Vulnérabilité occlusale en prothèse implantaire : pourquoi tout ce qui aurait pu mal tourner n’est pas arrivé ?

  • Par
  • Publié le . Paru dans L'Information Dentaire n°13 - 31 mars 2021 (page 111-120)
Information dentaire

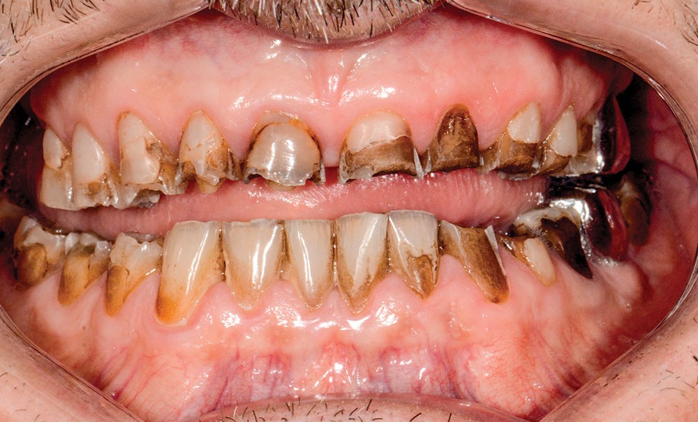
La réalisation de prothèses implanto-portées est devenue un acte courant pour les cabinets dentaires. Palliant l’absence de dents naturelles, elles permettent de restaurer une esthétique et une fonction au sein d’une intégration neuro-musculo-articulaire élargie à l’ensemble de l’appareil manducateur. Les fonctions de ce dernier sont multiples (mastication, esthétique, ventilation, déglutition, gustation, préhension, phonation, ancrage cervico-céphalique, gestion des émotions sous la dépendance du système nerveux central) et l’intégration d’une prothèse implanto-portée doit participer à chacune d’elles. Les concepts fondamentaux en prothèse implantaire se rapprochent des notions utilisées en prothèse conventionnelle dento-portée, avec néanmoins certaines subtilités propres à la physiologie particulière de l’unité implanto-prothétique. Cet article met en évidence, à la lumière de la littérature scientifique,un certain nombre de lignes guides en matière de réglages occlusaux en prothèse implantaire, tout en se basant sur un cas clinique qui interroge et bouscule nos savoirs.

L’implantologie est une discipline prothétique à composante chirurgicale. Positionner un implant puis une prothèse unitaire supra-implantaire, c’est considérer l’ensemble des dimensions, esthétique, biologique, fonctionnelle et occlusale. La problématique se pose avec plus d’acuité en cas d’implantation plurale, nécessitant parfois des greffes ou des aménagements osseux, qui restent avant tout des actes chirurgicaux à finalités prothétiques. L’acte implantaire doit s’intégrer dans une réflexion prothétique globale et ne doit pas se focaliser sur le seul édentement à restaurer [1] ; par exemple, un édentement non compensé peut occasionner des com­pensations dentaires ou dento-alvéolaires, sous la forme de versions ou d’égressions des dents adjacentes et/ou antagonistes, des adaptations musculo-articulaires, des gènes masticatoires, des habitudes modifiées de la part du patient, des modifications neuro-centrales sous la forme de schémas masticatoires altérés puis adaptés.

Penser l’occlusion autrement

Intégrer l’acte occluso-prothétique au sein d’une vision élargie de l’individu

La restauration occlusale joue un rôle majeur au sein des restaurations prothétiques globales : il s’agit de programmer des contacts harmonieusement répartis et équilibrés pour obtenir une stabilité de la position mandibulaire et de permettre des contractions mus­culaires isotoniques et isométriques dans le respect du fonctionnement des articulations temporo-man­dibulaires. Néanmoins, la restauration occlusale est sûrement plus que cela : il s’agit pour un clinicien de penser, d’une part, l’organisation occlusale, les morphologies dentaires, les déterminants antérieurs et postérieurs de l’occlusion ; de restaurer, d’autre part, le centrage, le calage et le guidage ; et, surtout, d’intégrer le rôle de la mandibule au sein de l’ancrage cervico-céphalique et de l’ensemble des processus de régulations complexes…

Cet article est réservé aux abonnés.
Pour lire la suite :

Vous êtes abonné.e ? Connectez-vous
Mot de passe
oublié ?

Vous pouvez également :

Acheter l'article En version numérique
Acheter le numéro À l'unité

Thèmes abordés