Un « bouton » sur la langue

  • Par
  • Publié le . Paru dans L'Information Dentaire (page 27-29)
Information dentaire
Le terme « bouton » employé par les patients désigne le plus souvent un nodule. Le nodule est une lésion élémentaire qui correspond à une surélévation tissulaire centimétrique, généralement de forme arrondie, bien délimitée, de consistance variable à la palpation.
Les nodules peuvent être d’origine inflammatoire, infectieuse, traumatique ou tumorale. Le plus souvent, les nodules de la muqueuse buccale sont d’origine traumatique ou tumorale.

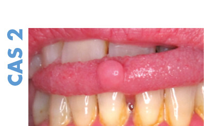
Motif de la consultation. Patient de 75 ans, venu consulter pour une lésion persistante du bord latéral gauche de la langue.

Histoire de la maladie.
La lésion était présente depuis deux ans. Le patient avait demandé l’avis de son généraliste qui lui avait dit que la lésion était probablement d’origine traumatique.

Interrogatoire. Il révélait un antécédent de pose de stent coronarien associé à la prise d’aspirine (75 mg/j) et une hypertension traitée par furosémide (40 mg/j). Le patient décrivait être gêné par « cette boule » qu’il mordillait involontairement.

Examen clinique. Il révélait une lésion nodulaire d’environ 1 cm de grand axe sur le bord latéral gauche de la langue. La lésion était recouverte d’une muqueuse normale et la lésion avait un aspect discrètement blanc jaunâtre. Il n’existait pas de facteurs irritatifs locaux ni d’espace interdentaire en regard. La lésion était ferme à la palpation. Les aires ganglionnaires cervico-faciales étaient libres.

Examens paracliniques. Une exérèse de la lésion sous anesthésie locale a été réalisée. L’examen anatomopathologique a révélé un nodule tumoral fait de cellules de grande taille, au cytoplasme éosinophile et granuleux. Les cellules avaient un noyau régulier et les mitoses étaient rares. Les cellules tumorales exprimaient fortement la protéine S100.

Synthèse. Le tableau clinique et l’examen anatomopathologique sont évocateurs d’une tumeur d’Abrikossoff. Cette lésion bénigne se développe aux dépens des cellules de Schwann, justifiant le terme de tumeur à cellules granuleuses des gaines nerveuses ou schwannome à cellules granuleuses. Les tumeurs d’Abrikossoff se développent le plus souvent dans la cavité orale et dans la majorité des cas sur la face dorsale de la langue. Le traitement habituel des tumeurs d’Abrikossoff est l’exérèse chirurgicale ; les récidives sont rares.

Motif de la consultation. Patiente de 33 ans…

Cet article est réservé aux abonnés.
Pour lire la suite :

Vous êtes abonné.e ? Connectez-vous
Mot de passe
oublié ?

Vous pouvez également :

Acheter l'article En version numérique

Thèmes abordés