Présentation du cas
Un homme de 27 ans et 7 mois vient consulter pour un motif esthétique : son sourire est disgracieux. Il n’a jamais eu de traitement orthodontique. Sa motivation est de retrouver un sourire et un alignement dentaire.
Étude du visage et de l’intégration du sourire
L’examen de la face montre un visage avec un équilibre des étages moyen et inférieur, une petite lèvre supérieure (fig. 1) et un sourire étroit et inesthétique du fait de l’articulé inversé antérieur (fig. 2).
L’analyse du profil montre un profil transfrontal, une déficience maxillaire, un angle nasolabial augmenté et une légère promandibulie (fig. 3).
L’examen fonctionnel révèle une propulsion de la mandibule en fin d’occlusion.
Le take home message (« ce qu’il faut retenir ») est le suivant :
– amélioration des critères esthétiques de la face ;
– rétablissement de la ligne du sourire ;
– expansion maxillaire (buccal corridor) ;
– correction de l’articulé inversé antérieur et de la déviation des milieux ;
– maintien de la position de l’incisive maxillaire : soutien de la lèvre supérieure ;
– proposition d’une chirurgie (refus du patient).
L’examen endobuccal
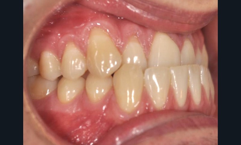
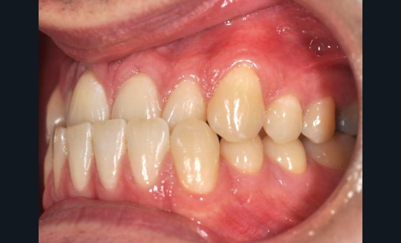
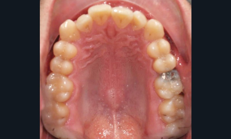
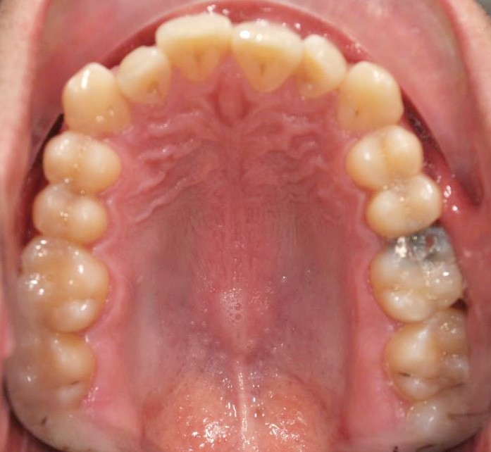
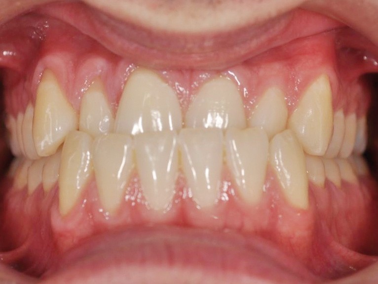
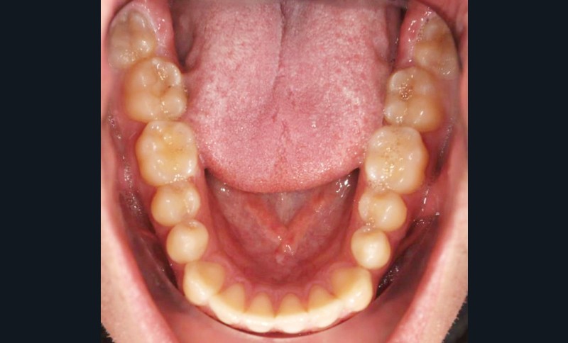
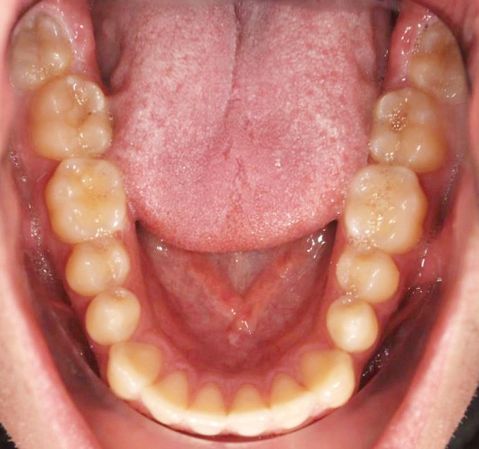
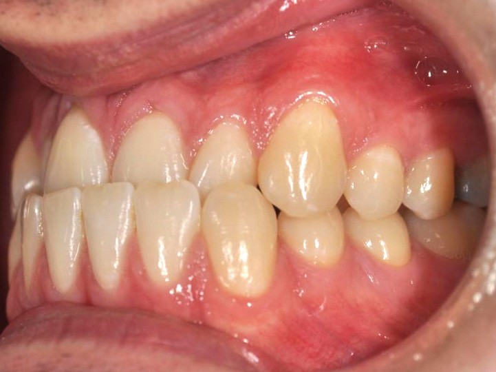
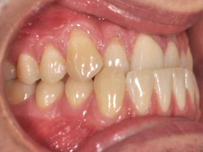
En intra-arcades (fig. 4-6), on note une classe III molaire et canine (fig. 4-5), trois plans d’occlusion, une déviation des milieux d’origine mandibulaire et un inversé articulé du bloc incisif maxillaire ; le biotype parodontal est fin, et l’on note des récessions gingivales (12, 13, 23, 33, 43) certainement dues à la mauvaise position et aux forces mal réparties lors de la mastication (fig. 5). L’arcade maxillaire est carrée avec une DDM antérieure (fig. 7), l’arcade mandibulaire étroite et allongée (fig. 8).
Objectifs endobuccaux
Ils sont multiples :
– correction de…







