Cas Clinique n° 1 : Motion Classe II
Nous sommes en présence d’une patiente adolescente âgée de 12 ans ½ dans une phase de croissance faciale favorable.
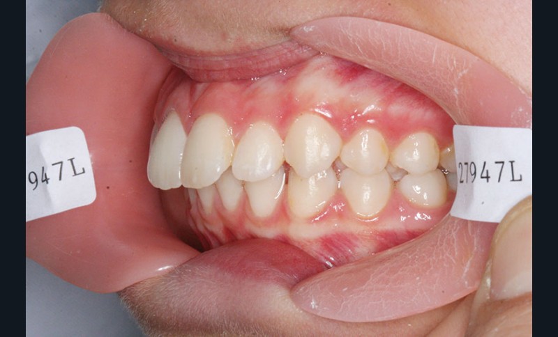
Elle présente une classe II squelettique par rétrognathie mandibulaire et une classe II dentaire molaire et canine droite et gauche associée à une biproalvéolie incisive maxillaire et mandibulaire.
L’environnement vertical est normodivergent.
Le contexte facial est délicat avec un profil cis-frontal, un angle naso-labial très ouvert et un sillon labio mentonnier marqué avec retour de la lèvre inférieure en arrière des incisives maxillaires.
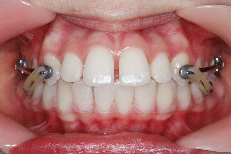
Le pronostic de correction de la classe II est favorable mais il est très important de souligner la vestibuloversion incisive mandibulaire et le risque parodontal associé (fig. 1 à 3).
Projet thérapeutique
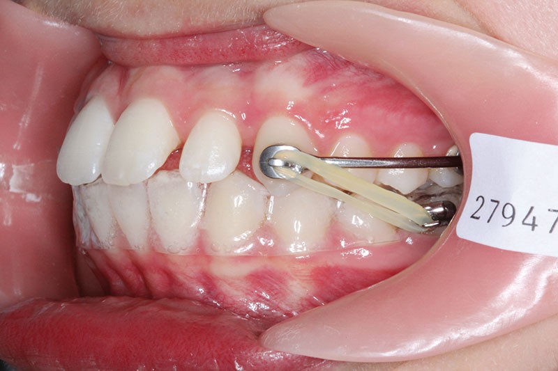
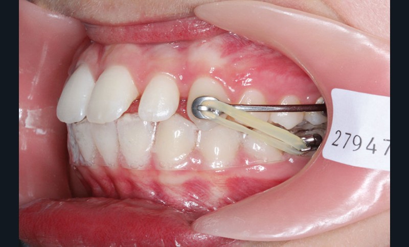
Il a été décidé de mettre en place un système de correction de la classe II “Motion Classe II Carriere” composé de bras latéraux reliant canine et molaire et d’élastiques de classe II ancrés sur des tubes molaires sur 36 et 46 et une gouttière thermoformée portée en permanence. sAprès dérotation des 16 et 26, recul des secteurs latéraux et libération de la croissance mandibulaire nous mettrons en place un système multiattache autoligaturant passif Carriere SLX 022×028 avec la séquence d’arcs suivante :
-.014 CuNitanium 27 °
-.014x.025 CuNitanium 27°
-.017x.025 CuNitanium 35°
-.019x.025 CuNitanium 35°
1re phase : le Motion Appliance Carriere
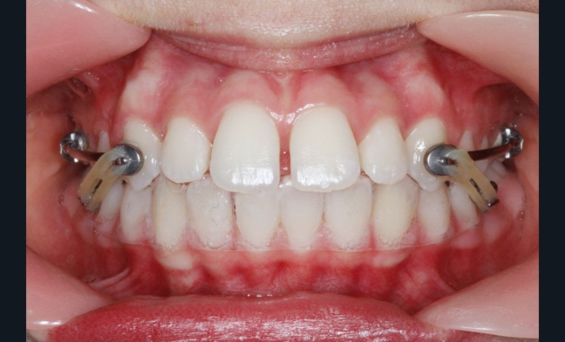
Afin d’obtenir la correction de la classe II, nous avons fait porter pendant 3 mois une mécanique d’élastiques intermaxillaires, jour et nuit, avec la séquence suivante (fig. 4):
1er mois : élastiques 6oz. ¼”
2e mois et mois suivants : 8 oz. 3/16”
2e phase : l’appareillage multibague Carriere…










