Présentation du cas
Maxime, âgé de 13 ans et 3 mois, se présente à la consultation, adressé par son chirurgien-dentiste.
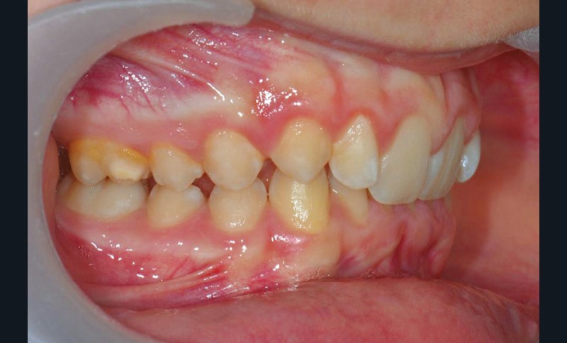
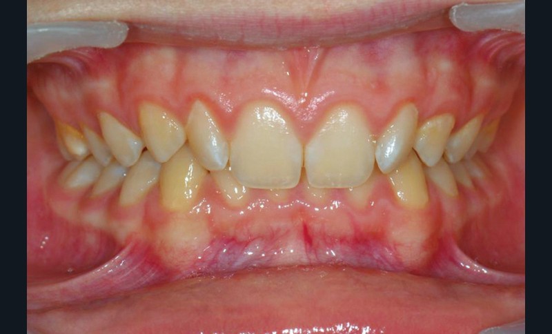
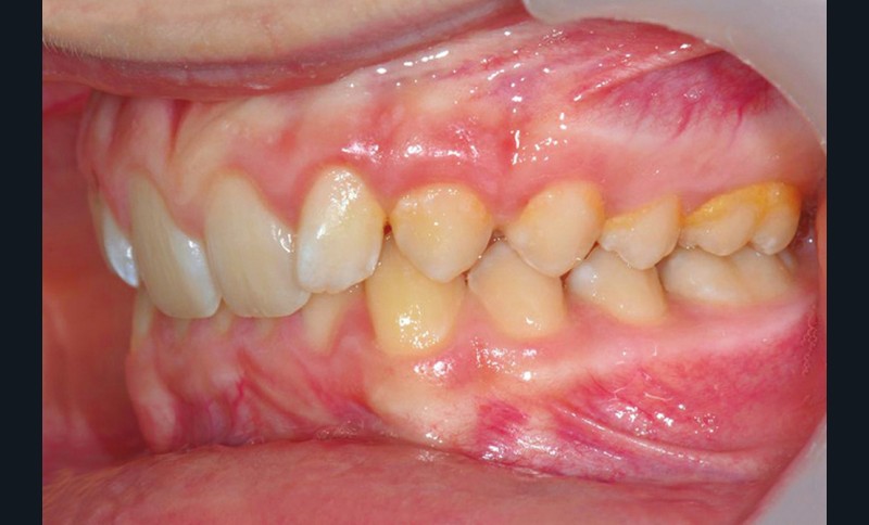
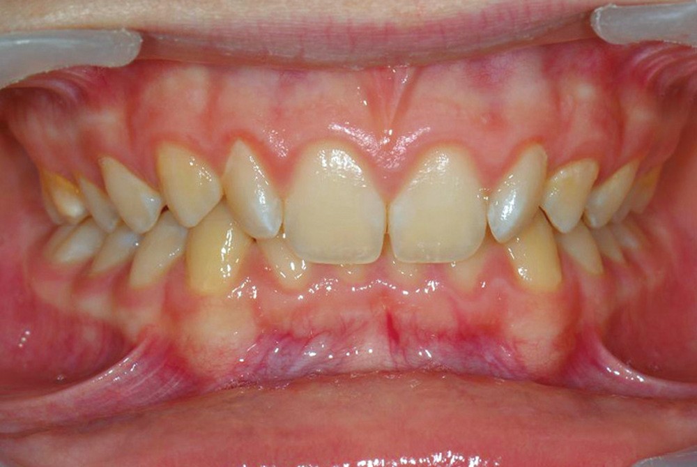
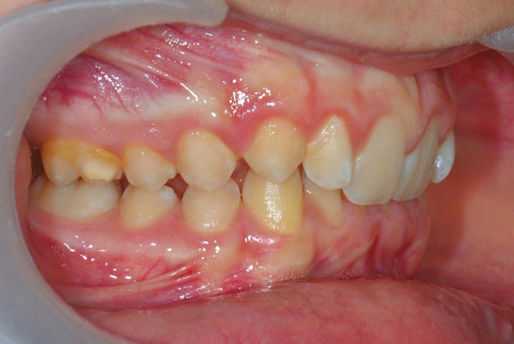
Son profil convexe s’inscrit dans un contexte de classe II squelettique par rétrognathie mandibulaire normodivergente sur un schéma de Classe II/2 avec supraclusion et encombrement modéré (fig. 1 à 7).
La formule dentaire est complète, avec un léger retard d’évolution des deuxièmes molaires (fig. 8).
Le parodonte est de type 1 selon la classification de Maynard et Wilson.
La classe II squelettique est objectivée par l’angle ANB = 7,6° confirmée par l’AoBo = 7,6 mm l’étiologie étant d’origine mandibulaire SNB = 69,9° (fig. 9 et 10).
|
Moyenne |
Début |
|
|
Forme de la base du crâne |
||
|
SN / Ba |
129°2 ± 5°3 |
132°9 |
|
SN / Frft |
4°0 ± 3°6 |
11°1 |
|
Rapports squelettiques sagittaux |
||
|
SN / A |
81°2 ± 3°4 |
77°5 |
|
SN / Pog |
78°2 ± 2°8 |
70°8 |
|
AN / Pog |
3°0 |
6°7 |
|
SN / A |
81°2 ± 3°4 |
77°5 |
|
SN / B |
77°5 ± 4°0 |
69°9 |
|
ANB |
3°7 ± 2°0 |
7°6 |
|
Ao-Bo (mm) |
2.0 |
7.6 |
|
Rapports quelettiques verticaux |
||
|
SN / MP |
33°2 ± 5°0 |
34°4 |
|
SN / Ans-Pns |
7°1 ± 3°2 |
9°9 |
|
Ans-Pns / MP |
26°0 ± 5°3 |
24°5 |
|
Pog-NB (mm) |
1,5 |
1.7 |
|
Compensations sagittales |
||
|
I / Ans-Pns |
110°4 ± 5,7 |
87°2 |
|
I-NA (mm) |
4,4 ± 2,5 |
-4.7 |
|
i / MP |
96°1 ± 7,1 |
97°1 |
|
i-NB (mm) |
5,3 ± 2,8 |
3.5 |
|
Overjet (mm) |
3,5 ± 2,5 |
3 |
|
Compensations verticales |
||
|
I / i |
127°6 ± 10,9 |
151°2 |
|
Overbite (mm) |
2 ± 2,5 |
7 |
|
P.d’occlusion / Frft |
11°6 ± 4,3 |
10°2 |









