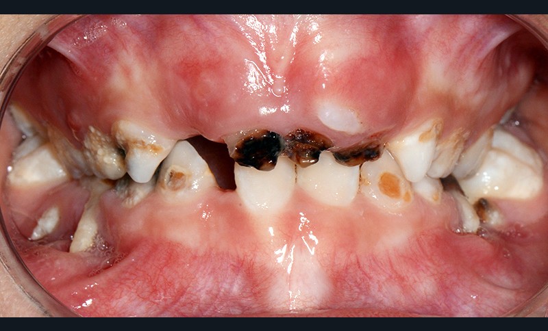
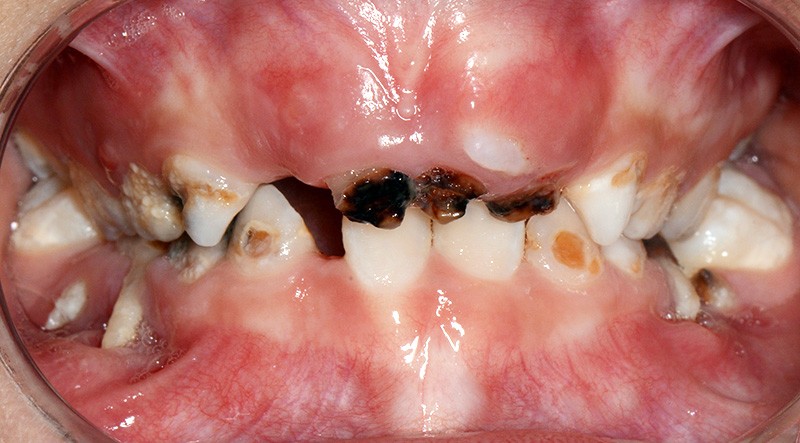
Une récente revue systématique de la littérature a permis de constater qu’au moins 24 % des dents temporaires affectées par des lésions carieuses cavitaires n’étaient pas traitées en France, alors qu’à l’échelle mondiale, cette prévalence est de l’ordre de 9 % [1] (fig. 1, 2). Selon la nouvelle approche de la maladie carieuse, ces besoins en soins sont par ailleurs sous-évalués, car les lésions non cavitaires doivent désormais être prises en charge par des traitements non invasifs, multipliant ainsi par deux les besoins en soins des enfants [2]. Ce déficit de traitements des dents temporaires, néfaste pour l’avenir bucco-dentaire des jeunes Français concernés (encadré 1), nous a amenés à nous interroger sur la prise en charge bucco-dentaire actuelle des enfants.
Ainsi, nous avons réalisé une étude descriptive au sein d’un département français, dont la méthodologie est indiquée dans l’encadré 2. Elle avait pour objectif de déterminer la prise en charge des patients en odontologie pédiatrique en Côte d’Or (région Bourgogne-Franche-Comté) et les éléments qui pouvaient l’influencer.
Résultats
Cent soixante-dix praticiens (59 %) des chirurgiens-dentistes ont répondu au questionnaire. D’un âge moyen de 47 ± 12 ans, les hommes (60 %) étaient significativement plus âgés (49 ± 12) que les femmes (43 ± 12) (p = 0,002). Cinquante-neuf pourcents exerçaient dans l’une des deux villes de plus de 20 000 habitants (Dijon, Beaune). Les facultés d’origine les plus représentées étaient Lyon (22 %), Nancy (19 %), Clermont-Ferrand (16 %) et Strasbourg (14 %). Douze pourcents étaient salariés (dont 10 % avec une activité mixte) et les autres libéraux. La majorité des répondants étaient satisfaits de leur formation initiale théorique (81 %) et clinique en odontologie pédiatrique (74 %).

