Cas clinique n° 2 : Motion Classe III
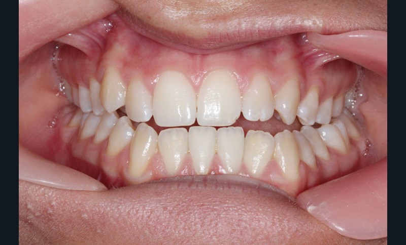
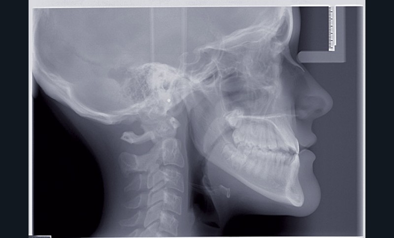
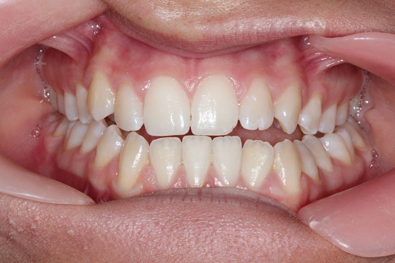
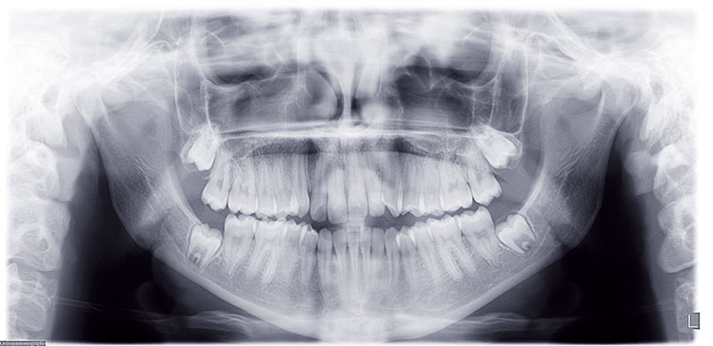
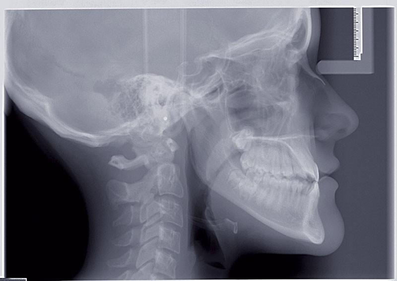
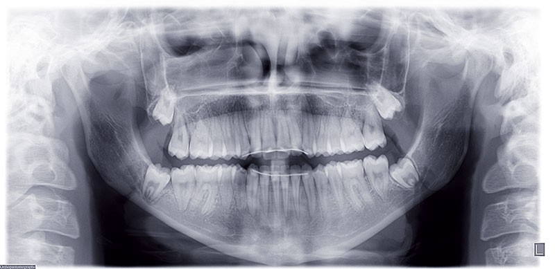
Nous sommes en présence d’une patiente en fin de croissance faciale, âgée de 16 ans. Elle présente une classe III dentaire et squelettique associée à une asymétrie faciale de type latérognathie mandibulaire avec déviation des points interincisifs et déviation du menton vers la gauche.
Le projet thérapeutique
Pour des raisons personnelles, la patiente refuse un protocole orthodontico-chirurgical. Nous optons pour une réduction de la classe III par compensations dento-alvéolaires car la progénie n’est pas très importante et nous estimons que le résultat dentaire, squelettique et facial peut être cohérent. Un système « Motion Classe III Carriere » va être utilisé suivi d’un appareillage multibague « Carriere SLX ».
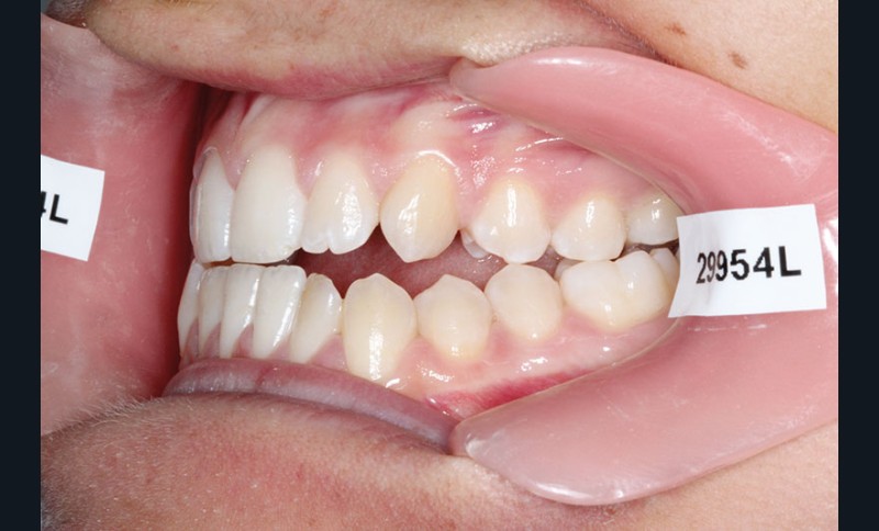
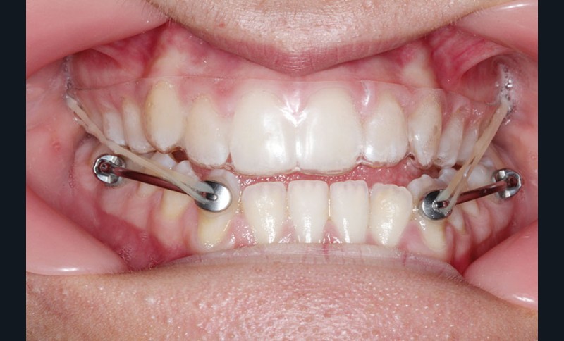
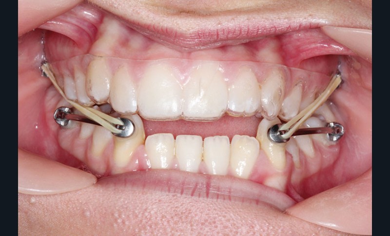
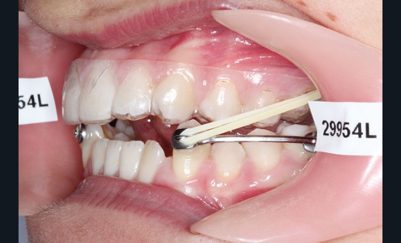
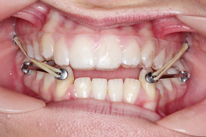
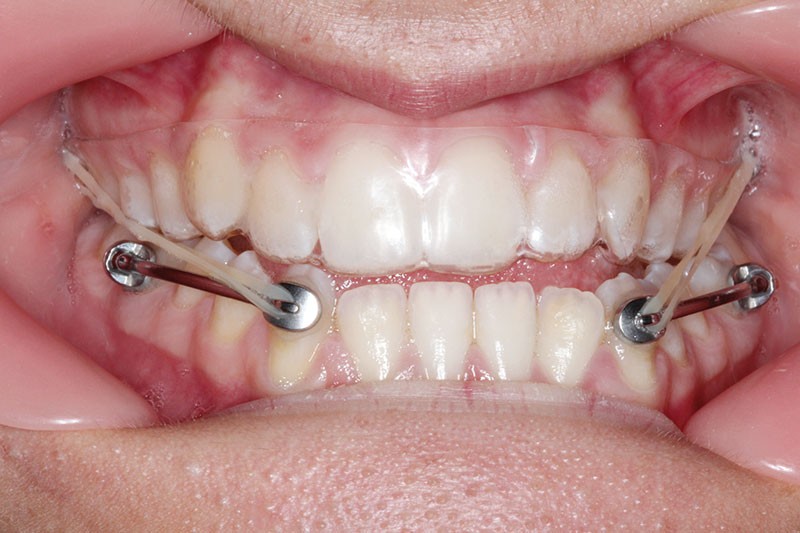
1re phase : recul des secteurs latéraux mandibulaires avec le Motion Classe III Carriere (fig. 4 à 6)
Nous mettons en place des bras latéraux Motion associés à des élastiques intermaxillaires ancrés sur des brackets sur 17 et 27 et une gouttière thermoformée maxillaire portée jour et nuit :
• 1er mois : élastiques 6 oz. 1/4”
• 2e mois et suivants : élastiques 6 oz.1/4“
L’objectif de cette étape est d’obtenir un recul des secteurs latéraux mandibulaires afin de positionner les molaires et canines en classe I et de réorienter le plan d’occlusion en haut en avant.
2e phase : mise en place du système multibague Carriere SLX (fig. 7 à 9)
Nous continuons le port des élastiques…























