Tuméfactions et prothèse adjointe

  • Par
  • Publié le . Paru dans L'Information Dentaire (page 19-21)
Information dentaire
Les prothèses adjointes sont fréquentes.
Avec le temps, les tissus buccaux se modifient et les prothèses peuvent devenir instables.
Cette instabilité crée fréquemment des traumatismes muqueux entraînant kératose, ulcération ou hyperplasie réactionnelle.
La fréquence de ces lésions ne doit pas occulter le diagnostic de néoplasie parfois maligne, sans lien direct avec la prothèse.

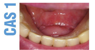
Motif de la consultation.
Homme de 65 ans qui a consulté pour une tuméfaction en rapport avec une prothèse adjointe inférieure.

Histoire de la maladie.

Depuis trois ans, le patient présentait une tuméfaction en
rapport avec une prothèse adjointe inférieure instable.

Interrogatoire.
Le patient décrivait une lésion ancienne, non douloureuse, siégeant sur le plancher buccal antérieur.

Examen clinique.
Il a révélé une tuméfaction nodulaire, sessile, de localisation médiane, recouverte d’une muqueuse d’aspect normal. La lésion était en rapport direct avec la prothèse adjointe. Le nodule était aussi présent sous la prothèse au niveau gingival. La palpation montrait une lésion de consistance molle, facilement mobilisable.

Examen paraclinique.
Aucun examen paraclinique n’était nécessaire, car le diagnostic était cliniquement évident. L’examen anatomopathologique de la pièce d’exérèse a cependant été réalisé à titre systématique. Il a confirmé la bénignité de la lésion et son aspect était compatible avec le diagnostic d’hyperplasie fibro-épithéliale inflammatoire.

Synthèse. L’hyperplasie fibro-épithéliale inflammatoire sous-prothétique est aussi appelée épulis fissuratum. Le plus souvent, cette lésion est située dans le vestibule, en rapport avec une prothèse adjointe ancienne et mal adaptée. Elle résulte d’un espace entre la prothèse et la crête où s’insère la muqueuse libre. Parfois, elle est constituée par plusieurs feuillets muqueux parallèles, donnant une hyperplasie en feuillets de livre. Le traitement est l’excision à la lame froide ou au laser. La prothèse doit être rebasée ou refaite pour éviter les récidives.

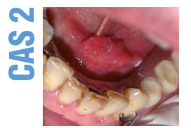
Motif de la consultation.
Homme de 66 ans, adressé par son chirurgien-dentiste pour diagnostic d’une lésion du plancher buccal.

Histoire de la maladie.
Depuis quatre mois, le patient présentait une tuméfaction du plancher buccal.

Interrogatoire.
Le patient était fumeur (40 paquets-année)…

Cet article est réservé aux abonnés.
Pour lire la suite :

Vous êtes abonné.e ? Connectez-vous
Mot de passe
oublié ?

Vous pouvez également :

Acheter l'article En version numérique

Thèmes abordés