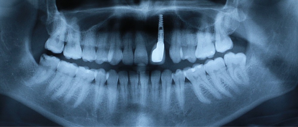
À la suite d’un accident de la voie publique il y a plusieurs années, le secteur antérieur maxillaire a été traumatisé, 21 et 22 ont été expulsées, et 11 et 12 présentent d’importantes résorptions radiculaires externes inflammatoires visibles à la radiographie panoramique (fig. 1).
Pauline a déjà eu un traitement d’orthodontie à l’adolescence, avec extraction de 25, 35, 45.
À l’examen clinique, Pauline présente :
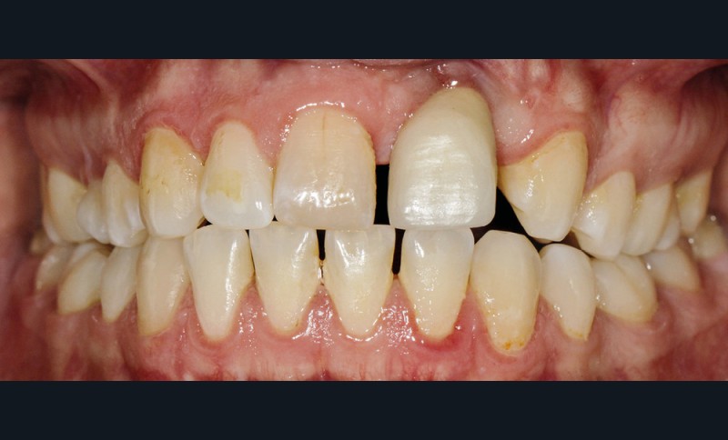
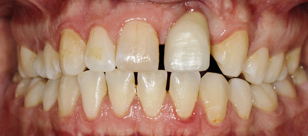
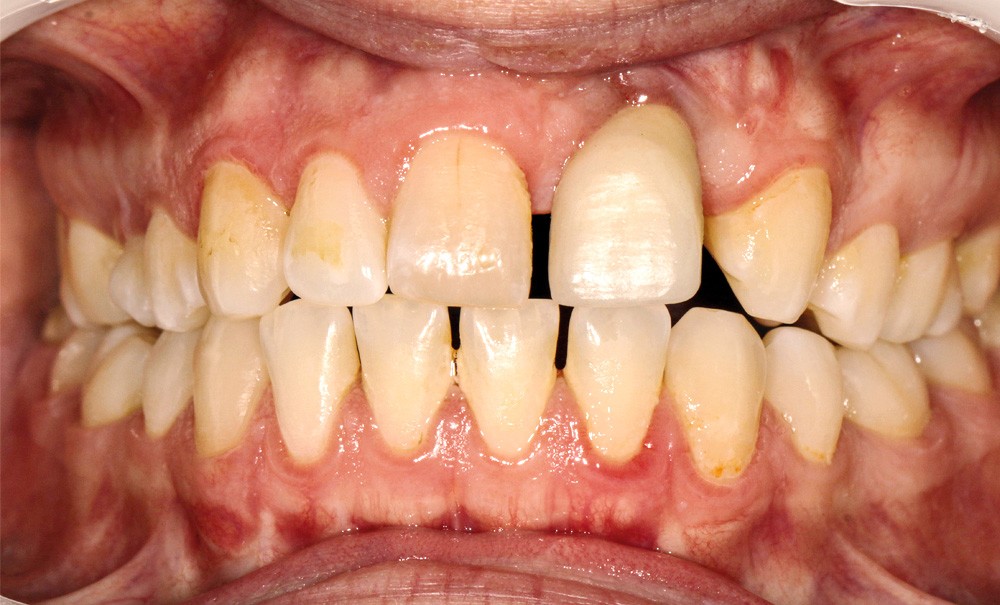
- au niveau esthétique : une couronne sur 21 disgracieuse et une déviation du milieu maxillaire vers la gauche (fig. 2) ;
- au niveau squelettique : une classe I normo–divergente ;
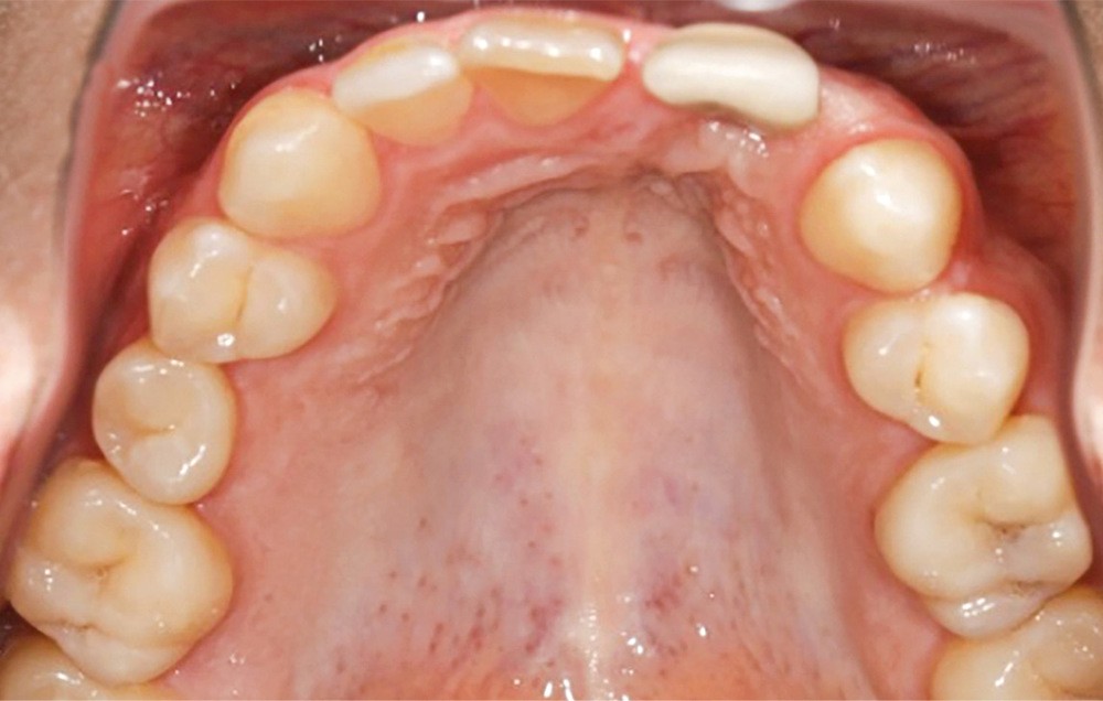
- au niveau dentaire : une arcade maxillaire asymétrique avec déviation du milieu maxillaire à gauche. On note l’absence de 21, 22, 25, 35 et 45, une classe II droite et gauche avec infraclusion antérieure et la présence d’un implant en place de 21 avec un diastème de 3 mm entre 21 et 23 (fig. 3) ;
- au niveau fonctionnel :une déglutition atypique avec interposition linguale entre les arcades dentaires.
Les objectifs de traitement sont donc :
- le recentrage du milieu maxillaire vers la droite, de manière à le ramener dans le plan sagittal médian ;
- le rétablissement d’une occlusion engrenante et symétrique en classe I. L’extraction de la 15 permettra, en l’absence des trois autres deuxièmes prémolaires, de symétriser l’arcade, de rétablir une occlusion de classe I et d’apporter l’espace nécessaire au recentrage du milieu maxillaire ;
- la fermeture de l’espace de 25 et la réouverture de l’espace pour un implant en place de 22.
Orthodontie avec utilisation de l’implant en place de 21 comme renfort d’ancrage
L’objectif est de recentrer le milieu maxillaire vers la droite du visage et de retrouver un diamètre mésio-distal suffisant pour remplacer prothétiquement 21 et 22 afin de rétablir un sourire harmonieux et symétrique.



