Traitement d’une déhiscence vestibulaire péri‑implantaire : incisions et sutures de l’approche prothétique-chirurgicale

  • Par
  • Publié le . Paru dans Parodontologie Implantologie Orale, un nouveau regard, Réalités Cliniques n°2 - 15 juin 2022 (page 50-57)
Information dentaire
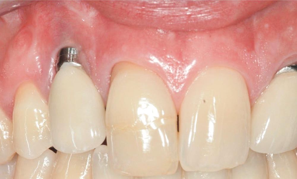
Une déhiscence des tissus mous autour d’un implant favorise l’inflammation et entraîne un déficit esthétique préjudiciable. La correction d’un tel défaut peut être purement chirurgicale ou combinée à une phase prothétique. Un lambeau déplacé avec conjonctif enfoui associé à une couronne provisoire favorise la maturation tissulaire pour finaliser une reconstruction définitive dans les meilleures conditions.

Les tissus péri-implantaires sont ceux qui entourent les implants dentaires ostéo-intégrés.

Ils peuvent être divisés en tissus mous et tissus durs : les premiers sont représentés par la muqueuse péri-implantaire qui se forme durant le processus de cicatrisation après l’insertion des implants, alors que les derniers contribuent à la stabilité de l’implant grâce à un contact étroit avec la surface implantaire [1]. La nécessité d’avoir une certaine quantité de muqueuse kératinisée pour maintenir la santé péri-implantaire est un sujet de discussion dans la littérature : alors que plusieurs études ne démontrent aucun lien entre le manque de muqueuse kératinisée et l’inflammation, d’autres études trouvent que l’inflammation marginale est plus fréquente sur les sites implantaires présentant une muqueuse kératinisée inférieure à 2 mm [1].

Le succès de la thérapeutique implantaire est apprécié par le patient non seulement au niveau de la fonction à long terme, mais également par le résultat esthétique obtenu et maintenu dans le temps, auquel la stabilité des tissus mous contribue grandement. De nombreux termes ont été proposés dans la littérature pour décrire le déplacement apical de la muqueuse marginale péri- implantaire, tels que la déhiscence des tissus mous, la récession gingivale, la récession des tissus mous [2-6]. Il est particulièrement complexe d’élaborer une définition reconnue et universelle, parce que, contrairement aux récessions gingivales sur les dents naturelles, sur les implants il n’existe pas de niveau de référence standard défini par la jonction amélo-cémentaire en dessous duquel on détermine la pathologie.

Une déhiscence des tissus mous peut être définie comme étant un déplacement apical du tissu mou marginal de la couronne implanto-portée par rapport à la dent naturelle homologue, avec ou sans exposition des parties métalliques de l’implant [6]. L’apparition…

Cet article est réservé aux abonnés.
Pour lire la suite :

Vous êtes abonné.e ? Connectez-vous
Mot de passe
oublié ?

Vous pouvez également :

Acheter l'article En version numérique
Acheter le numéro À l'unité

Thèmes abordés

Sur le même sujet

Parodontologie

Article réservé à nos abonnés De la muco-esthétique à la muco qui sauve les dents

Le concept PASS au cœur de l’innovation parodontale La chirurgie plastique parodontale a connu une évolution notable, alliant avancées cliniques et technologiques...
Parodontologie

Article réservé à nos abonnés Séance SFPIO – Quelles sont les bonnes pratiques en parodontologie en 2024 ?

Responsable scientifique : Caroline Fouque Intervenants : Damien FEUILLET, Hélène RANGé, Nicolas BLANC-SYLVESTRE La parodontologie au croisement des disciplines Toutes sévérités confondues, les...