Traumatologie de la dent temporaire, les bons réflexes à adopter

  • Par
  • Publié le . Paru dans Réalités Cliniques n°3 - 15 septembre 2021 (page 184-191)

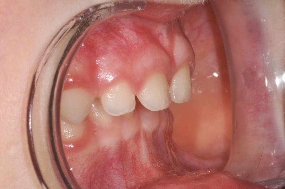
1. Surplomb augmenté chez un enfant de 4 ans.

Information dentaire
Même si la dent temporaire a vocation à disparaître, un traumatisme en denture temporaire doit retenir toute l’attention des parents et du chirurgien-dentiste. Les conséquences sur les dents temporaires et sur les germes sous-jacents peuvent être importantes et impacter les futures dents permanentes. Malgré un contexte anxiogène, un examen rigoureux permet de poser un diagnostic et d’envisager des thérapeutiques adaptées à court, moyen et long terme. La coopération de l’enfant est parfois difficile à obtenir mais la prise en charge de ces traumatismes est indispensable. Pour le chirurgien-dentiste, la connaissance des procédures cliniques est essentielle pour traiter efficacement et éviter à l’enfant une perte de chance ou une aggravation du pronostic.

Les traumatismes chez le jeune enfant sont fréquents et les conséquences pour les dents temporaires voire les germes sous-jacents sont loin d’être négligeables. La non-perception de ces traumatismes par les parents ou encore la difficulté à trouver un praticien disposé à recevoir les jeunes enfants [1] sont autant de facteurs qui retardent la prise en charge, impactant ainsi le pronostic et parfois la qualité de vie des enfants [2]. Pourtant, des thérapeutiques précoces peuvent nettement améliorer ou limiter les conséquences fonctionnelles et esthétiques. Leur mise en œuvre reste toutefois conditionnée par la coopération de l’enfant pour qui la consultation en urgence constitue souvent la première rencontre avec le chirurgien-dentiste. L’objectif de cet article est de donner les clés à chaque praticien pour prendre en charge sereinement et efficacement ces accidents de la vie quotidienne.

Des traumatismes fréquents chez l’enfant

Les études de prévalence donnent des chiffres très variables concernant la traumatologie de la dent temporaire [3]. Une méta analyse récente donne une prévalence de 22,7 % à l’échelle mondiale [4]. Pour autant, une prévalence moyenne de 30 % est classiquement évoquée soit un enfant sur trois [5].

Deux pics de traumatismes existent : premièrement au moment de l’apprentissage de la marche (avant 18 mois) en raison du manque de coordination motrice et de l’absence de réflexes de protection ; deuxièmement entre 2 et 4 ans avec l’acquisition de la vitesse, l’expérimentation de la sociabilisation et d’une indépendance de mouvement plus grande. Ces accidents surviennent surtout dans la sphère privée [6]. Les traumatismes parodontaux sont les plus fréquemment décrits chez le jeune enfant [7]. 95 % des traumatismes sont localisés au maxillaire et concernent surtout les incisives centrales. Les déformations alvéolaires dues notamment aux habitudes de succion non nutritive (tétine…

Cet article est réservé aux abonnés.
Pour lire la suite :

Vous êtes abonné.e ? Connectez-vous
Mot de passe
oublié ?

Vous pouvez également :

Acheter l'article En version numérique
Acheter le numéro À l'unité

Thèmes abordés

Sur le même sujet

Odontologie restauratrice

Article réservé à nos abonnés Défis en traumatologie dentaire : gestion des fractures corono-radiculaires

Responsable scientifique : Emmanuelle Esclassan Noirrit Intervenant : Georgios Tsilingaridis Les fractures corono-radiculaires impliquent à la fois la couronne et la racine...
Odontologie restauratrice

Article réservé à nos abonnés Parlons ensemble d’adhésion

Responsable scientifique : Alain Vanheusden Intervenant : Frédéric Raux Photo et schéma : © Frédéric Raux Le grand principe commun de l’adhésion...
Odontologie restauratrice

Article réservé à nos abonnés Les restaurations partielles en céramique

Responsable scientifique : Michel Bartala Intervenant : Olivier Etienne Les différentes générations de colles La classe des colles avec potentiel adhésif rassemble...