Examen clinique
La patiente a bénéficié, à l’âge de 10 ans, d’un traitement interceptif par distracteur maxillaire et arrêt de la succion du pouce. Au moment de l’examen initial, elle n’est pas encore réglée. L’anamnèse ne relève rien d’autre de particulier à signaler.
L’examen exobuccal montre (fig. 1) :
• de face :
– un visage de forme carrée ;
– la symétrie des lignes bi-pupillaires mais une asymétrie bi-commissurale par rapport au plan sagittal médian ;
– une diminution de l’étage inférieur de la face ;
– des lèvres épaisses et jointives mais sèches.
• de profil :
– un profil birétrusif ;
– un nez en position normale, harmonieux dans le profil ;
– un angle naso-labial légèrement fermé ;
– une position en arrière de la lèvre inférieure ;
– un menton bien positionné avec un bouton mentonnier et un sillon labio-mentonnier marqués ;
– une diminution de la distance cervico-mentonnière.
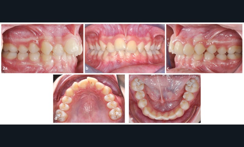
L’examen endobuccal montre (fig. 2) :
– une hygiène bucco-dentaire perfectible avec des dépôts de plaque aux collets des dents ;
– l’absence de lésions carieuses ou de dysplasies ;
– des scellements de sillons sur les molaires ;
– une forme de dents triangulaires ;
– un biotype parodontal fin avec une hauteur de gencive attachée de 2 mm ;
– une muqueuse alvéolaire saine ;
– des freins des lèvres et de la langue normaux.
À l’examen intra-arcades, on note :
Au maxillaire :
– une forme d’arcade en V ;
– une voûte palatine profonde ;
– les rotations de 11-12-21-22 ;
– l’absence de 17 et 27 sur l’arcade.
À la mandibule :
– une forme d’arcade en U ;
– les rotations de 41-42 ;
– un encombrement évalué selon la méthode de Nance à 5 mm au maxillaire et 2 mm à la mandibule ;
– une courbe de SPEE estimée cliniquement à 2 mm à droite et à gauche.
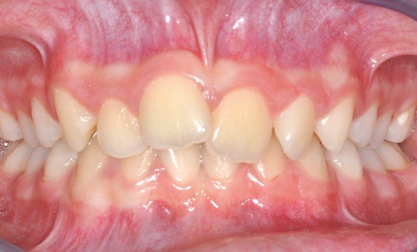
À l’examen inter-arcades en occlusion…

