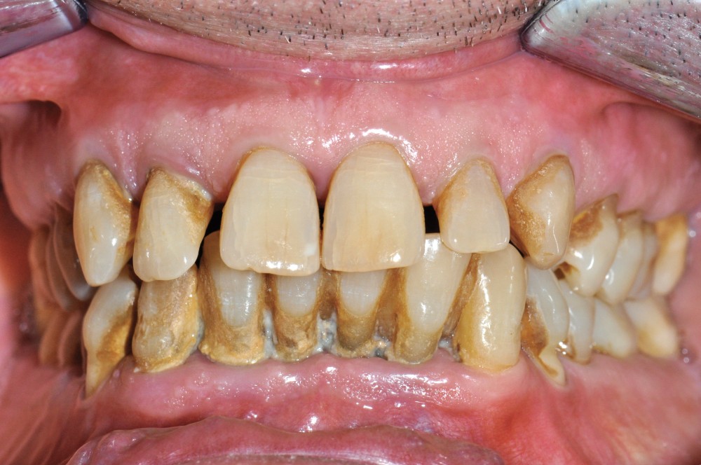
Il arrive que des affections parodontales restent ignorées par l’omnipraticien, souvent parce que les signes d’appel sont mal appréhendés, voire méconnus, notamment lorsque la maladie en est encore à un stade précoce. Il est vrai que le praticien généraliste se « débat » au milieu d’informations souvent très complexes et parfois contradictoires mêlant ses connaissances initiales à des formations parfois mal dimensionnées et vitrines de praticiens experts. Il en résulte une inhibition face à un tableau clinique qu’il va préférer déléguer ou pire une aversion pour une spécialité au carrefour de nombreuses disciplines. Or, la parodontie ne requiert des connaissances vraiment approfondies et une bonne maîtrise clinique que pour moins de 15 % des cas. La complexification parfois injustifiée de certains traitements a fait oublier les fondamentaux sur lesquels il est indispensable de se recentrer.
Un traitement parodontal simple mais efficace
- Par
- Publié le . Paru dans Réalités Cliniques n°3 - 15 septembre 2013 (page 165-174)
Cet article est réservé aux abonnés.
Pour lire la suite :
Vous êtes abonné.e ?
Connectez-vous
Pas encore abonné.e ?
Abonnez-vous
Abonnez-vous pour recevoir la revue et bénéficier des services en ligne et des avantages abonnés.
Vous pouvez également :
Acheter l'article
En version numérique
Acheter le numéro
À l'unité