Le patient
- 54 ans
- Parodontite traitée en 2015 stabilisée, puis plusieurs épisodes d’activation sur les dernières années
- Prise en charge de son occlusion par une occlusodontiste et une orthodontiste (durée 3 ans)
- Hygiène orale perfectible
- Sportif et aucune consommation de tabac
- Suivi parodontal et péri-implantaire tous les
4 à 6 mois suivant les années
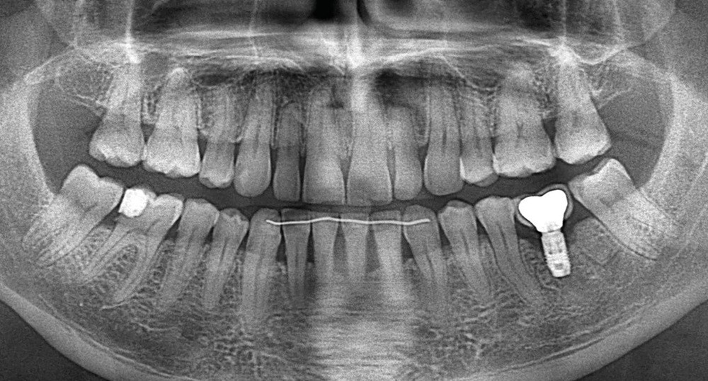
L’implant
- Avulsion de la 36 et régénération osseuse guidée (ROG) réalisée en 2017 suite à une fracture de la dent et une infection
- Un implant posé en 2018 après la fin du traitement orthodontique
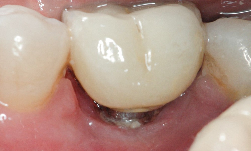
- Couronne d’usage scellée, réalisée par son dentiste
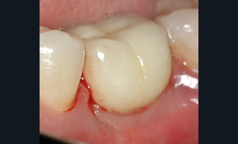
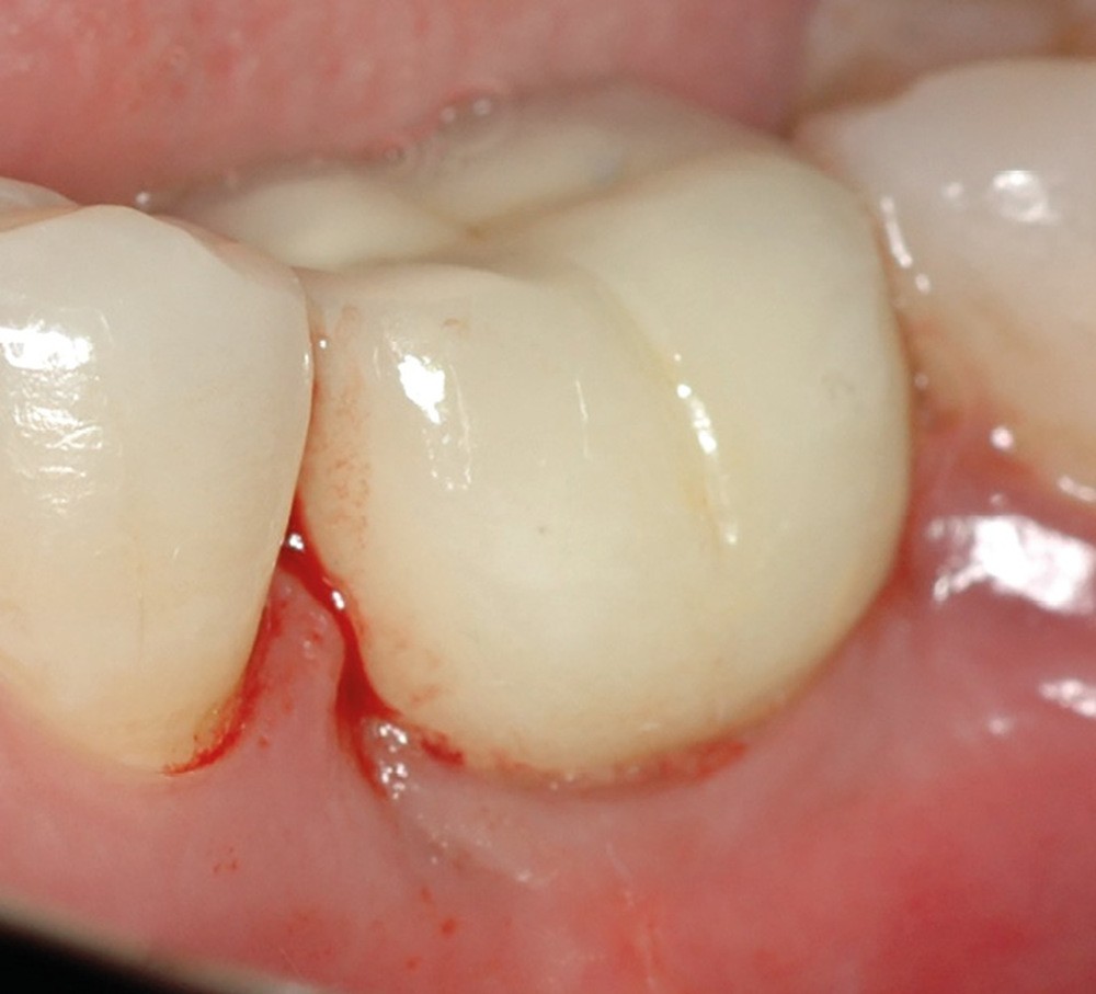
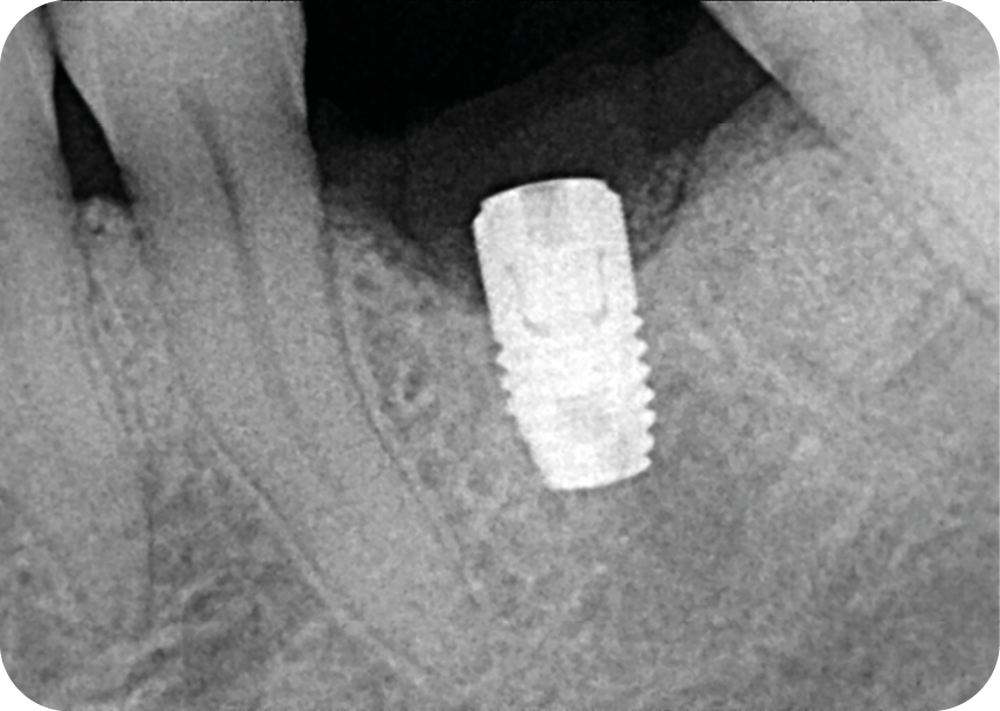
- Péri-implantite diagnostiquée en 2021
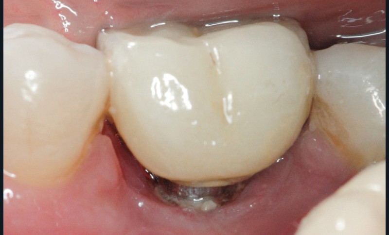
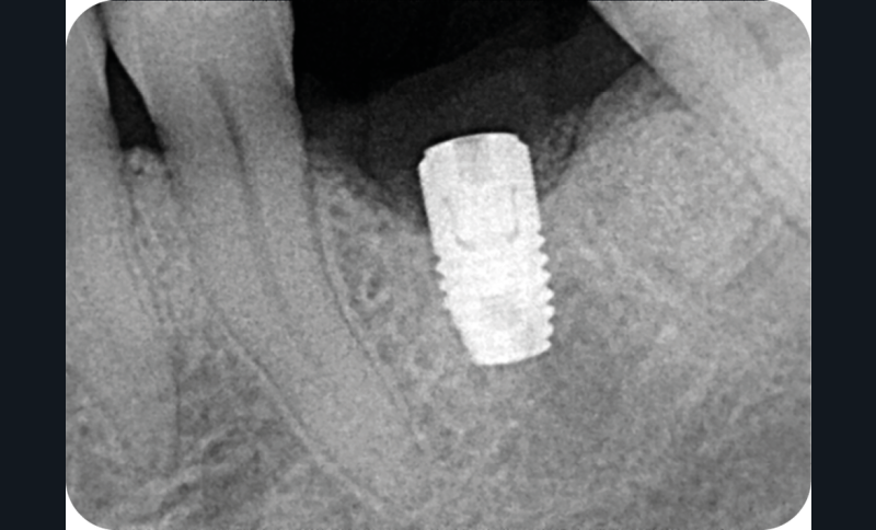
Conclusion
Chez ce patient, le traitement de la péri-implantite a comporté une chirurgie associant décontamination électrolytique de la surface implantaire, régénération osseuse guidée et enfouissement de l’implant. Le résultat à 2 ans est très moyen au vu du pourcentage de régénération osseuse obtenu. Comment peut-on prévoir un tel résultat alors que l’on a suivi les recommandations à la lettre, que l’on a utilisé les dernières technologies de décontamination, que l’on y a mis tous les moyens, que le patient est en bonne santé générale et qu’il vient en plus régulièrement aux séances de thérapeutique de soutien ? Le succès du traitement des péri-implantites n’est pas simple à obtenir, surtout quand un élément clé est compromis… la maintenance personnelle ! En effet le succès n’est possible que si le contrôle de plaque quotidien est optimal et, ici, ça n’était pas le cas. Le patient se brossait certes les dents, mais ne passait pas quotidiennement les brossettes, ce qui…

















