![]()
La nécrose pulpaire d’une dent permanente immature qu’elle soit d’origine carieuse ou traumatique revêt des aspects thérapeutiques plus complexes que la réalisation d’un traitement endodontique initial sur dent mature. Environ 25 % des enfants sont victimes de traumas dentaires (fig. 1) (1) aboutissant principalement à une rupture du paquet vasculo-nerveux de la dent traumatisée au niveau foraminal ou de la fracture dentaire.

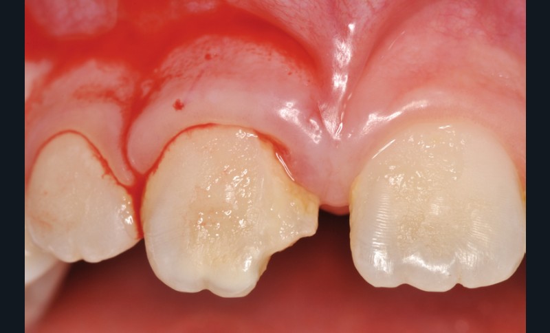
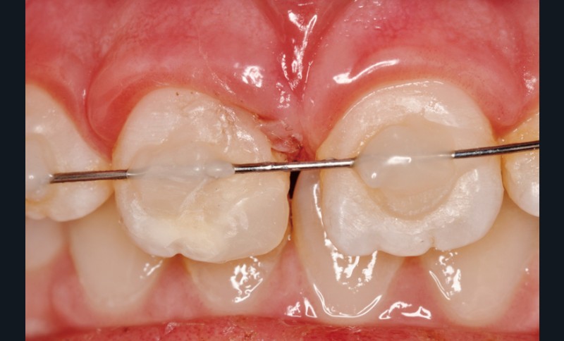
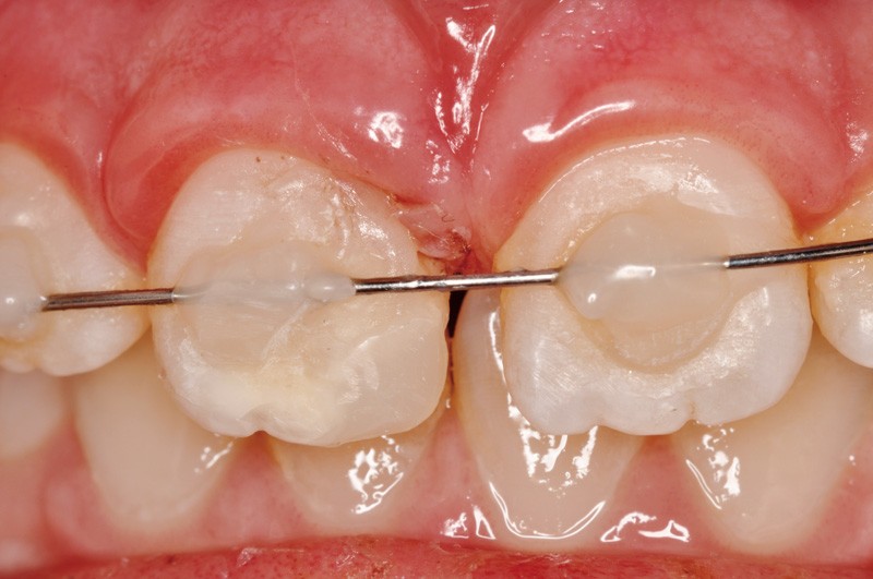
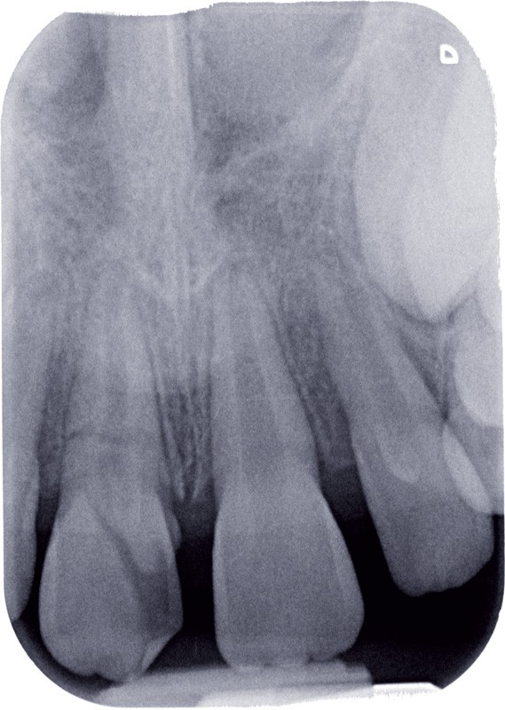
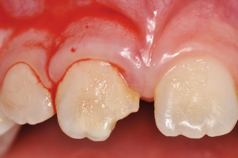
a à d Jeune patiente âgée de 8 ans, adressée suite à un traumatisme survenu 3 semaines auparavant, pour l’extraction de sa 21. La vue clinique montre un saignement ligamentaire, une mobilité coronaire et une fracture coronaire amélodentinaire longitudinale partant de l’angle mésial et se poursuivant en direction radiculaire sous-gingivale (a). Un test de vitalité positif indique que la dent est vitale, la radiographie permet de poser le diagnostic de fracture coronoradiculaire, et d’objectiver l’immaturité radiculaire (stade 8 de Nolla) (b). Une contention est mise en place et la plaie dentinaire coronaire est scellée au mieux par collage afin de limiter le risque d’une complication infectieuse (c). A 15 jours la dent est vivante et aucune complication n’est apparue (d). La patiente est revue après 3 mois pour déposer la contention, le test de vitalité est positif, et la radiographie de contrôle montre une apexogenèse en cours (e). Cependant la gencive s’est invaginée dans le trait de fracture (f). La zone est débridée sous microscope (g) puis scellée et reconstituée à l’aide d’un adhésif SAM et d’un composite fluide (h). Le contrôle radiographique à 6 mois est satisfaisant (i). Ce cas clinique illustre le fort potentiel des pulpes jeunes et du ligament alvéolodentaire à résister aux agressions et à assurer les fonctions dentinogénétiques et l’édification radiculaire.

a à d Jeune patiente âgée de 8 ans, adressée suite à un traumatisme survenu 3 semaines auparavant, pour l’extraction de sa 21. La vue clinique montre un saignement ligamentaire, une mobilité coronaire et une fracture coronaire amélodentinaire longitudinale partant de l’angle mésial et se poursuivant en direction radiculaire sous-gingivale (a). Un test de vitalité positif indique que la dent est vitale, la radiographie permet de poser le diagnostic de fracture coronoradiculaire, et d’objectiver l’immaturité radiculaire (stade 8 de Nolla) (b). Une contention est mise en place et la plaie dentinaire coronaire est scellée au mieux par collage afin de limiter le risque d’une complication infectieuse (c). A 15 jours la dent est vivante et aucune complication n’est apparue (d). La patiente est revue après 3 mois pour déposer la contention, le test de vitalité est positif, et la radiographie de contrôle montre une apexogenèse en cours (e). Cependant la gencive s’est invaginée dans le trait de fracture (f). La zone est débridée sous microscope (g) puis scellée et reconstituée à l’aide d’un adhésif SAM et d’un composite fluide (h). Le contrôle radiographique à 6 mois est satisfaisant (i). Ce cas clinique illustre le fort potentiel des pulpes jeunes et du ligament alvéolodentaire à résister aux agressions et à assurer les fonctions dentinogénétiques et l’édification radiculaire.

a à d Jeune patiente âgée de 8 ans, adressée suite à un traumatisme survenu 3 semaines auparavant, pour l’extraction de sa 21. La vue clinique montre un saignement ligamentaire, une mobilité coronaire et une fracture coronaire amélodentinaire longitudinale partant de l’angle mésial et se poursuivant en direction radiculaire sous-gingivale (a). Un test de vitalité positif indique que la dent est vitale, la radiographie permet de poser le diagnostic de fracture coronoradiculaire, et d’objectiver l’immaturité radiculaire (stade 8 de Nolla) (b). Une contention est mise en place et la plaie dentinaire coronaire est scellée au mieux par collage afin de limiter le risque d’une complication infectieuse (c). A 15 jours la dent est vivante et aucune complication n’est apparue (d). La patiente est revue après 3 mois pour déposer la contention, le test de vitalité est positif, et la radiographie de contrôle montre une apexogenèse en cours (e). Cependant la gencive s’est invaginée dans le trait de fracture (f). La zone est débridée sous microscope (g) puis scellée et reconstituée à l’aide d’un adhésif SAM et d’un composite fluide (h). Le contrôle radiographique à 6 mois est satisfaisant (i). Ce cas clinique illustre le fort potentiel des pulpes jeunes et du ligament alvéolodentaire à résister aux agressions et à assurer les fonctions dentinogénétiques et l’édification radiculaire.

a à d Jeune patiente âgée de 8 ans, adressée suite à un traumatisme survenu 3 semaines auparavant, pour l’extraction de sa 21. La vue clinique montre un saignement ligamentaire, une mobilité coronaire et une fracture coronaire amélodentinaire longitudinale partant de l’angle mésial et se poursuivant en direction radiculaire sous-gingivale (a). Un test de vitalité positif indique que la dent est vitale, la radiographie permet de poser le diagnostic de fracture coronoradiculaire, et d’objectiver l’immaturité radiculaire (stade 8 de Nolla) (b). Une contention est mise en place et la plaie dentinaire coronaire est scellée au mieux par collage afin de limiter le risque d’une complication infectieuse (c). A 15 jours la dent est vivante et aucune complication n’est apparue (d). La patiente est revue après 3 mois pour déposer la contention, le test de vitalité est positif, et la radiographie de contrôle montre une apexogenèse en cours (e). Cependant la gencive s’est invaginée dans le trait de fracture (f). La zone est débridée sous microscope (g) puis scellée et reconstituée à l’aide d’un adhésif SAM et d’un composite fluide (h). Le contrôle radiographique à 6 mois est satisfaisant (i). Ce cas clinique illustre le fort potentiel des pulpes jeunes et du ligament alvéolodentaire à résister aux agressions et à assurer les fonctions dentinogénétiques et l’édification radiculaire.

a à d Jeune patiente âgée de 8 ans, adressée suite à un traumatisme survenu 3 semaines auparavant, pour l’extraction de sa 21. La vue clinique montre un saignement ligamentaire, une mobilité coronaire et une fracture coronaire amélodentinaire longitudinale partant de l’angle mésial et se poursuivant en direction radiculaire sous-gingivale (a). Un test de vitalité positif indique que la dent est vitale, la radiographie permet de poser le diagnostic de fracture coronoradiculaire, et d’objectiver l’immaturité radiculaire (stade 8 de Nolla) (b). Une contention est mise en place et la plaie dentinaire coronaire est scellée au mieux par collage afin de limiter le risque d’une complication infectieuse (c). A 15 jours la dent est vivante et aucune complication n’est apparue (d). La patiente est revue après 3 mois pour déposer la contention, le test de vitalité est positif, et la radiographie de contrôle montre une apexogenèse en cours (e). Cependant la gencive s’est invaginée dans le trait de fracture (f). La zone est débridée sous microscope (g) puis scellée et reconstituée à l’aide d’un adhésif SAM et d’un composite fluide (h). Le contrôle radiographique à 6 mois est satisfaisant (i). Ce cas clinique illustre le fort potentiel des pulpes jeunes et du ligament alvéolodentaire à résister aux agressions et à assurer les fonctions dentinogénétiques et l’édification radiculaire.

a à d Jeune patiente âgée de 8 ans, adressée suite à un traumatisme survenu 3 semaines auparavant, pour l’extraction de sa 21. La vue clinique montre un saignement ligamentaire, une mobilité coronaire et une fracture coronaire amélodentinaire longitudinale partant de l’angle mésial et se poursuivant en direction radiculaire sous-gingivale (a). Un test de vitalité positif indique que la dent est vitale, la radiographie permet de poser le diagnostic de fracture coronoradiculaire, et d’objectiver l’immaturité radiculaire (stade 8 de Nolla) (b). Une contention est mise en place et la plaie dentinaire coronaire est scellée au mieux par collage afin de limiter le risque d’une complication infectieuse (c). A 15 jours la dent est vivante et aucune complication n’est apparue (d). La patiente est revue après 3 mois pour déposer la contention, le test de vitalité est positif, et la radiographie de contrôle montre une apexogenèse en cours (e). Cependant la gencive s’est invaginée dans le trait de fracture (f). La zone est débridée sous microscope (g) puis scellée et reconstituée à l’aide d’un adhésif SAM et d’un composite fluide (h). Le contrôle radiographique à 6 mois est satisfaisant (i). Ce cas clinique illustre le fort potentiel des pulpes jeunes et du ligament alvéolodentaire à résister aux agressions et à assurer les fonctions dentinogénétiques et l’édification radiculaire.

a à d Jeune patiente âgée de 8 ans, adressée suite à un traumatisme survenu 3 semaines auparavant, pour l’extraction de sa 21. La vue clinique montre un saignement ligamentaire, une mobilité coronaire et une fracture coronaire amélodentinaire longitudinale partant de l’angle mésial et se poursuivant en direction radiculaire sous-gingivale (a). Un test de vitalité positif indique que la dent est vitale, la radiographie permet de poser le diagnostic de fracture coronoradiculaire, et d’objectiver l’immaturité radiculaire (stade 8 de Nolla) (b). Une contention est mise en place et la plaie dentinaire coronaire est scellée au mieux par collage afin de limiter le risque d’une complication infectieuse (c). A 15 jours la dent est vivante et aucune complication n’est apparue (d). La patiente est revue après 3 mois pour déposer la contention, le test de vitalité est positif, et la radiographie de contrôle montre une apexogenèse en cours (e). Cependant la gencive s’est invaginée dans le trait de fracture (f). La zone est débridée sous microscope (g) puis scellée et reconstituée à l’aide d’un adhésif SAM et d’un composite fluide (h). Le contrôle radiographique à 6 mois est satisfaisant (i). Ce cas clinique illustre le fort potentiel des pulpes jeunes et du ligament alvéolodentaire à résister aux agressions et à assurer les fonctions dentinogénétiques et l’édification radiculaire.

a à d Jeune patiente âgée de 8 ans, adressée suite à un traumatisme survenu 3 semaines auparavant, pour l’extraction de sa 21. La vue clinique montre un saignement ligamentaire, une mobilité coronaire et une fracture coronaire amélodentinaire longitudinale partant de l’angle mésial et se poursuivant en direction radiculaire sous-gingivale (a). Un test de vitalité positif indique que la dent est vitale, la radiographie permet de poser le diagnostic de fracture coronoradiculaire, et d’objectiver l’immaturité radiculaire (stade 8 de Nolla) (b). Une contention est mise en place et la plaie dentinaire coronaire est scellée au mieux par collage afin de limiter le risque d’une complication infectieuse (c). A 15 jours la dent est vivante et aucune complication n’est apparue (d). La patiente est revue après 3 mois pour déposer la contention, le test de vitalité est positif, et la radiographie de contrôle montre une apexogenèse en cours (e). Cependant la gencive s’est invaginée dans le trait de fracture (f). La zone est débridée sous microscope (g) puis scellée et reconstituée à l’aide d’un adhésif SAM et d’un composite fluide (h). Le contrôle radiographique à 6 mois est satisfaisant (i). Ce cas clinique illustre le fort potentiel des pulpes jeunes et du ligament alvéolodentaire à résister aux agressions et à assurer les fonctions dentinogénétiques et l’édification radiculaire.

a à d Jeune patiente âgée de 8 ans, adressée suite à un traumatisme survenu 3 semaines auparavant, pour l’extraction de sa 21. La vue clinique montre un saignement ligamentaire, une mobilité coronaire et une fracture coronaire amélodentinaire longitudinale partant de l’angle mésial et se poursuivant en direction radiculaire sous-gingivale (a). Un test de vitalité positif indique que la dent est vitale, la radiographie permet de poser le diagnostic de fracture coronoradiculaire, et d’objectiver l’immaturité radiculaire (stade 8 de Nolla) (b). Une contention est mise en place et la plaie dentinaire coronaire est scellée au mieux par collage afin de limiter le risque d’une complication infectieuse (c). A 15 jours la dent est vivante et aucune complication n’est apparue (d). La patiente est revue après 3 mois pour déposer la contention, le test de vitalité est positif, et la radiographie de contrôle montre une apexogenèse en cours (e). Cependant la gencive s’est invaginée dans le trait de fracture (f). La zone est débridée sous microscope (g) puis scellée et reconstituée à l’aide d’un adhésif SAM et d’un composite fluide (h). Le contrôle radiographique à 6 mois est satisfaisant (i). Ce cas clinique illustre le fort potentiel des pulpes jeunes et du ligament alvéolodentaire à résister aux agressions et à assurer les fonctions dentinogénétiques et l’édification radiculaire.
L’apport sanguin étant supprimé, il s’ensuit une asphyxie et une nécrose tissulaire conduisant à la nécrose pulpaire. Le praticien est confronté à deux problèmes anatomiques majeurs pour le maintien à long terme de la dent sur l’arcade : réaliser un traitement endodontique sur une dent à apex largement ouvert et aux parois canalaires généralement fines et dont l’édification est incomplète. Ces deux éléments vont respectivement rendre difficile l’obtention d’une étanchéité apicale et induire à une fragilisation mécanique de la dent pouvant conduire à des fractures radiculaires (2).
Pour diminuer l’incidence de ces facteurs sur le pronostic thérapeutique, les praticiens ont pendant de nombreuses années à travers des techniques d’apexification, chercher à « fermer la zone apicale » en induisant la formation d’une barrière apicale minéralisée, avant de placer les matériaux classiques de l’obturation endodontique : ciment canalaire + gutta-percha. La solution la plus communément envisagée jusqu’à présent était la technique d’apexification faisant appel à l’hydroxyde de calcium (Ca(OH)2), pour ses propriétés antibactériennes assurant une antisepsie efficace du canal nécrosé, et sa capacité à stimuler la calcification au contact des tissus (3).
Dans les années 1990, l’apparition d’un nouveau matériau bioactif à base de silicate tricalcique : le…