Usure et compensations dento-alvéolaires

  • Par
  • Publié le . Paru dans Réalités Cliniques n°2 - 15 juin 2018 (page 91-99)
Information dentaire
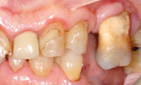
Les compensations dento-alvéolaires assurent et maintiennent dans le temps des relations inter-arcades normales malgré un éventuel décalage des bases osseuses et/ou des procès alvéolaires. Elles permettent également de maintenir une occlusion fonctionnelle tout au long de la vie malgré la progression de l’usure dentaire.
Elles comprennent différents mouvements verticaux (éruption continue), sagittaux (dérive mésiale des secteurs postérieurs, bascule linguale des secteurs antérieurs) et transversaux (verticalisation des molaires) qu’il est important de connaître lorsqu’un traitement orthodontique, prothétique et/ou implantaire est envisagé. Elles conditionnent en effet son pronostic.

Les compensations dento-alvéolaires peuvent être assimilées à un système dynamique et adaptatif destiné à assurer et à maintenir dans le temps des relations inter-arcades normales malgré un éventuel décalage des bases osseuses et/ou des procès alvéolaires. Ce système permet également de maintenir, dans certaines conditions, une occlusion fonctionnelle tout au long de la vie malgré la progression de l’usure dentaire. Les objectifs principaux de cet article sont de présenter les différents mécanismes biologiques et moléculaires impliqués ainsi que certaines données quantitatives issues de l’anthropologie biologique et de l’orthodontie. Dans un but didactique ils seront successivement étudiés selon les trois sens de l’espace (vertical, sagittal et transversal), bien qu’ils soient concomitants. 

Compensations verticales

L’éruption dentaire est un processus biologique par lequel une dent en cours de développement émerge à travers l’os alvéolaire puis la muqueuse orale pour entrer en contact avec les dents antagonistes et permettre différentes fonctions, dont la mastication [1]. Elle est caractérisée par différents types de mouvements, essentiellement verticaux, qui s’enchaînent au cours :
– de la phase d’éruption préfonctionnelle (intraosseuse) qui débute dès le développement radiculaire jusqu’à l’émergence dans la cavité buccale ;
– de la phase d’éruption fonctionnelle (supraosseuse) de l’émergence dans la cavité buccale jusqu’à ce que la dent établisse un contact occlusal ;
– de la phase postéruptive ou éruption continue qui permet d’ajuster la croissance maxillaire et mandibulaire [2]. Cette dernière phase ne se termine qu’avec la perte de la dent et permet également, dans certaines conditions, de compenser l’usure dentaire [3]. Afin de mieux comprendre les mécanismes impliqués, il est nécessaire de distinguer deux situations, selon que les dents sont non fonctionnelles (par absence…

Cet article est réservé aux abonnés.
Pour lire la suite :

Vous êtes abonné.e ? Connectez-vous
Mot de passe
oublié ?

Vous pouvez également :

Acheter l'article En version numérique
Acheter le numéro À l'unité

Thèmes abordés