Présentation du cas
Kenny, âgé de 12 ans, sans antécédent orthodontique, consulte pour ses malpositions dentaires.
Examen exobuccal (fig. 1a-c)
De face, il a un visage ovalaire, asymétrique avec une déviation du nez et du menton vers la gauche. Le profil est droit, orthofrontal avec une rétrochéilie supérieure associé à un angle naso-labial légèrement ouvert. Le sourire de Kenny est pauvre avec des corridors noirs. Il révèle une déviation de la médiane incisive maxillaire vers la droite par rapport au plan sagittal médian.
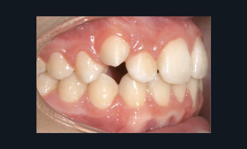
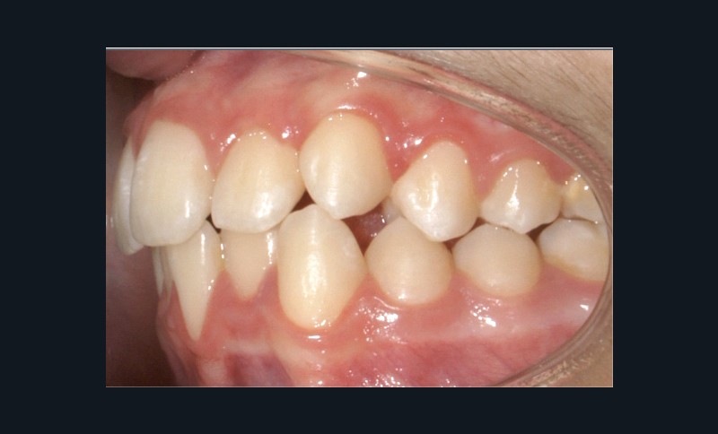
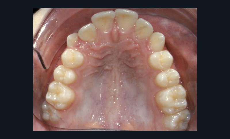
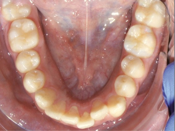
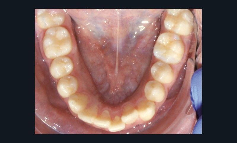
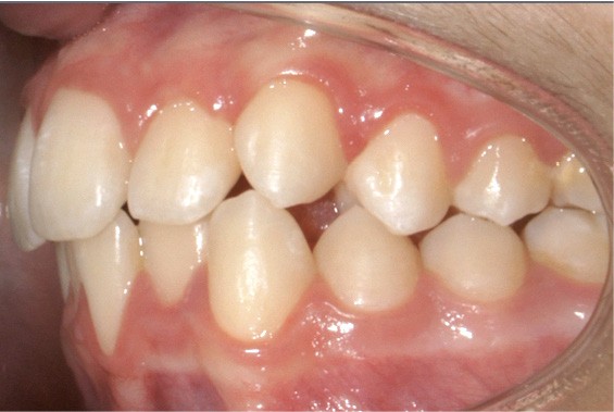
Examen endo-buccal (fig. 2a-e)
L’examen intra-arcade montre une hygiène correcte, un parodonte fin, non inflammatoire avec absence de gencive attachée en regard de 13, 33 et 31. On observe même une récession gingivale en regard de 31.
L’arcade maxillaire est parabolique avec une mésio-rotation de 16 et 26, une vestibulo-position de 17 et une infra-vestibulo-position de 13 et 23. L’encombrement est estimé à 7 mm.
L’arcade mandibulaire est également parabolique avec un encombrement antérieur se traduisant par la vestibulo-position de 31 et la linguo-position de 32. L’encombrement est de 3 mm.
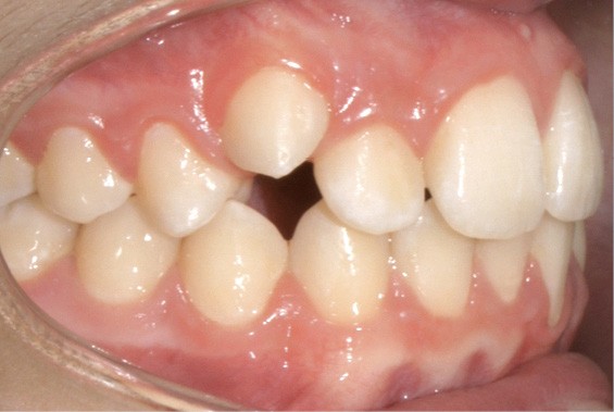
Au niveau des relations occlusales, on observe une Classe I molaire associée à une Classe II canine de 2 mm à droite ainsi qu’une Classe II molaire de 1 mm et une Classe II canine de 3 mm à gauche. Le surplomb est normal.
Dans le sens transversal, l’occlusion des secteurs latéraux est correcte mais on constate une discordance des médianes incisives liée à la déviation de la médiane maxillaire vers la droite et à celle de la médiane incisive mandibulaire vers la gauche.
Le recouvrement est de 2 mm.
Examen fonctionnel
La ventilation est nasale mais on observe une déglutition atypique et une mastication unilatérale non alternée à gauche. Sur le plan des parafonctions…







