Le succès des thérapeutiques des classes II repose le plus souvent sur la réponse de croissance mandibulaire à notre traitement. De nombreux appareils cherchent, en propulsant la mandibule, à favoriser sa croissance : activateurs, propulseurs à bielles, propulseurs à butée… soit dans une première phase thérapeutique orthopédique, soit en association avec les déplacements orthodontiques.
Dérivés du principe du Twin Block ou du MARA, les aligneurs à fonction d’avancement mandibulaire (MA) s’inscrivent dans cet objectif thérapeutique. Les aligneurs portent sur leur face vestibulaire entre les deuxièmes prémolaires et les premières molaires des ailettes de précision renforcées qui, en occlusion, permettent de positionner la mandibule en propulsion. La propulsion est progressive : 2 mm toutes les huit semaines.
La phase de MA comprend un minimum de 26 à 32 gouttières changées de façon hebdomadaire, soit une durée de six mois minimum, qui peut être reconduite.
Description du cas clinique
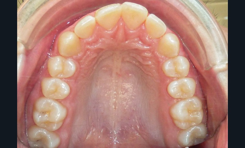
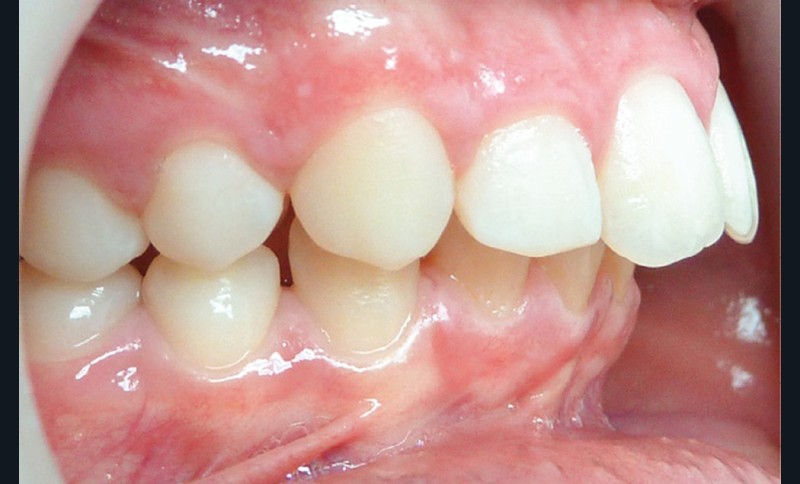
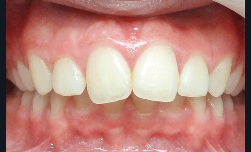
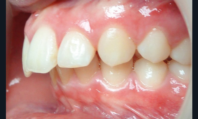
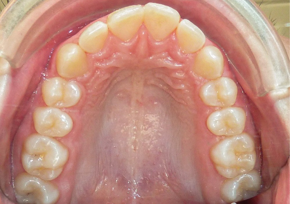
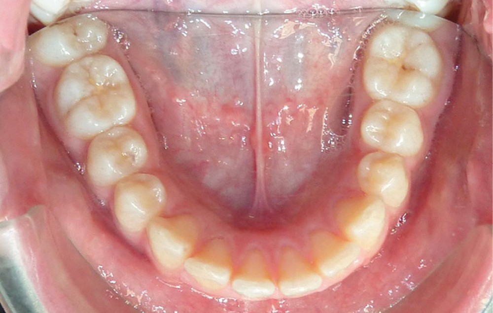
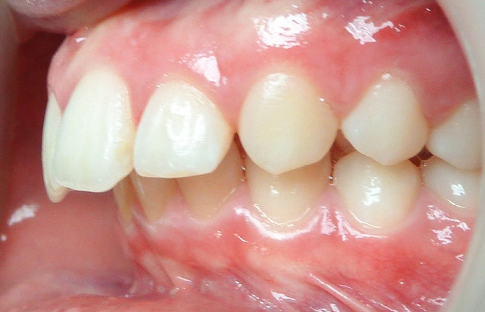
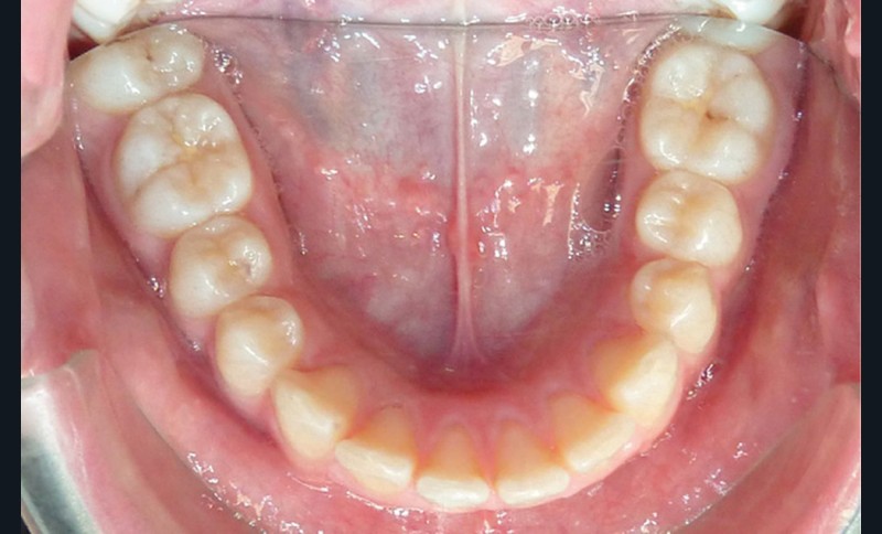
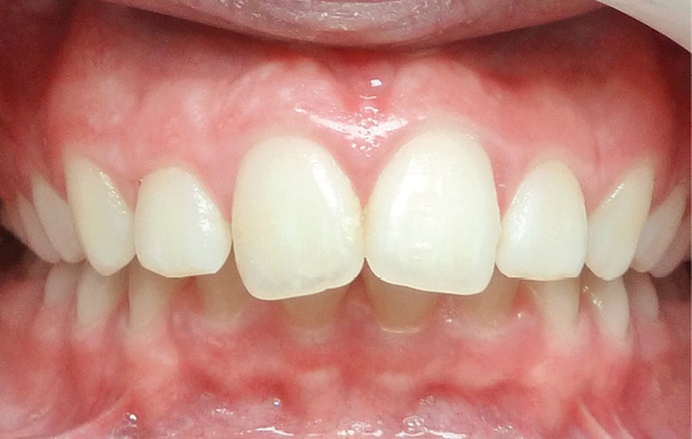
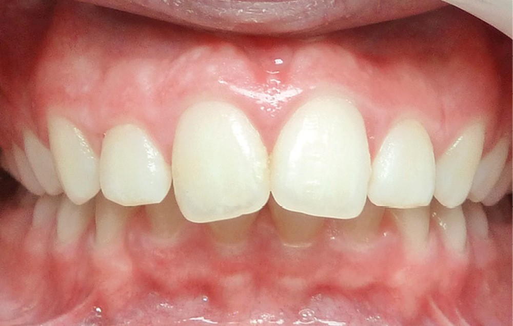
Lors de la première consultation, Arles âgée de 11 et demi, présente un visage harmonieux avec une légère diminution de l’étage inférieur et un profil convexe (fig. 1a-d). L’examen endobuccal (fig. 2a-f) révèle la présence d’une classe II division 1, avec une supraclusion incisive en relation avec une courbe de Spee mandibulaire marquée. Sur le plan purement dentaire, il n’y a pas d’encombrement, on note même de légers diastèmes interincisifs mandibulaires.
La téléradiographie de profil confirme la classe II squelettique par rétrognathie mandibulaire sur un schéma vertical d’hypodivergence mandibulaire et montre une biproalvéolie incisive sévère (fig. 3). La formule dentaire est complète et on constate la présence des quatre germes de dents de sagesse (fig. 4). À cette époque, Arles, peu motivée, n’a pas souhaité commencer…






