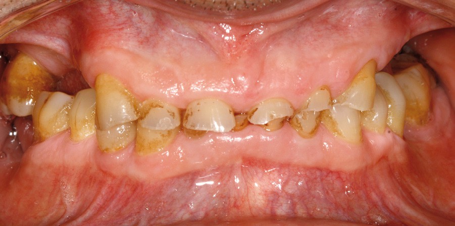
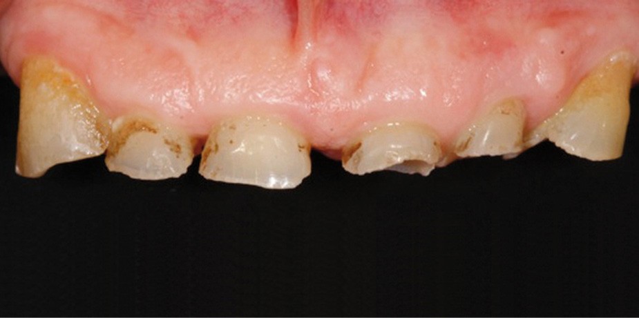
Un patient de 68 ans arrive au cabinet ; il présente de nombreux édentements ainsi qu’une usure parafonctionnelle très avancée.
Il consulte en urgence pour une douleur sur la 23 dont le traitement endodontique s’impose. Il relate également des difficultés croissantes pour s’alimenter.
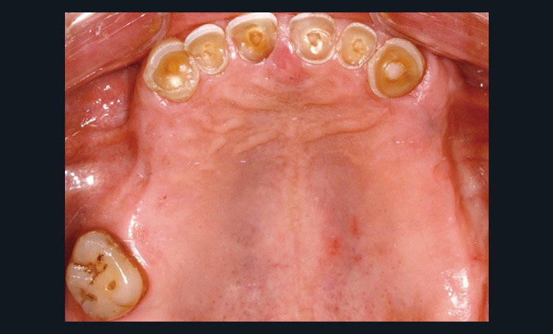
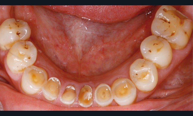
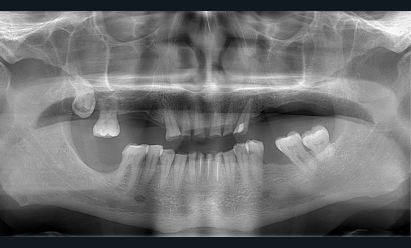
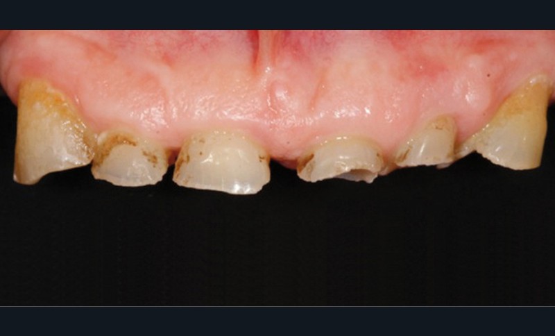
Examen clinique (fig. 1-6)
• L’examen intrabuccal montre de nombreux édentements non compensés (14, 15, 16, 24, 25, 26, 27, 47 et 36) ainsi que des pertes de substance très importantes, notamment dans le secteur antérieur.
Une attrition sévère, couplée à une occlusion sans calage postérieur, a engendré des difficultés pour s’alimenter.
• Le bilan esthétique nous indique plusieurs points disgracieux :
– dysharmonie des contours gingivaux (ligne des collets) avec une ligne du sourire basse [1] ;
– perte de substance extrême du bloc incisivo-canin maxillaire et des incisives mandibulaires ;
– visibilité très limitée des dents lors d’un sourire forcé ;
– égressions compensatoires.
Proposition de projet de traitement(fig. 7-13)
Un plan de traitement global est proposé au patient, comportant :
– une analyse esthétique selon le Projet…









