Examen clinique
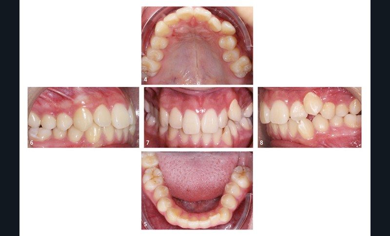
Sur le plan esthétique, le visage de face et de profil est harmonieux (fig. 1 et 2). Le sourire est perfectible, du fait de malpositions au maxillaire (fig. 3).
Sur le plan dentaire, au maxillaire, le patient présente une arcade en lyre avec de nombreuses malpositions (fig. 4). À la mandibule, la 37 est absente de l’arcade (fig. 5). Le patient présente une classe I d’Angle droite et gauche (fig. 6 et 7). Le surplomb et le recouvrement sont satisfaisants, les milieux sont alignés, et il existe une occlusion inversée 22/33 (fig. 8).
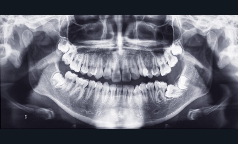
Le patient présente une DDM par encombrement antérieur et postérieur, des incisives mandibulaires vestibulo-versées et une 37 incluse en position horizontale (fig. 9).
Sur le plan squelettique, le patient présente une classe I de Ballard sur un schéma hyperdivergent et une rotation postérieure de Björk. Le patient se situe au stade Cvs 4 de maturation des vertèbres cervicales, soit en plein dans son pic de croissance (fig. 10).
Discussion
Sans traitement, le risque principal est la résorption et lésion parodontale en distal de 36. Il existe également un risque d’aggravation de la vestibulo-version des incisives mandibulaires avec apparition de récessions parodontales et un risque d’égression de la 27.
Avec traitement, le pronostic concernant la correction de la DDM et l’amélioration du sourire est bon ; en revanche, le pronostic de mise en place de 37 sur l’arcade est faible [1].
Les objectifs de traitement au niveau squelettique sont de maintenir la classe I de Ballard tout en contrôlant la dimension verticale. Au niveau dentaire, il faudra conserver les rapports de classe I d’Angle tout en corrigeant la DDM, mettre en place 37 sur arcade, repositionner les incisives mandibulaires et obtenir un alignement intra-arcade harmonieux…



