2e lauréat - Concours praticiens
Examen clinique
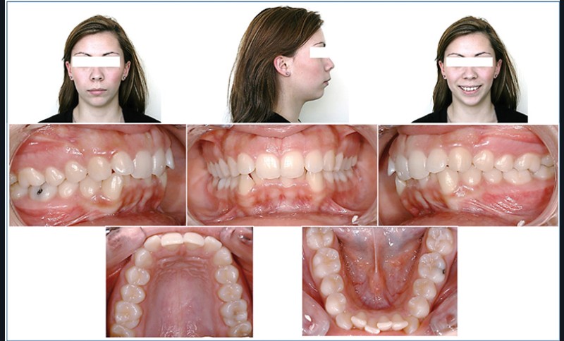
À l’examen exobuccal, le visage est ovalaire, les étages de la face sont équilibrés. Le profil général est convexe avec un sillon labio mentonnier marqué et une distance cervico mentonnière réduite.
Le sourire est bien positionné, mais les contours gingivaux ne sont pas harmonieux, les incisives latérales ressortent et la lèvre inférieure s’interpose.
À l’examen endobuccal, les molaires sont en classe I d’Angle, les incisives centrales sont palatoversées avec une supraclusion de 5 mm au niveau de 11 et 21. L’encombrement mandibulaire est de 7 mm et la courbe de Spee est marquée. La dysharmonie dento maxillaire (DDM) est donc de – 18 mm (fig. 1).
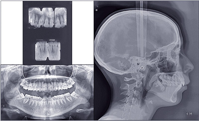
À l’examen des radiographies, la formule dentaire est complète avec 38 et 48 en mésioversion sous la face distale de 37 et 47. Il n’y a pas d’anomalie de la voûte et de la base du crâne.
L’analyse céphalométrique révèle une typologie normodivergente tendance hyperdivergente (FMA = 29°), et une classe II squelettique (ANB = 8°, AoBo : 6,5 mm) par rétrognathie mandibulaire (SNB : 75°).
L’incisive mandibulaire est vestibuloversée (IMPA : 98°) (fig. 2).
En résumé, cette patiente présente une Classe I DDM sur un schéma de classe II squelettique par rétromandibulie.
Objectifs de traitement
Esthétique : diminuer la convexité du profil et harmoniser le sourire.
Squelettique : corriger la rétromandibulie et obtenir une classe I de Ballard.
Dentaire : corriger la DDM, vestibuloverser les incisives maxillaires, corriger la supraclusion et conserver la classe I d’Angle.
Fonctionnel : rétablir un guide antérieur fonctionnel.
Moyens de traitement
Traitement orthodontico-chirurgical multiattaches maxillaire et mandibulaire avec extraction de 15 25 34 44 et avancée mandibulaire chirurgicale. Le traitement a été réalisé en technique de Tweed avec…

