Adhésion

Odontologie restauratrice

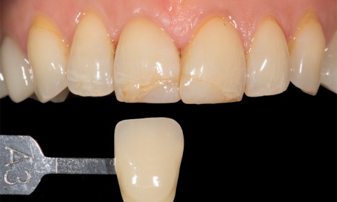
Article réservé à nos abonnés Stratification antérieure des résines composites

En dentisterie restauratrice, l’évolution et les progrès constants des matériaux et matériels (systèmes adhésifs, résines composites, spatules, pinceaux…) ont permis...
Esthétique

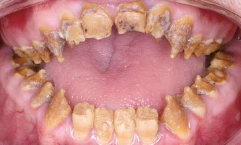
Article réservé à nos abonnés Approche moderne de la réhabilitation prothétique fixée des amélogenèses et dentinogenèses imparfaites de l’enfance à l’adolescence

La réhabilitation prothétique fixée des amélogenèses (AI) et des dentinogenèses imparfaites (DI) constitue un véritable challenge pour le praticien, comme...

Article réservé à nos abonnés Faisons le point sur l’adhésion en 2019

Principes de l’adhésion L’adhésion à l’émail est maîtrisée depuis 1955, et ce, avec une fiabilité et des valeurs d’adhérence à...
Esthétique

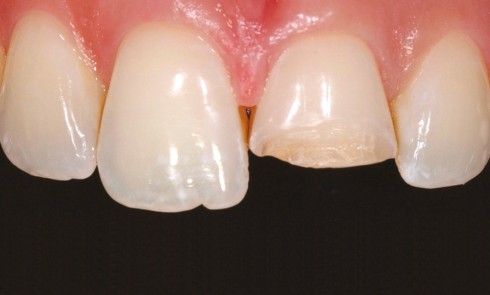
Article réservé à nos abonnés Les composites antérieurs en technique directe

Pourquoi faire des composites antérieurs ? Le choix et l’application correcte de différentes masses de résine composite, par technique de stratification,...
Esthétique, Odontologie restauratrice

Article réservé à nos abonnés L’utilisation du laser Er:YAG dans l’éviction carieuse

La dentisterie restauratrice, et en particulier le traitement des lésions carieuses, représente, une part importante de l’exercice d’un omnipraticien. Éviction...
CFAO

Article réservé à nos abonnés Évaluation moderne de l’intégration prothétique

Les critères de l’intégration prothétique Les critères d’intégration prothétique sont intemporels en prothèses fixées ; cela correspond aux éléments nécessaires au...