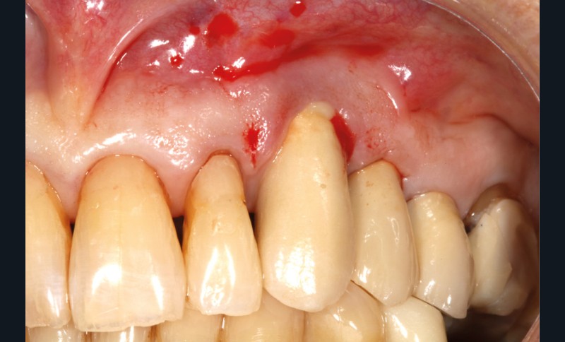
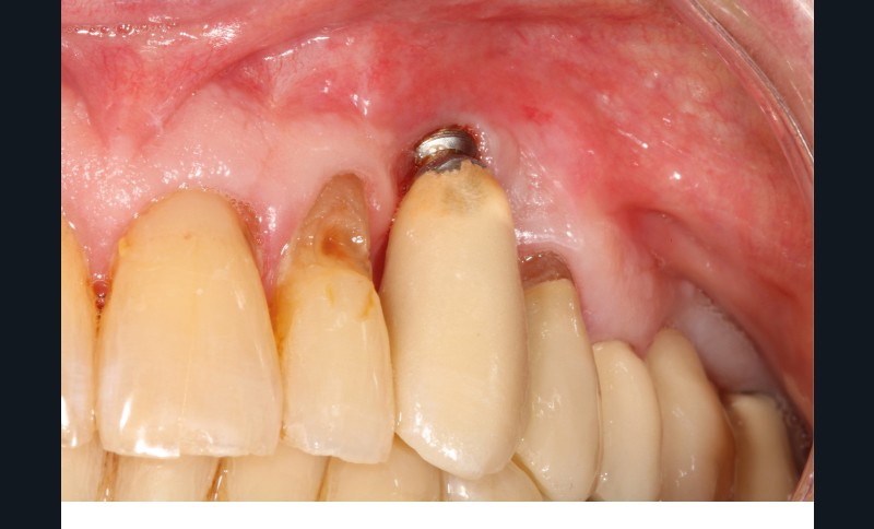
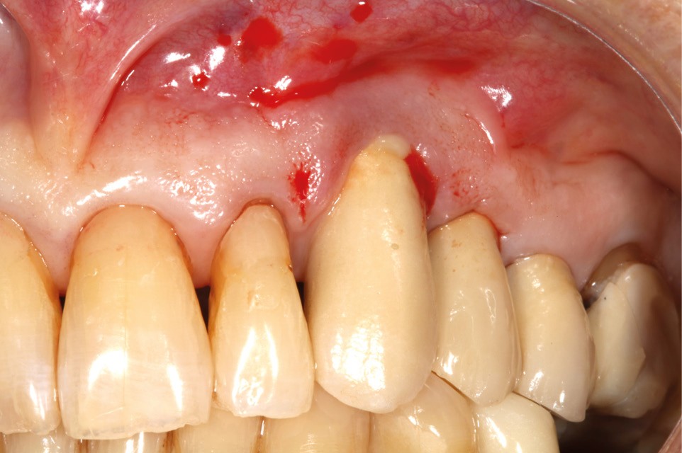
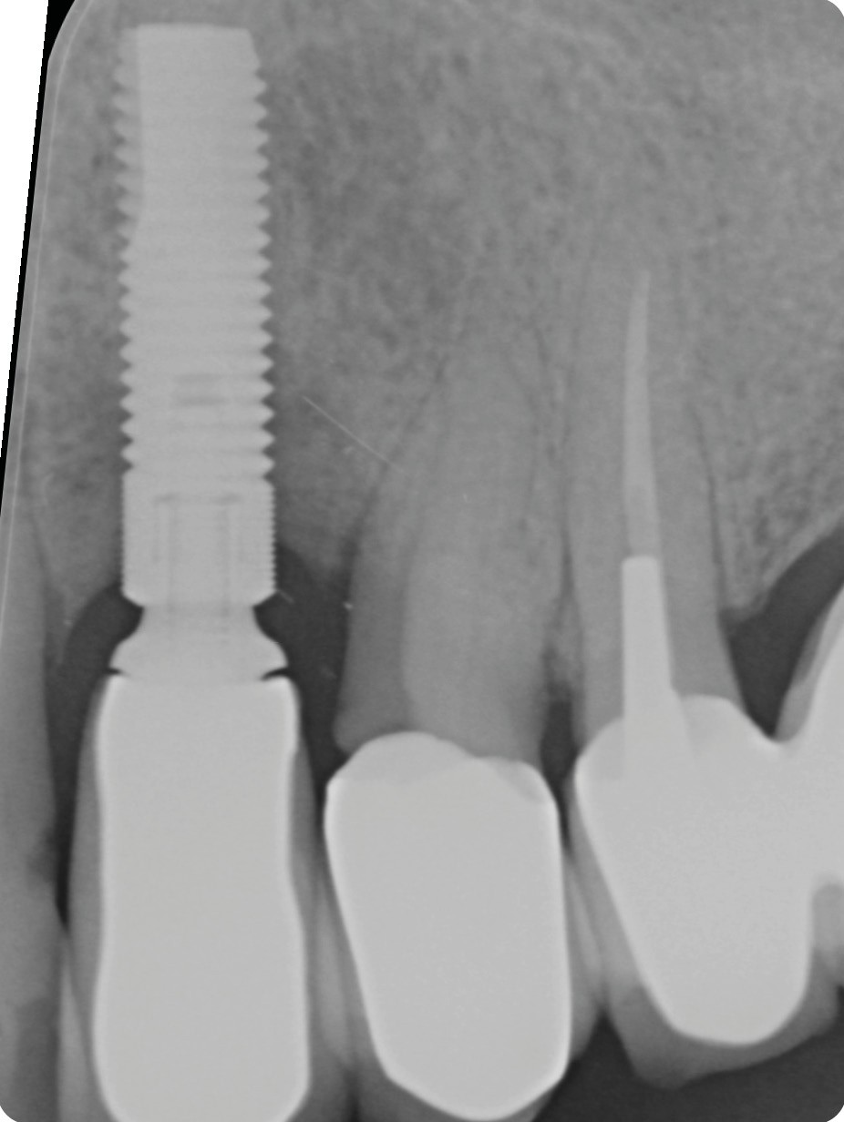
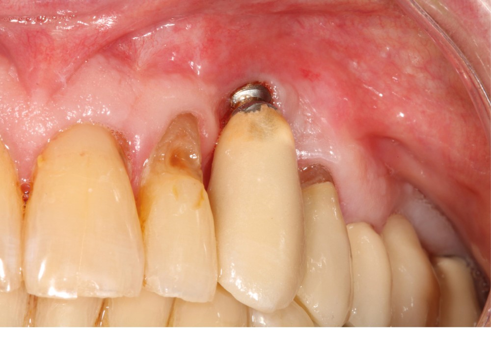
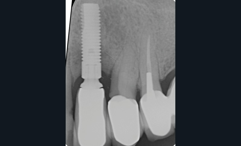
Le patient
- 70 ans
- Pas d’antécédents médicaux
- Ne fume pas
- Hygiène correcte
L’implant
- Site 23
- Mis en place il y a 12 ans
LASERS ET MALADIES PÉRI-IMPLANTAIRES
- Il existe des lasers à haute énergie ou à faible énergie. La courbe d’absorption des rayonnements laser détermine quatre effets principaux des lasers utilisés en chirurgie dentaire :
– effet photoablatif (pour couper les tissus mous et durs) pour les lasers de haute énergie (810 à 10 600 nm),
– effet photochimique (décontamination) pour les lasers de haute énergie (810 à 980 nm),
– thérapie photodynamique (bactéricide avec colorant photosensible) pour les lasers de faible énergie (600 à 800 nm),
– effet de photobiostimulation (stimulation de la guérison) pour les lasers de faible énergie (440 à 970 nm).
- Parmi ces longueurs d’onde, deux lasers (Er-YAG et Diode) sont intéressants dans le traitement de la péri-implantite :
– Le laser Er-YAG, utilisé pour le nettoyage, est un laser avec un milieu actif composé d’yttrium, d’aluminium et de grenat dopé à l’erbium. Avec une longueur d’onde de 2 940 nm situé dans l’infrarouge, le laser Er-YAG est un laser à haute énergie, dont la lumière est absorbée dans l’eau et dans l’hydroxyapatite et qui ne pénètre pas profondément. Ceci permet de couper des tissus mous et des tissus durs, mais également de désorganiser le biofilm bactérie.
C’est un laser idéal pour le traitement chirurgical des péri-implantites. Il permet l’élimination du tissu de granulation à la surface de l’implant et de l’os ainsi qu’une décontamination mécanique par effet photoablatif.– Le laser Diode, utilisé pour la décontamination…



















