La patiente
- 61 ans
- Sous bêta-bloquant
- Bonne hygiène orale
- Parodontite traitée et stabilisée depuis 2016
- Maintenances tous les 6 mois
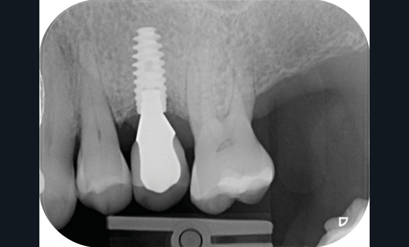
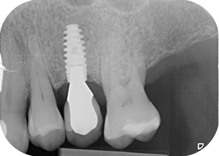
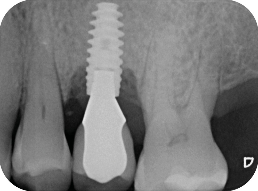
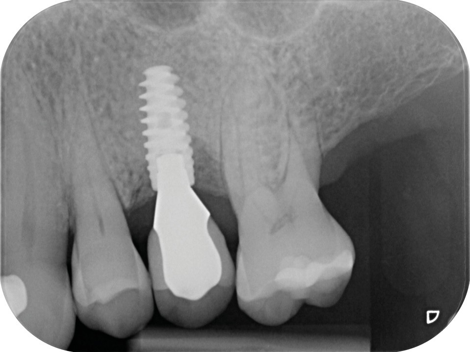
L’implant
- Posé en 2019 par son dentiste
- Couronne d’usage transvissée
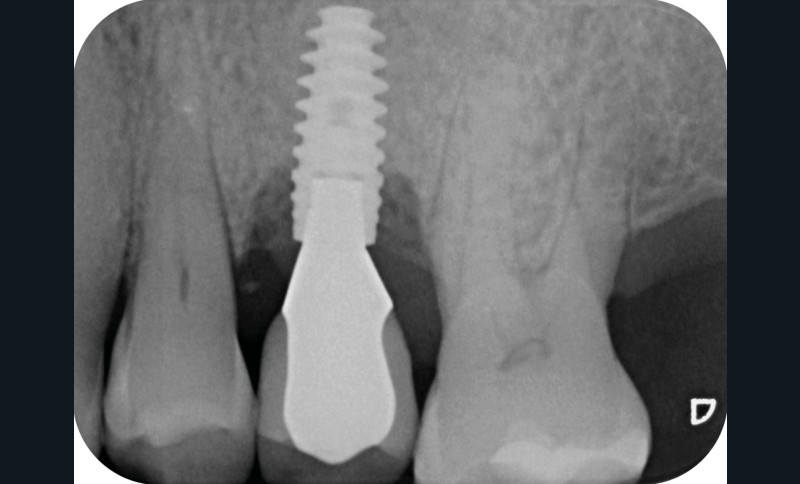
- Péri-implantite diagnostiquée en 2020
Conclusion
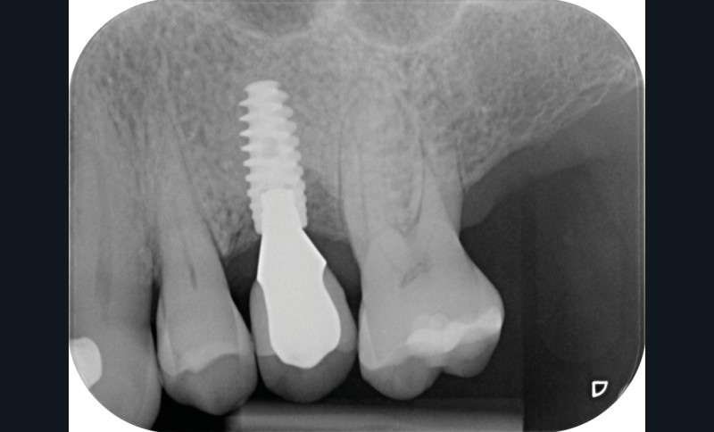
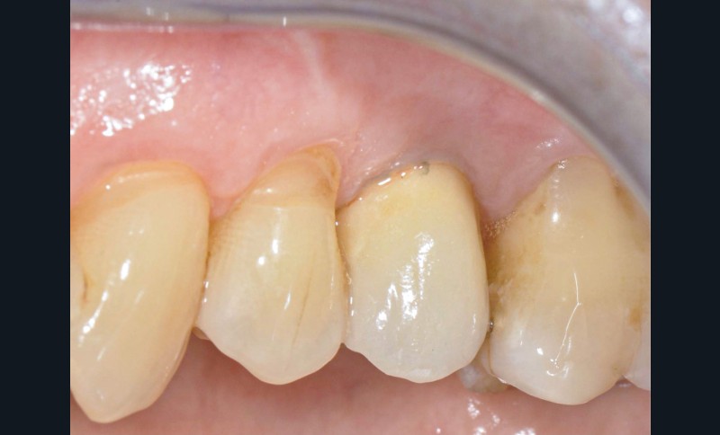
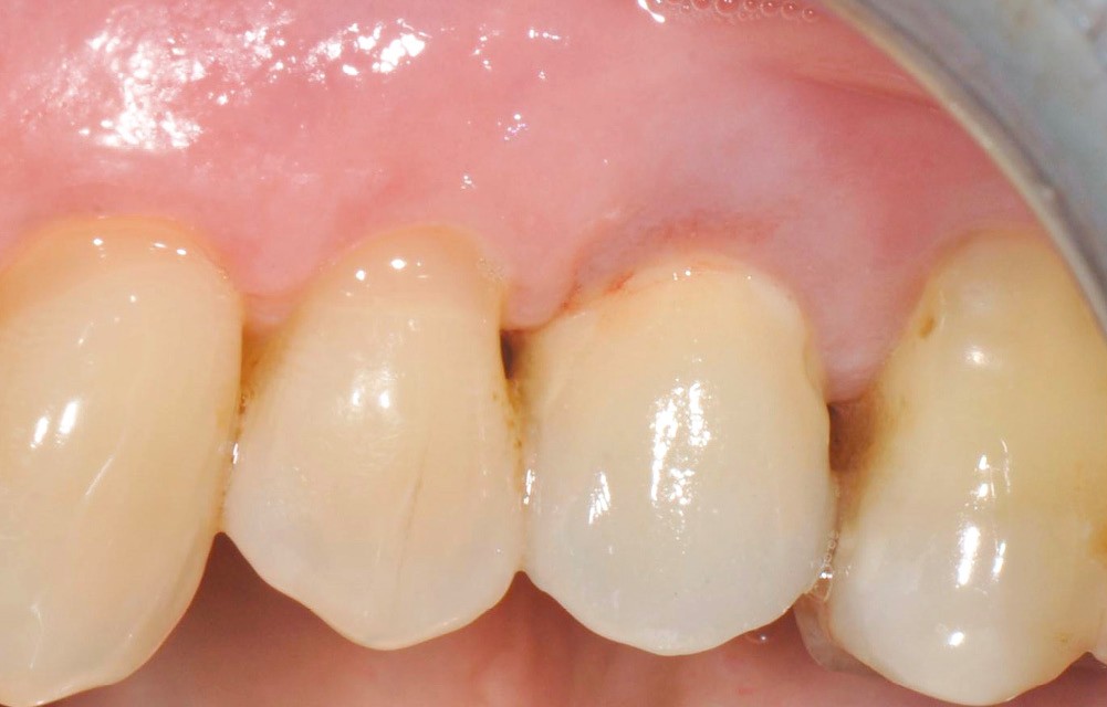
Chez cette patiente, le traitement de la péri-implantite a été réalisé à l’aide d’une technique de régénération osseuse guidée péri-implantaire, dont l’indication a été principalement motivée par la morphologie du défaut osseux. Au-delà de la maîtrise du geste chirurgical, le bon résultat obtenu à trois ans est intimement lié à sa coopération en termes de suivi et de contrôle de plaque.
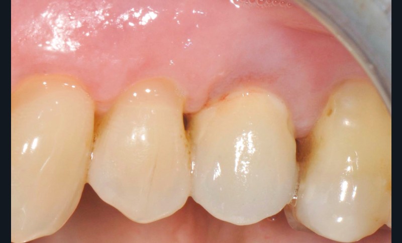
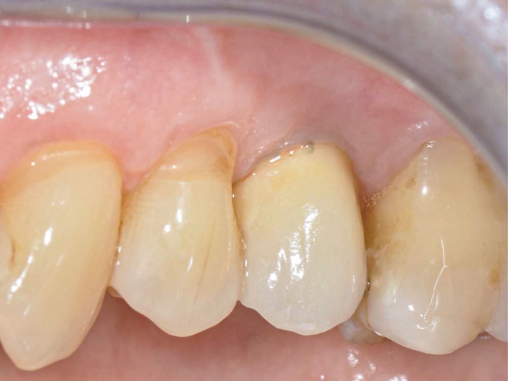
13 et 14. À 3 ans, une régénération osseuse satisfaisante et un bel aspect des tissus péri-implantaires sont observés. Les poches font 3 mm en mésial, distal et palatin, et 2 mm en vestibulaire. Il n’y a pas de saignement au sondage.













