Traitement parodontal et restaurateur chez les personnes présentant un trouble des conduites alimentaires

  • Par
  • Publié le . Paru dans Réalités Cliniques n°3 - 15 septembre 2023 (page 24-32)
Information dentaire
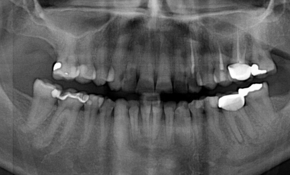
Les troubles des conduites alimentaires, en particulier l’anorexie mentale et la boulimie sont des troubles graves, évoluant sur une longue durée. Les complications physiques et psychologiques sont sévères avec un retentissement individuel, familial et social majeur, car trop souvent les soins ne sont pas suffisamment précoces. Au niveau bucco-dentaire, une prévalence accrue de récessions gingivales et de lésions d’usure dentaire, majoritairement érosives, est retrouvée. Le challenge thérapeutique est grand pour le chirurgien-dentiste, car les patients consultent souvent quand les lésions sont avancées et dans un contexte médical où les facteurs de risque ne sont pas contrôlables… Les recommandations de la Haute Autorité de Santé pour la prise en charge par le chirurgien-dentiste sont aujourd’hui d’une aide précieuse pour conduire, étape par étape, un traitement parodontal et restaurateur sûr et efficace.

Les troubles des conduites alimentaires (TCA) dont l’anorexie mentale et la boulimie sont des troubles graves, évoluant sur une longue durée. Ils affectent des enfants, des adolescents et des adultes des deux sexes avec une prédominance féminine et nécessitent des soins spécialisés et pluridisciplinaires. Les complications physiques et psychologiques sont sévères avec un retentissement individuel, familial et social majeur, car trop souvent les soins ne sont pas suffisamment précoces. Les troubles anxieux, dépressifs et les addictions sont fréquemment associés aux TCA. Sur le plan somatique, les principales complications sont cardiovasculaires, gastro-intestinales, métaboliques, osseuses et reproductives [1].

La première étude clinique sur les complications bucco-dentaires des TCA a été publiée il y a plus de 40 ans et a rapporté une prévalence élevée d’usure érosive, de caries et de perturbations salivaires dans une cohorte de 39 femmes âgées de 14 à 42 ans souffrant d’anorexie mentale [2]. Les revues systématiques publiées depuis concluent à un risque augmenté de lésions d’usure érosives et de lésions carieuses liées aux perturbations alimentaires et aux vomissements [3, 4]. Les complications parodontales ont été étudiées plus récemment. Une prévalence accrue de gingivite liée à la plaque et de récessions gingivales a été observée [5]. Toutefois, très peu d’études cliniques se sont intéressées au versant thérapeutique, qu’il soit restaurateur ou parodontal, dans cette population à besoins spécifiques. Le praticien est ainsi souvent dérouté devant des situations cliniques complexes lorsque les patients consultent tardivement et dans un contexte où les facteurs de risque sont peu contrôlables. Cet article a pour objectifs de rappeler les recommandations de prise en charge pour le chirurgien-dentiste des personnes avec un TCA développées par la Haute Autorité de Santé (HAS) (https://www.has-sante.fr/upload/docs/application/pdf/2019-09/fs_boulimie_prise_en_charge_dentaire_v2.pdf)…

Cet article est réservé aux abonnés.
Pour lire la suite :

Vous êtes abonné.e ? Connectez-vous
Mot de passe
oublié ?

Vous pouvez également :

Acheter l'article En version numérique
Acheter le numéro À l'unité

Thèmes abordés