Agénésie

ODF

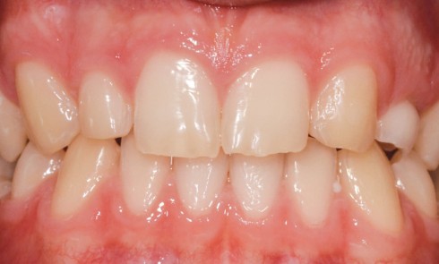
Article réservé à nos abonnés Approches multiples et variées pour contenir l’espace des incisives latérales absentes

Paramètres particuliers à prendre en compte Voici quelques aspects importants de la contention dans les cas d’agénésie des incisives latérales...
Parodontologie

Article réservé à nos abonnés Agénésie d’une incisive inférieure : et si on rajoutait plutôt une canine ?

En présence d’une agénésie d’incisive mandibulaire, le choix de la dent à remplacer n’est pas toujours une évidence clinique. En...
Odontologie pédiatrique

Article réservé à nos abonnés Gestion atypique d’une agénésie de prémolaires

Présentation du patient En 2013, un jeune patient de 16 ans est adressé au cabinet par le spécialiste qualifié en...