Présentation du cas
Imen, âgée de 13 ans 3 mois, est adressée par le service de pédodontie suite aux avulsions de 16, 26, 36 et 46 pour des raisons endodontiques. Elle se plaint de la position trop antérieure de ses dents et n’a aucun antécédent orthodontique.
Examen exobuccal (fig. 1a-c)
De face, le visage est ovalaire, légèrement asymétrique avec une déviation du menton vers la droite et une lèvre inférieure asymétrique. L’occlusion labiale semble forcée. De profil, le visage est convexe avec une augmentation de l’étage inférieur et une éversion de la lèvre inférieure. Le menton est en position rétruse et la distance cervico-mentonnière est courte. Le sourire est denté, un peu étroit. Il révèle une légère déviation de la médiane incisive maxillaire vers la droite par rapport au plan sagittal médian.
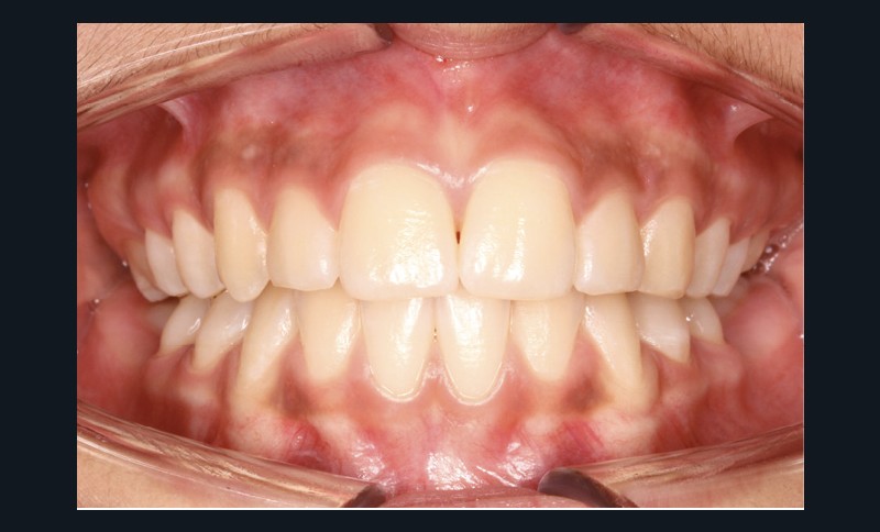
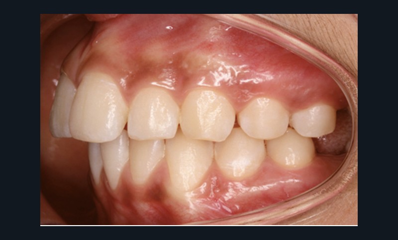
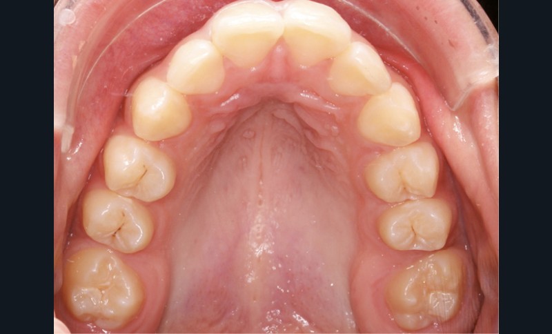
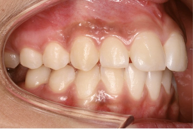
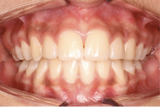
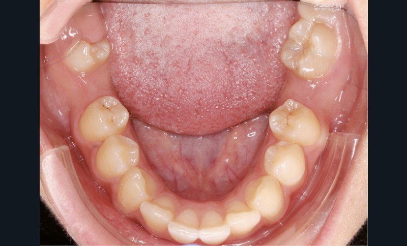
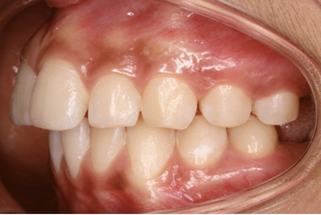
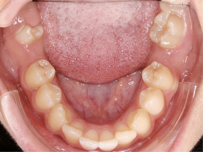
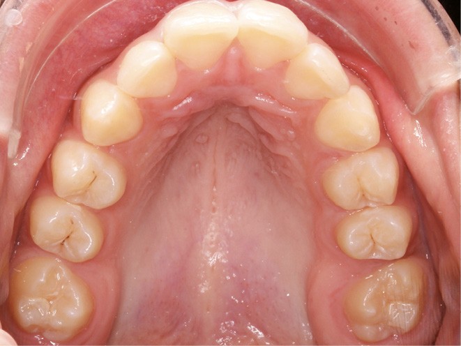
Examen endobuccal (fig. 2a-e)
L’hygiène est satisfaisante et le parodonte sain. On note aux deux arcades l’absence des premières molaires et la fermeture partielle des espaces d’extraction avec mésiorotation marquée de 17, 27 et 37. À la mandibule, l’encombrement antérieur est estimé à 2 mm et les espaces d’extraction résiduels à 12 mm.
Dans le sens transversal, malgré une occlusion correcte des secteurs latéraux, on observe une endoalvéolie maxillaire et une non-concordance des médianes incisives avec déviation de la médiane mandibulaire vers la droite. Le recouvrement incisif est normal.
L’examen fonctionnel met en évidence une posture linguale basse et une déglutition dysfonctionnelle.
La radiographie panoramique (fig. 3a) montre l’inclinaison corono-mésiale de 17,27 et 37 et la présence des germes des quatre dents de sagesse.

La téléradiographie…







