L’extraction dans le secteur antérieur ne doit être indiquée que s’il n’existe pas d’alternative.
La plus grande difficulté consiste à préserver ou à recréer une architecture des tissus qui paraisse à la fois esthétique et naturelle. Cette morphologie et l’aspect de la zone correspondant aux papilles et à la gencive marginale avec ses premiers millimètres de tissus mous sont intimement liés à l’anatomie de l’os sous-jacent.
La résorption osseuse après l’extraction dentaire est un processus normal et physiologique. Ce type de résorption est plus significatif dans la région supérieure antérieure (zone du sourire) de la bouche où l’os est extrêmement mince, entraînant des défauts de tissu inesthétiques. La greffe osseuse de préservation du site d’extraction et l’extraction atraumatique des racines sont deux techniques traditionnellement utilisées pour préserver l’os [1, 2].
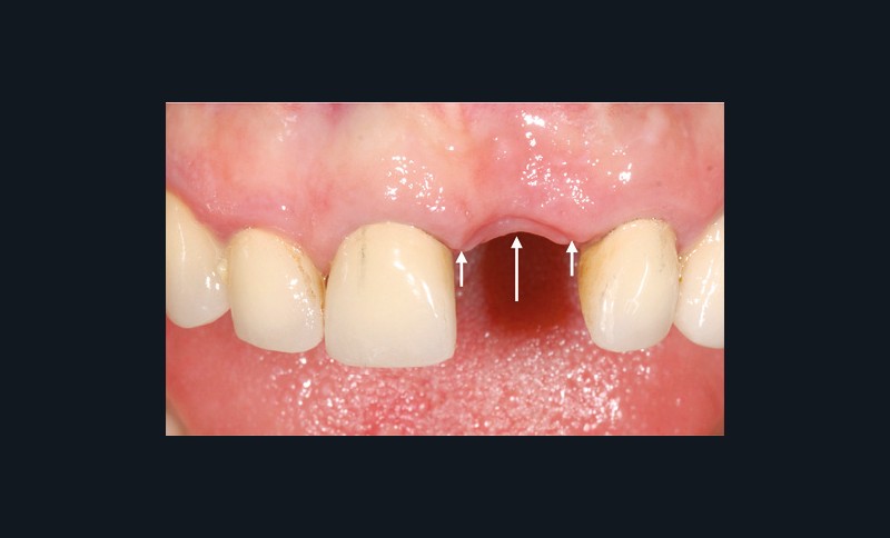
Lorsque la crête est déjà édentée, la résorption osseuse a déjà eu lieu et, en conséquence, la morphologie des tissus mous est altérée (fig. 1). Il faut alors utiliser des techniques d’augmentation osseuse et/ou muqueuse afin d’obtenir une architecture des tissus mous la plus naturelle possible.
Le résultat doit permettre au prothésiste de fabriquer des dents aux formes harmonieuses et équilibrées entre les deux côtés. Néanmoins, notons que leurs positions peuvent être asymétriques avec un résultat tout à fait naturel. Cela autorisera dans certains cas une compensation, au niveau dentaire, d’une architecture des tissus asymétrique, mais esthétique.
L’architecture des tissus doit se visualiser en trois dimensions et comprend deux zones : la zone des papilles et celle de la gencive marginale, avec leurs composantes verticales, horizontales et la profondeur. L’autre aspect de cette architecture est lié aux types de tissus mous (muqueuse alvéolaire…

