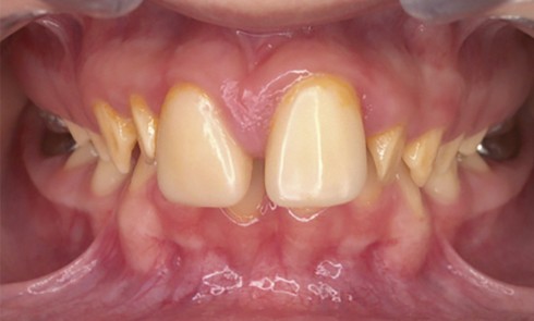
Amélogenèse imparfaite

Odontologie pédiatrique

Article réservé à nos abonnés Anomalies de structure : mieux diagnostiquer pour mieux traiter

Le diagnostic précoce et la prise en charge adéquate des anomalies de structure est un challenge que tout chirurgien-dentiste est...
Prothèse

Article réservé à nos abonnés Forme sévère d’amélogenèse imparfaite : prise en charge pluridisciplinaire et réhabilitation céramo-céramique

L’amélogenèse imparfaite (AI) est l’expression d’altérations génétiques associées à des mutations de nombreux gènes codant pour les protéines de l’émail...
Odontologie restauratrice

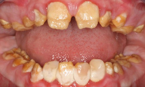
Article réservé à nos abonnés Amélogenèse imparfaite prise en charge de l’enfance à l’âge adulte

L’amélogenèse imparfaite, nom donné à un groupe hétérogène de pathologies affectant le développement de l’émail des deux dentures, a pour...
Odontologie restauratrice

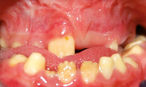
Article réservé à nos abonnés Amélogenèse imparfaite : une prise en charge médicale et psychologique pour aller au-delà des défis techniques et esthétiques

Définition L’amélogenèse imparfaite est le nom donné à un groupe hétérogène de pathologies caractérisées par un défaut inné du développement...
Pathologie

Article réservé à nos abonnés Modèles animaux : modélisations précliniques des maladies rares des tissus dentaires minéralisés

Les anomalies dentaires peuvent exister de manière isolée ou être associées à des manifestations extra-orales dans le cadre des maladies...
Esthétique

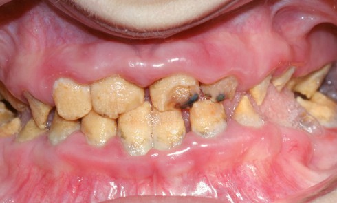
Article réservé à nos abonnés Les formes syndromiques d’anomalies de structure amélaire

Les anomalies de structure des tissus minéralisés amélaires constituent un groupe d’affections bucco-dentaires hétérogène sur les plans phénotypiques et moléculaires....
Esthétique

Article réservé à nos abonnés Approche moderne de la réhabilitation prothétique fixée des amélogenèses et dentinogenèses imparfaites de l’enfance à l’adolescence

La réhabilitation prothétique fixée des amélogenèses (AI) et des dentinogenèses imparfaites (DI) constitue un véritable challenge pour le praticien, comme...
Esthétique

Article réservé à nos abonnés Spécificités de la prise en charge orthodontique des amélogenèses imparfaites

L’amélogenèse imparfaite (AI) est une anomalie héréditaire rare de la structure dentaire, caractérisée par des défauts amélaires en denture temporaire...
Esthétique

Article réservé à nos abonnés Anomalies de la structure ostéo-dentaire et réhabilitations implantoprothétiques

Les réhabilitations implantoprothétiques permettent d’apporter des solutions fonctionnelles, esthétiques et économes en tissus biologiques. Les patients porteurs d’anomalies de la...
Esthétique

Article réservé à nos abonnés Les amélogenèses et dentinogenèses imparfaites : classifications clinico-moléculaires, aspects histologiques, cliniques et radiologiques

Une pathologie est dite rare lorsqu’elle affecte moins d’un individu sur 2 000 dans une population. Les amélogenèses imparfaites héréditaires (AIH)...