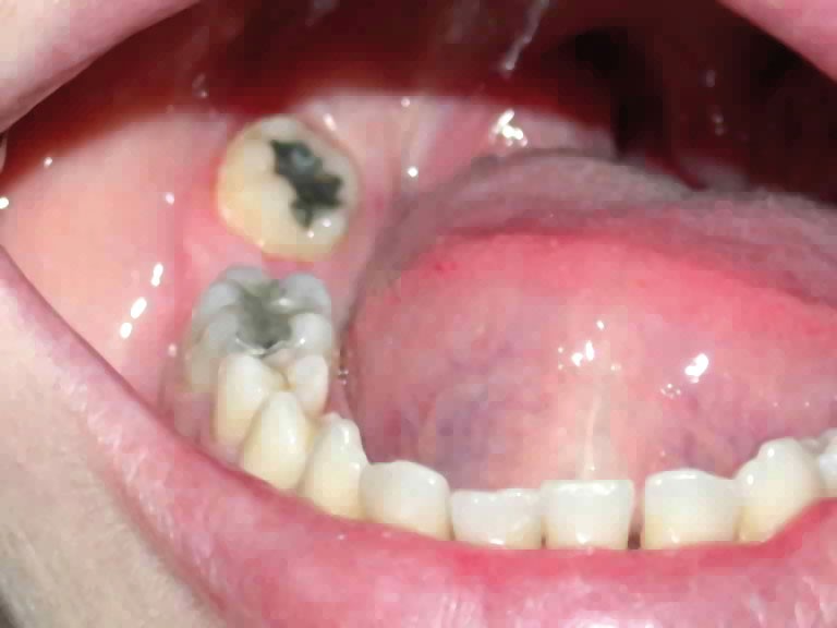
• anomalie de la forme d’arcade maxillaire, 47, 18 et 28 sont absentes. (fig. 1 à 8), 48 est positionnée très postérieurement, quasiment au niveau de la branche montante (fig. 9 et 11).
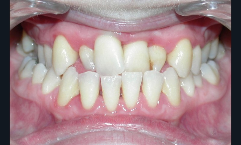
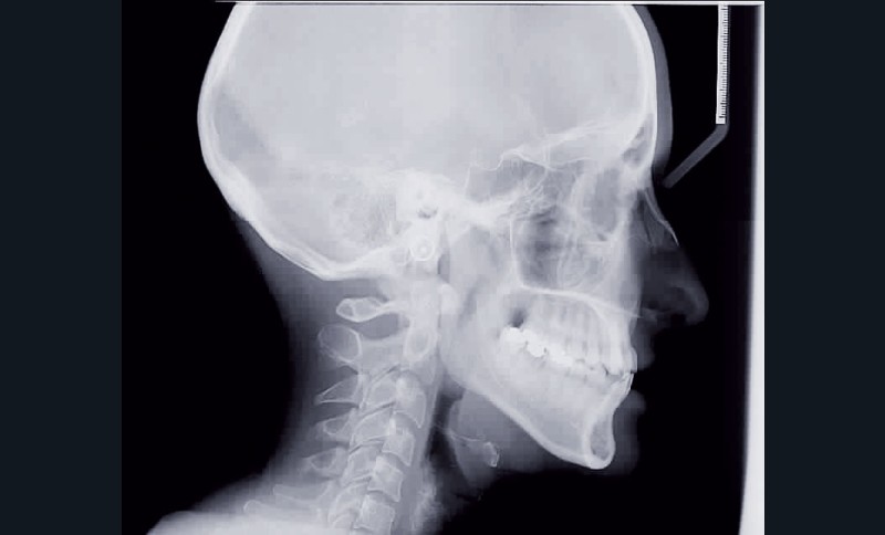
Le sourire est inesthétique (fig. 3) et de profil il existe une rétrochéilie supérieure (fig. 2).
Sur le plan parodontal, il existe une gingivite résiduelle à une gingivectomie (la patiente étant sous anti-épileptiques).
Le plan de traitement
Après assainissement parodontal, un traitement par expansion maxillaire avec vestibuloversion des incisives supérieures et mésialisation de 48 en lieu et place de 47 a été choisi. Il a été décidé d’extraire 38. Afin de permettre une reconstitution prothétique pour compenser la microdontie de 12 il est prévu de laisser un espace de part et d’autre de celle-ci, équivalent au diamètre mésio-distal de 22 soit 6,5 mm.
Consécutivement à la vestibuloversion des incisives supérieures, une aggravation de l’infraclusion incisive est attendue. Des élastiques intermaxillaires verticaux antérieurs…










