La patiente
- 65 ans
- ASA type I
- Pas de problèmes systémiques
- Pas de prise de médicaments
- Pas de consommation de tabac
- Parodontite généralisée stade III grade A – diagnostiquée en 2015, stable depuis 2016
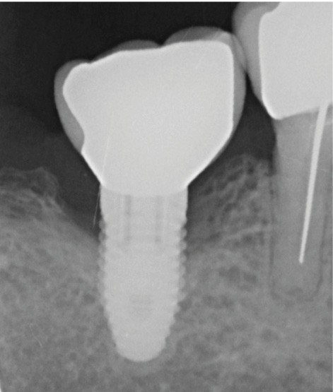
L’implant
- Péri-implantite sur l’implant 47, diagnostiquée en août 2022
- Poches de 6 à 7 mm
- Implant posé en 2017
- Nobel Replace Select RP (4,1 x 10 mm)
Actes préopératoires
La couronne a été déposée et une vis de couverture mise en place. La patiente a reçu un nettoyage supra-gingival général avec une attention particulière pour l’implant 47, et une irrigation locale avec du gel de chlorhexidine et du peroxyde d’hydrogène pour réduire l’inflammation des tissus. De l’amoxicilline (3 x 500 mg) a été prescrite, à commencer la veille de l’intervention chirurgicale.
Soins péri-implantaires et parodontaux de soutien
La patiente est restée 4 semaines sans couronne. Après l’intervention chirurgicale, elle a entamé un programme de soins péri-implantaires et parodontaux, avec des visites de rappel tous les 4 mois.
Conclusions
Dans les cas de traitement de péri-implantite, un suivi d’un an est considéré comme un suivi court. Néanmoins, le cas présent est stable après un an et ne présente aucun signe de récidive. Des contrôles supplémentaires sont nécessaires.
En ce qui concerne le traitement de la péri-implantite, l’identification et le contrôle des facteurs de risque locaux et systémiques, ainsi que la qualité des tissus mous environnants, sont des facteurs à prendre en compte. En ce qui concerne la partie prothétique, une évaluation minutieuse de la prothèse doit être faite pour envisager si nécessaire une nouvelle conception. L’approche électrolytique exige que la prothèse sur l’implant…

















