Cas clinique
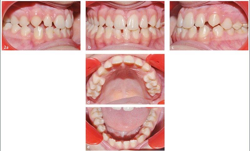
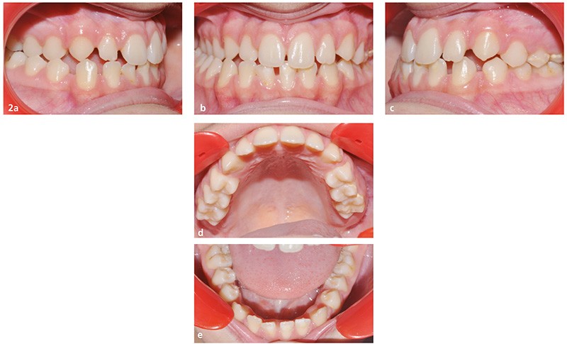
Il s’agit d’une adolescente de 13 ans présentant une latérognathie mandibulaire modérée.
Articulé inversé secteur 1/4 commençant dès 12/42 jusqu’à 15/45 (fig. 1 et 2).
Dysfonction linguale majeure. Pas de trouble de la ventilation nasale.
L’asymétrie squelettique n’entraîne pas de disgrâce faciale majeure.
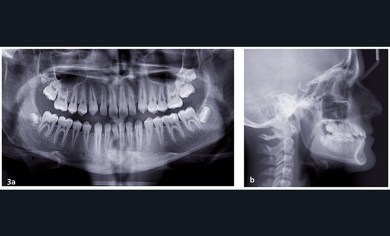
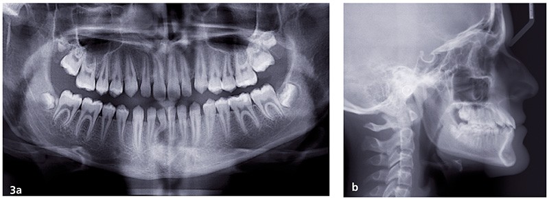
L’objectif est de rééquilibrer l’occlusion dentaire en réalisant des compensations dento-alvéolaires sans modifier le squelette. La chirurgie maxillo-faciale est écartée (fig. 3 et 4).
Il a été convenu de réaliser les déplacements orthodontiques à l’aide de la technique Insignia pour optimiser la gestion du torque et la coordination des arcades.
Les arcs et les brackets sont fabriqués sur mesure à partir du set-up numérique réalisé par le laboratoire Ormco et finalisé par nos soins.
La gestion du set up se fait avec une contrainte principale : l’adaptation dento-alvéolaire à la latéromorphose mandibulaire. Cela va nécessiter des angulations de torque asymétrique entre les secteurs droits et gauches des arcades. L’utilisation de brackets Damon métal à torque individualisé de la technique Insignia est parfaite pour gérer cette contrainte.
La deuxième difficulté est la correction de l’articulé inversé qui sera gérée par une bonne coordination des arcs possible par la fabrication d’arcs individualisés dès le 14×25 CuNiti.
En fin de traitement orthodontique des séances de rééducation des fonctions linguales seront réalisées.
Préparation orthodontique à l’aide du laboratoire Insignia
La technique Insignia est une technique multi-attache basée sur des attaches Damon réalisées à partir d’un set up.
Quatre intérêts : la visualisation de nos objectifs de traitement en 3D, la réalisation d’attaches avec des valeurs de torque individuelles, la réalisation d‘arcs CuNiti…



