QCM – Une hyperplasie fibreuse du vestibule inférieur

  • Par
  • Publié le . Paru dans L'Information Dentaire n°1 - 15 janvier 2020
Information dentaire

Rubrique coordonnée par le Dr Guy Princ

 

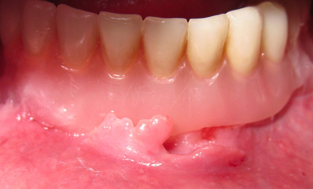
Un homme âgé de 72 ans, suivi pour une hypertension artérielle équilibrée, est adressé pour avis. Il présente une lésion muqueuse hyperplasique vestibulaire inférieure, en regard d’une prothèse adjointe complète (PAC) (fig. 1) réalisée dix ans auparavant environ. Il se plaint d’instabilité de sa prothèse complète. L’examen exo-buccal ne révèle aucune adénopathie cervicale. À l’examen endo-buccal, on note une hyperplasie muqueuse oblongue d’environ 15 x 4 mm, sans ulcération ni induration, qui vient « épouser » la selle prothétique de la PAC. L’orthopantomogramme ne révèle aucune image pathologique sous-jacente. L’examen occlusal au papier à articuler bleu montre une surocclusion prémolaires-molaires gauche.

1. Quel(s) diagnostic(s) évoquez-vous ?
a. Un carcinome épidermoïde
b. Un condylome acuminé
c. Un granulome pyogénique (botryomycome)
d. Une hyperplasie fibro-épithéliale sous-prothétique
e. Aucune des propositions

2. Quel(s) examen(s) complémentaire(s) demandez-vous ?
a. Une numération formule sanguine (NFS)
b. Un bilan d’hémostase
c. Une IRM
d. Aucune des propositions

3. Quelle est la conduite à tenir ?
a. Antibiothérapie et surveillance
b. Equilibration occlusale, exérèse lésionnelle et rebasage de la prothèse
c. Biopsie de la lésion pour examen anatomopathologique
d. Prescription d’un gel antiseptique
e. Aucune des propositions

Réponses 1 : d ; 2 : d ; 3 : b

Commentaires

Le diagnostic d’hyperplasie sous-prothétique (epulis fissuratum) est évident devant une hyperplasie « épousant » la selle d’une prothèse complète inadaptée. Le carcinome épidermoïde en l’absence de saignement au contact, d’ulcération, d’induration et d’adénopathie cervicale est écarté. Le granulome pyogénique (botryomycome) et le condylome acuminé ont des aspects caractéristiques, respectivement bourgeonnant vasculaire et papillomateux.
Les hyperplasies…

Cet article est réservé aux abonnés.
Pour lire la suite :

Vous êtes abonné.e ? Connectez-vous
Mot de passe
oublié ?

Vous pouvez également :

Acheter l'article En version numérique
Acheter le numéro À l'unité

Thèmes abordés