1. Quel(s) diagnostic(s) évoquez-vous ?
a) Carcinome épidermoïde
b) Hyperplasie endothéliale intravasculaire
c) Epulis inflammatoire
d) Granulome pyogénique
2. Quelle est la conduite à tenir immédiate ?
a) Antibiothérapie et surveillance
b) Curetage parodontal de la lésion
c) Biopsie de la lésion
d) Dépose des implants et surveillance
3. Quelle(s) étiologie(s) éliminant un carcinome épidermoïde évoquez-vous ?
a) La corrosion du titane
b) Un traumatisme local
c) L’état parodontal
d) La consommation tabagique
RÉPONSES : 1 : a, c, d ; 2 : a ; 3 : a, b
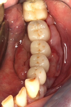
Question 1. Le carcinome épidermoïde, l’épulis et le granulome pyogénique peuvent a priori être évoqués tous les trois. La petite taille et le siège classiquement labial de l’hyperplasie endothéliale intravasculaire [4] permettent d’écarter ce diagnostic. Dans tous les cas, seul l’examen anatomopathologique permet d’étiqueter la lésion.
Le carcinome épidermoïde doit être évoqué du fait des caractéristiques de la lésion, de l’adénopathie sous-mandibulaire et du passé tabagique du patient.
L’épulis inflammatoire, pseudotumeur inflammatoire chronique, se développe généralement sur la gencive marginale ou sur une papille interdentaire. La lésion est habituellement sessile et mesure en moyenne 5 à 10 mm de diamètre. Il est indolore, érythémateux et rarement ulcéré. L’origine traumatique de l’épulis peut correspondre au cas présenté (espaces papillaires insuffisants).
Le granulome pyogénique (syn. botryomycome, hémangiome capillaire lobulé) est une lésion bénigne d’origine vasculaire [2]. Il siège sur la peau et, surtout, sur les muqueuses, en particulier les lèvres, les gencives, les joues et la langue. La lésion en bouche peut être unique ou multiple. Elle se présente comme un nodule saillant, souvent sessile, rarement pédiculé. La lésion est…

