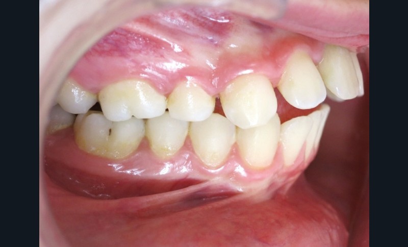
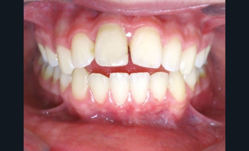
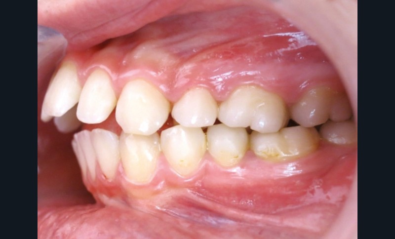
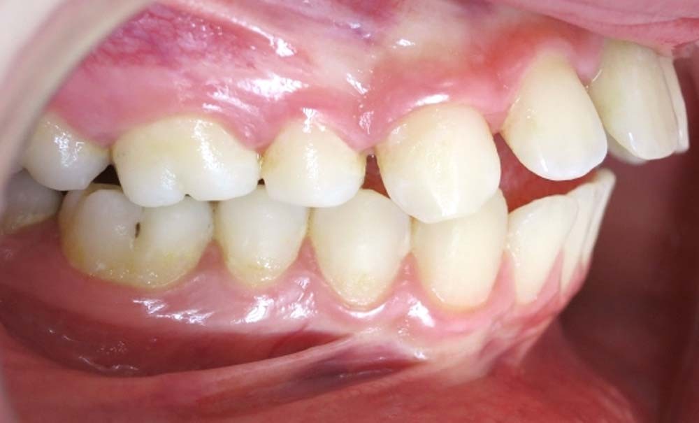
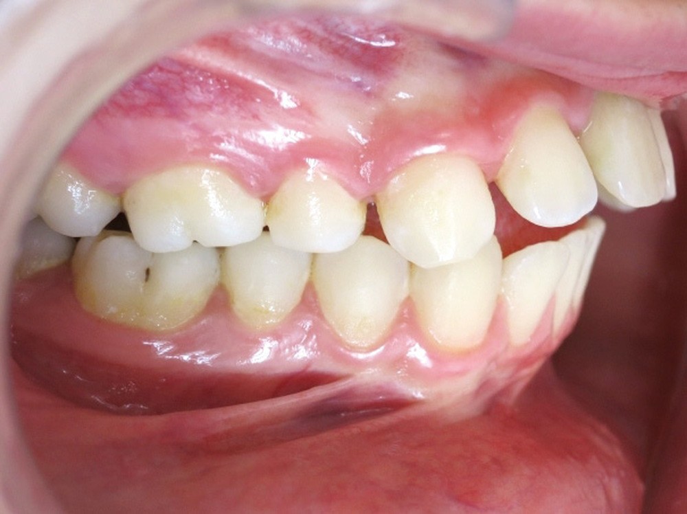
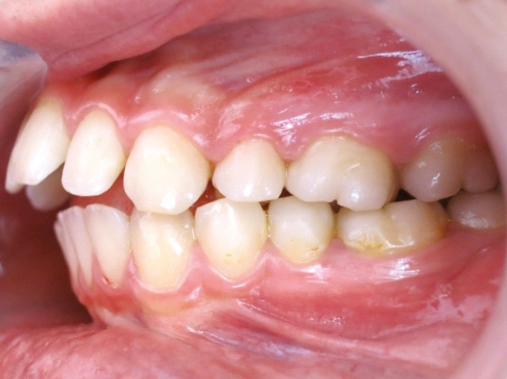
Les infraclusies antérieures chez l’hyperdivergent constituent un challenge pour l’orthodontiste (fig. 1 a-c) [1]. Les approches thérapeutiques conventionnelles s’avèrent actuellement peu efficaces chez l’adulte [2-4] et se traduisent par un taux élevé de récidive, allant de 25 % à 60 % [5, 6]. Aujourd’hui, en alternative à la chirurgie orthognathique reconnue comme le « gold-standard » [7], l’ingression molaire à l’aide d’ancrages osseux type minivis ou miniplaques a connu un essor, et est de plus en plus préconisée. Elle permet une projection en haut et en avant du menton par autorotation mandibulaire antihoraire et la fermeture de l’infraclusie antérieure [7-13] (fig. 2), ce qui peut garantir plus d’efficacité et une meilleure gestion des effets secondaires [14].
Quelles sont les indications des miniplaques d’ingression ?
Les miniplaques d’ingression pourraient, dans certains cas, être préférées aux minivis, si l’espace interradiculaire est réduit. Elles peuvent être insérées loin des dents, évitant ainsi des dommages radiculaires et des interférences dans le mouvement des dents grâce à leur transfixation mono-corticale solide (trois vis minimum), à distance des organes dentaires, des crêtes alvéolaires et des structures anatomiques à risque [7, 15, 16]. Certaines études montrent que la quantité d’ingression obtenue avec les miniplaques est plus importante comparée aux vis [12, 10, 17-20]. Il est à noter que les hyperdivergents avec une rotation postérieure du plan mandibulaire ont une corticale vestibulaire très fine liée à la proximité sinusale dans la zone molaire maxillaire [21], d’où un risque plus important d’échec (mobilité ou perte de minivis) par manque de stabilité primaire [22]. L’utilisation des minivis de plus grand diamètre pour maximiser l’ancrage ou de miniplaques infrazygomatiques pour s’éloigner des sinus est…



