Acide hyaluronique

Article réservé à nos abonnés Association de l’acide hyaluronique à un substitut osseux pour le traitement des défauts infra-osseux parodontaux : à propos de 18 cas

Points clés En utilisant une chirurgie mini-invasive avec préservation papillaire et décollement a minima, l’association de l’acide hyaluronique avec une...
Parodontologie

Article réservé à nos abonnés Reconstitution de la papille interdentaire à l’aide d’acide hyaluronique : revue systématique

RÉSUMÉ Contexte : La perte des papilles interdentaires est devenue, dans la dentisterie moderne, l’un des problèmes esthétiques les plus...
Parodontologie

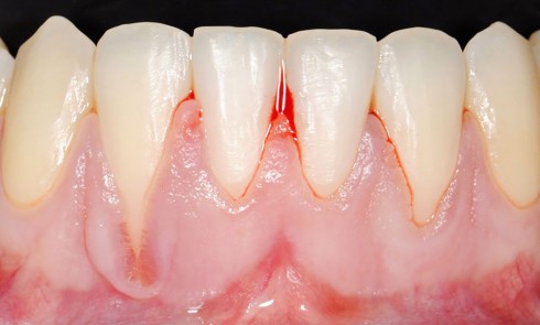
Article réservé à nos abonnés L’acide hyaluronique comme adjuvant du traitement des récessions gingivales

Contexte Les récessions gingivales (RG), définies comme une exposition radiculaire due à la migration apicale du rebord gingival au-delà de...