Ulcération de cause générale ?

  • Par
  • Publié le . Paru dans L'Information Dentaire (page 27-29)
Information dentaire
Les ulcérations au niveau de la cavité buccale sont d’origines multiples : infectieuses, traumatiques, tumorales, ou dysimmunitaires. Le diagnostic différentiel repose sur le caractère aigu ou chronique, unique ou multiple, récidivant ou non. L’état général du patient ne doit pas être négligé, car il oriente souvent le diagnostic.

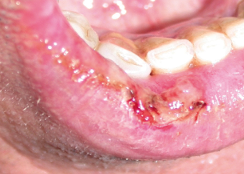
CAS 1

Motif de la consultation. Patient de 55 ans venu consulter pour l’apparition d’une ulcération de la lèvre inférieure douloureuse.

Histoire de la maladie. La lésion était présente depuis deux mois. Son volume avait tendance à augmenter.

Interrogatoire. Il mettait en évidence un antécédent de leucémie aiguë myéloïde ayant échappé à toutes les lignes de chimiothérapie et thérapie ciblées. Le patient avait subi une allogreffe de moelle osseuse un an auparavant. Cette allogreffe s’était compliquée d’une maladie du greffon contre l’hôte (GVH) chronique avec une atteinte cutanée sclérodermiforme. Le patient prenait une prophylaxie anti-infectieuse et 0,25 mg/kg de prednisolone associée à de la ciclosporine à la dose de 60 mg le matin et 60 mg le soir. Depuis deux mois, il avait remarqué une xérostomie et l’apparition d’une ulcération douloureuse de la lèvre inférieure qui avait tendance à s’étendre.

Examen clinique. Il révélait une ulcération de 2 cm de grand axe, à cheval entre la muqueuse labiale et le bord vermillon. L’ulcération était profonde, recouverte d’un enduit fibrineux humide et de quelques croûtes plus ou moins impétiginisées. L’examen intrabuccal montrait des lésions kératosiques lichénoïdes en réseau et en plaque.

Examen paraclinique. L’examen anatomopathologique d’une biopsie réalisée à cheval sur l’ulcération et la muqueuse saine révélait un infiltrat lymphoplasmocytaire lichénoïde responsable d’une pathologie d’interface pouvant correspondre à une lésion de GVH. Aucune atypie n’était décelée sur le prélèvement.

Synthèse. Le tableau clinique et l’examen anatomopathologique étaient évocateurs d’une lésion lichénoïde de GVH. Dans le contexte, le diagnostic de lésion lichénoïde de GVH était évident, mais une biopsie était nécessaire pour éliminer une dégénérescence en carcinome épidermoïde. Le traitement…

Cet article est réservé aux abonnés.
Pour lire la suite :

Vous êtes abonné.e ? Connectez-vous
Mot de passe
oublié ?

Vous pouvez également :

Acheter l'article En version numérique

Thèmes abordés