S’il est admis aujourd’hui que les résines composite représentent les matériaux les plus actuels pour remplacer les tissus perdus dans les restaurations coronaires, il nous faut choisir, en fonction de la situation clinique rencontrée, la famille et la viscosité la plus adaptée.
Les résines composite sont apparues dans les années 1960 pour remplacer les silicates et les résines acryliques. Elles sont composées d’une matrice et de charges ; pour les réunir, un agent de couplage, le silane. On a fait varier les charges en quantité et diminuer leur dimension pour corriger les défauts des premières résines, en particulier leur détérioration rapide. Cette évolution des charges avait comme objectif d’améliorer l’absorption des contraintes, l’aspect esthétique du matériau, et de limiter l’usure. Les charges sont la plupart du temps minérales et composées de silice (SiO2). À noter l’apparition ces dernières années de résines composite dont les charges sont à base de céramique organiquement modifiées : les « OrMoCers ».
Pour différencier les résines composite, et en particulier pour ordonner les indications de celles-ci, de grandes familles ont été proposées : les composites macrochargés, les microchargés et les composites hybrides [1].
Cette dernière famille a elle-même été divisée en fonction de la taille moyenne des charges et de la présence de nano-charges (2 à 70 nm) en microhybrides (charges < 1 μm) et en microhybrides nanochargés (charges < 0,4 μm). La « nanotechnologie » a permis d’améliorer l’esthétique, l’état de surface et la résistance à l’usure du matériau. On note que certaines résines composite sont composées uniquement de nanocharges comme 3M™ Filtek™ Supreme XTE. Ces charges directement liées à la matrice renforcent la cohésion entre les phases organiques et inorganiques. Selon le fabricant, cette technologie améliore l’aspect du matériau, augmente la facilité…
Utilisation des composites fluides pour les microcavités
- Par
- Publié le . Paru dans L'Information Dentaire (page 40-43)
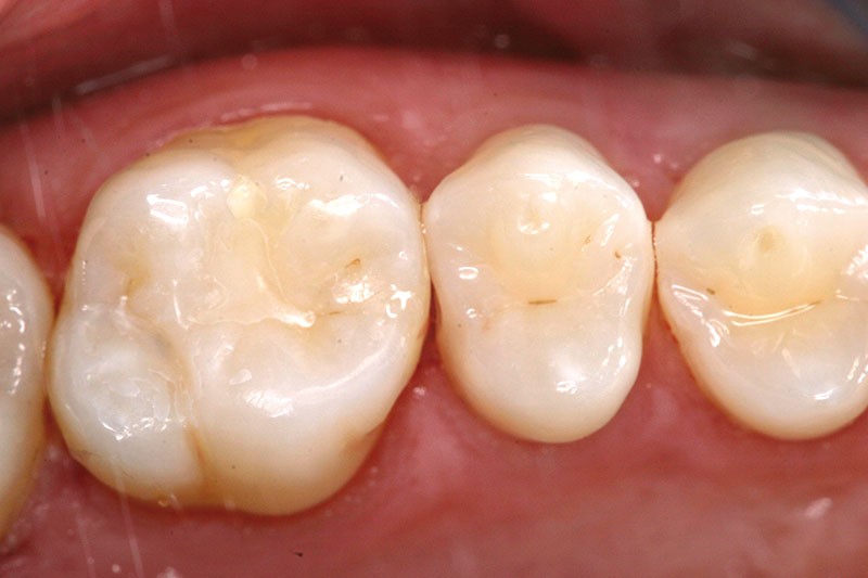
Ce rapport clinique illustre l’utilisation d’un composite fluide récent : 3M™ Filtek™ Supreme XTE Fluide dans plusieurs situations cliniques de restaurations postérieures par technique directe.
Cet article est réservé aux abonnés.
Pour lire la suite :
Vous êtes abonné.e ?
Connectez-vous
Pas encore abonné.e ?
Abonnez-vous
Abonnez-vous pour recevoir la revue et bénéficier des services en ligne et des avantages abonnés.
Vous pouvez également :
Acheter l'article
En version numérique