Usure dentaire : normale ou pathologique ?

  • Par
  • Publié le . Paru dans L'Orthodontiste n°3 - 15 juin 2020 (page 16-27)

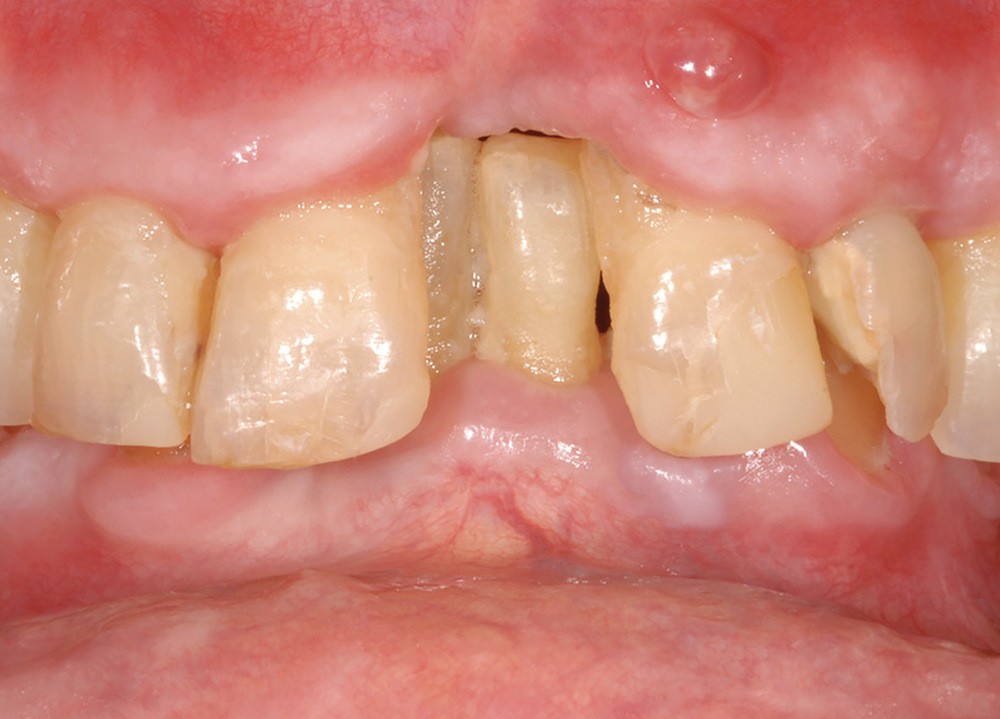
Fig. 1a-b - Importante supraclusion prédisposant à une importante attrition des faces palatines des incisives maxillaires. Cette usure est considérée comme pathologique car elle entraine de la douleur chez cette patiente âgée de 93 ans.

Information dentaire
L’usure est la détérioration que produit l’usage. Au niveau des structures dentaires, elle est généralisée et importante dans les populations du passé mais elle est considérée comme physiologique, normale. Dans ces populations, elle est en effet corrélée au régime alimentaire, à l’âge, à l’environnement, au mode de vie, au comportement social, à la culture, aux activités et à l’état sanitaire des individus.

Cette idée est souvent mal comprise car actuellement, bien que moins développée, elle est souvent considérée comme pathologique. Pour ajouter à la confusion l’usure dentaire dépend de nombreux mécanismes complexes, synchrones ou séquentiels, synergiques ou additifs qui souvent masquent sa véritable origine.

Aussi, dans le but d’améliorer la prévention et le diagnostic des lésions d’usure pathologiques et de mieux comprendre leurs diverses expressions, les principaux objectifs de cet article sont de présenter les mécanismes tribologiques dont elles dépendent (attrition, abrasion, érosion…), les critères permettant de faire un diagnostic différentiel et certaines recommandations lorsqu’une prise en charge est nécessaire.

Attrition

Approche tribologique

L’usure est un terme générique communément employé en odontologie pour décrire différents phénomènes que la tribologie (du grec ancien tribos, frottement) permet de systématiser [1]. Cette science et technologie initiée en 1966 par Peter Jost regroupe l’étude de la friction, de la lubrification et de l’usure. Elle étudie des phénomènes susceptibles de se produire entre différents systèmes matériels en contact, immobiles ou animés de mouvements relatifs.

Selon cette approche, l’attrition correspond à la friction de deux corps solides en mouvement dont les surfaces sont en contact direct [2]. C’est une usure abrasive à deux corps dont la compréhension est facilitée en se plaçant à l’échelle microscopique. Aucune surface n’est alors complètement lisse. Lorsque des contacts adviennent entre différents corps c’est par le biais de leurs aspérités qui se comportent comme autant de particules abrasives. Selon la microrugosité de ces corps plus ou moins de microcontacts s’établissent et définissent une surface effective significativement plus faible que la surface maximale théorique. Aussi, même si la pression globale exercée entre différents…

Cet article est réservé aux abonnés.
Pour lire la suite :

Vous êtes abonné.e ? Connectez-vous
Mot de passe
oublié ?

Vous pouvez également :

Acheter l'article En version numérique
Acheter le numéro À l'unité

Thèmes abordés