La prise en charge de lésions cervicales d’origine non carieuse est fréquemment envisagée par la réalisation d’une restauration adhésive par composite. Ces lésions sont caractérisées par la présence de dentine sclérotique comprenant des tubuli dentinaires oblitérés et une couche superficielle hyperminéralisée. Celle-ci est difficile à mordancer et limite l’adhésion. De nombreuses études cliniques ont récemment évalué les performances des restaurations adhésives composites collées sur ces lésions avec des adhésifs universels.
La méta-analyse réalisée par Josic et collaborateurs (fig. 1) a permis de montrer, jusqu’à 2 ans de suivi, que l’utilisation des adhésifs universels avec un mordançage sélectif préalable de l’émail permet de réduire le décollement des composites sur ces lésions par rapport à un adhésif universel utilisé seul (mode SAM).
Par ailleurs, ce mode mordançage sélectif provoque moins de sensibilité postopératoire que le mode mordançage-rinçage total (MR). Le nombre d’articles exploitables dans ce travail étant limité, nous pouvons regretter que l’analyse ne considère pas l’impact du 10-MDP sur ces paramètres, sachant qu’il est aujourd’hui clairement établi que cette molécule augmente l’adhésion des adhésifs qui en contiennent [1].
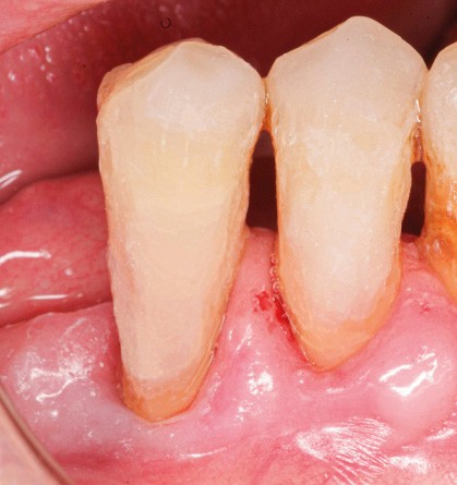
En 2022, le collage d’un composite sur une lésion cervicale d’origine non carieuse nécessite (fig. 2, 3, 4) :
- la pose du champ opératoire étanche (utilisation de fil dentaire ou téflon si nécessaire) ;
- le fraisage dentaire de surface et biseautage de l’émail [2] ;
- le mordançage sélectif de l’émail et application du système adhésif universel selon les recommandations du fabricant ;
- l’application du composite par incrémentation ;
- les finitions et le polissage.



