3e lauréat - Concours étudiant
Les dents concernées par une transposition complète ont permuté leur place et leurs axes dentaires sont parallèles entre eux (couronnes et racines sont transposées) [1].
L’implication des canines maxillaires est de 97 % dans les transpositions maxillaires et la fréquence d’une transposition d’une canine avec une première prémolaire est de 71 % [2].
Une des étiologies possibles de cette transposition est la mutation d’un gène autosomique récessif [3].
Les transpositions unilatérales sont les plus fréquentes, et bien plus souvent impliquées du côté gauche [4].
Les différentes problématiques de cette malocclusion sont les différentes conséquences parodontales, occlusales et esthétiques. De plus, l’étiologie de cette transposition ainsi que le diagnostic topographique influenceront la stratégie thérapeutique.
Cas clinique
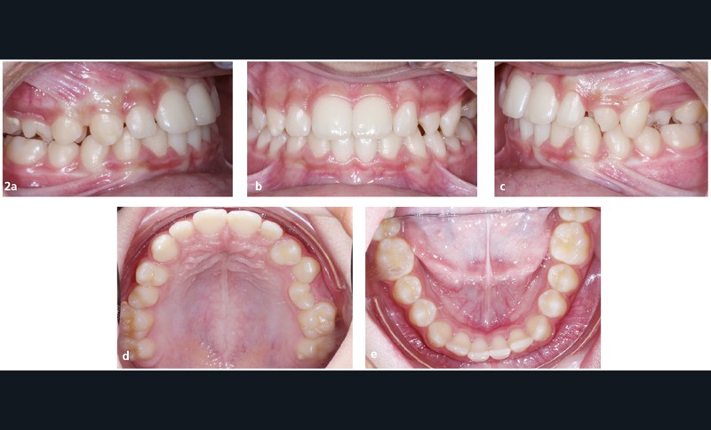
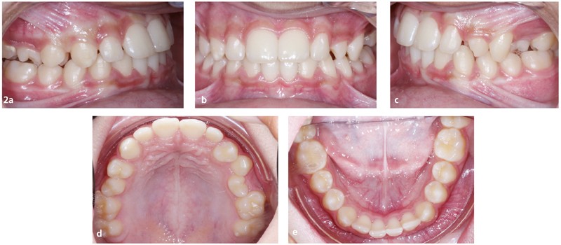
Paulo D., 13 ans, consulte pour un motif esthétique. Il présente une ligne du sourire non harmonieuse, avec la rotation de 24 en place de 23, un sourire gingival à droite et les milieux incisifs non alignés entre eux (fig. 1).
Examen
Au niveau squelettique, il présente une classe I tendance classe III (AoBo= -3,5mm) sur un schéma facial normodivergent.
Sur le plan occlusal et dentaire, on observe une classe III molaire et canine à gauche, une proalvéolie maxillaire, une occlusion inversée au niveau des 15/46 et 25/35-36, une non concordance des milieux incisifs et une transposition complète de 23 et 24 (fig. 2 et 3).
Traitement
La thérapeutique choisie a été de laisser la canine en position transposée, pour des raisons évidentes qui sont l’augmentation de la durée du traitement, le risque de résorption radiculaire lors du déplacement, une atteinte possible du parodonte et une perte de la vitalité pulpaire.
La mise en place d’une prémolaire en situation de canine entraîne des interférences occlusales…


