1. Quels examens complémentaires prescririez-vous en première intention ?
a. Radiographie panoramique
b. Cliché de Blondeau
c. IRM
d. Echographie
e. Cliché occlusal
2. Quel diagnostic était le plus probable ?
a. Carcinome épidermoïde
b. Lithiase du conduit submandibulaire
c. Mucocèle sublinguale
d. Torus mandibulaire
e. Lymphome MALT
3. Quel(s) traitement(s) préconiseriez-vous ?
a. Antispasmodiques
b. Antibiotiques
c. Chirurgie d’exérèse
d. Abstention et surveillance
e. Lithotritie
Réponses : 1 : a-d-e ; 2 : b ; 3 : c
Une radiographie panoramique, une échographie de la loge submandibulaire gauche et un cliché occlusal permettent de compléter l’examen clinique.
Sur la première (fig. 2), on retrouve au niveau du secteur 3 une lésion radio-opaque de plusieurs centimètres, homogène, de forme arrondie aux contours bien délimités, et sans rapport avec les apex des dents présentes.
L’échographie (fig. 3) objective un nodule hyperéchogène d’environ 2 cm à l’extrémité distal du conduit submandibulaire et une glande submandibulaire gauche dilatée.
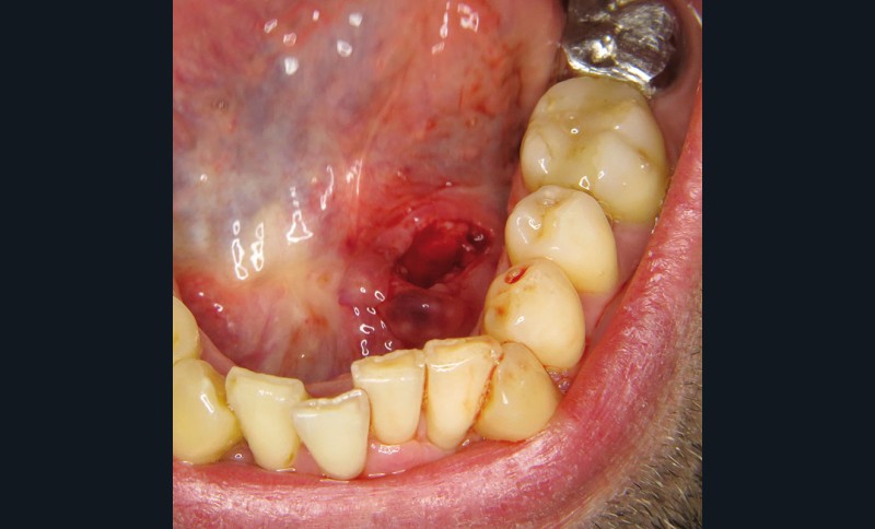
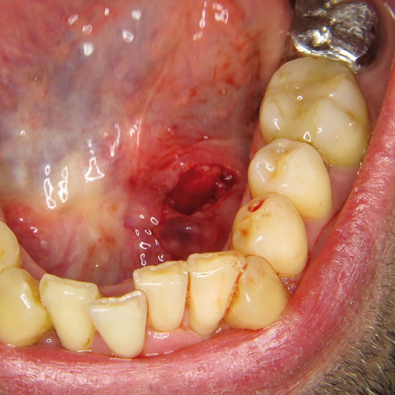
Ce tableau clinique met en évidence une volumineuse lithiase du tiers antérieur du conduit submandibulaire gauche.
Le diagnostic différentiel doit se faire ici avec une tumeur du plancher buccal ou de la glande sublinguale.
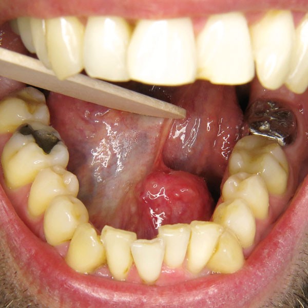
La prise en charge est chirurgicale sous anesthésie locale. Une incision du toit du nodule est réalisée (fig. 4 et 5).
La lithiase est libérée du canal aux ciseaux de Metzenbaum, ce qui permet son énucléation en un seul fragment de plus de 2 cm de grand axe (fig. 6).
Le canal n’est pas suturé, une suture du plan le plus superficiel est réalisée au Vicryl rapide 4/0.
Notons ici que la prescription d’antibiotiques ne se justifie pas en l’absence de…




