De profil, on remarque un hypodéveloppement des régions sous orbitaires et une tendance à la prognathie mandibulaire avec, de face, proéminence et éversion de la lèvre inférieure (fig. 1 et 2).
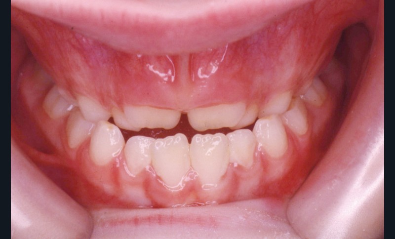
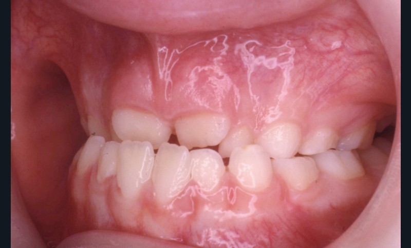
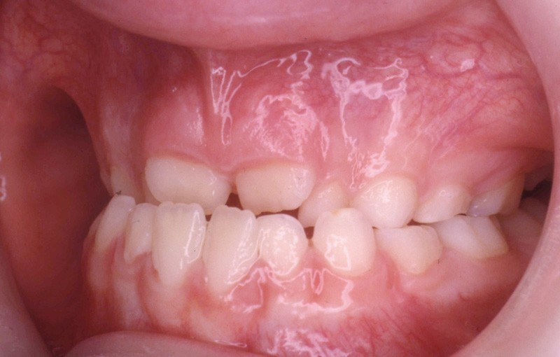
L’examen de la denture (fig. 3 à 5) montre :
• dans le sens antéro-postérieur, des relations molaires et canines de type classe III d’Angle et une inversion des rapports incisifs,
• dans le sens transversal, une endomaxillie bilatérale prédominante dans la région canine.
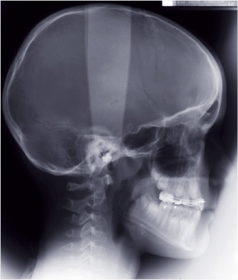
Le bilan radiographique (fig. 6) par l’analyse architecturale de Delaire et l’analyse dento-squelettique confirme l’examen clinique et conduit au diagnostic radiologique suivant :
• pas de prédisposition de la base du crâne à la classe III,
• rétromaxillie,
• brachymaxillie avec petite brachyprémaxillie,
• linguoversion incisive maxillaire,
• légère prognathie mandibulaire par dolichocorpie.
Traitement thérapeutique
Ce bilan indique l’utilisation de tractions postéro-antérieures sur masque de Delaire dès maintenant et fait apparaître un pronostic réservé compte tenu de la dolichocorpie et de la croissance mandibulaire à venir.
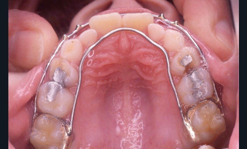
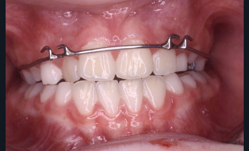
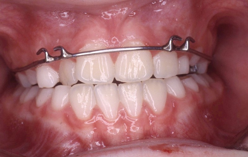
Pendant cette première étape de traitement, les tractions postéro-antérieures sont portées la nuit, soit 8 à 9 h /24 h, sur masque de Delaire pendant 13 mois, avec des tractions d’environ 800 g (fig. 7 à 9).
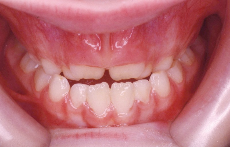
Cette étape de traitement a permis la normalisation des rapports cranio-maxillo-mandibulaires (fig. 10).
Elle est suivie d’une phase de surveillance triannuelle dans l’attente de l’évolution dentaire.
L’évolution vestibulaire des canines maxillaires et les espaces insuffisants pour leur mise en place sur l’arcade indiquent (fig.









