Cas 1
Motif de la consultation
Patiente de 55 ans, qui a consulté pour une lésion blanche de la lèvre inférieure.
Histoire de la maladie
- La patiente a remarqué depuis environ 3 mois la présence d’une modification de couleur d’une partie de la muqueuse de sa lèvre inférieure.
Interrogatoire
- Il ne révélait pas d’antécédent notable. La patiente déclarait avoir perçu une sensation de picotement de sa lèvre inférieure à droite avec une sensation de perte d’élasticité qui l’a conduite à examiner sa lèvre qui avait une couleur blanchâtre, ce qui l’a inquiétée.
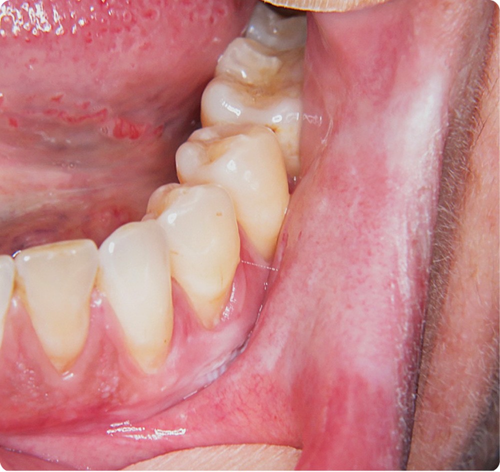
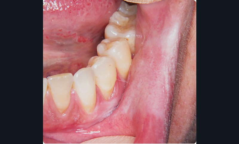
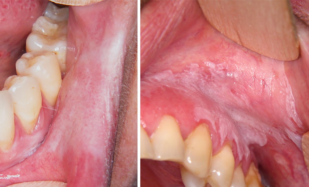
Examen clinique
- On observait au niveau de la muqueuse labiale une plageblanche plus ou moins visible qui s’étendait du bord vermillon jusqu’au sillon gingivo-jugal en regard des dents 33-34-35. La palpation révélait une perte d’élasticité de la muqueuse dans la zone blanche en comparaison de la muqueuse adjacente d’aspect rosé.
Examens paracliniques
- Une biopsie a été réalisée. Elle a révélé un épithélium rectiligne, atrophique, surmonté d’une fine couche de parakératose. Une large bande fibreuse hyaline sous épithéliale occupait le tissu conjonctif et un infiltrat inflammatoire lympho-plasmocytaire était disposé sous la bande fibreuse.
Synthèse
- L’examen anatomopathologique a permis de confirmer le diagnostic de LICHEN SCLéREUX DE LA LèVRE. Il s’agit d’un diagnostic rare au niveau de la muqueuse buccale et peu de données concernant l’évolution de ce type de lichen sont disponibles dans la littérature. En revanche, sur la muqueuse génitale, le risque de transformation maligne est bien documenté avec 3 à 5 % de transformation maligne. Le traitement a consisté, en première intention, en une application matin et soir d’une crème de clobétasol sans véritable efficacité après 2 mois de traitement. En deuxième intention, deux injections sous-lésionnelles de 40…
