Antirésorptifs osseux

Médecine

Article réservé à nos abonnés Comment prévenir les ostéonécroses des maxillaires imputables aux antirésorptifs osseux ?

Il n’est pas question ici de remettre en cause le bien-fondé des prescriptions des IRO, dont les modalités ont été...
Médecine

Article réservé à nos abonnés Pharmacologie pratique des antirésorptifs osseux

Les antirésorptifs sont incontournables car ils ont fait la preuve de leur efficacité thérapeutique et que leur balance bénéfice/risque individuel...
Médecine

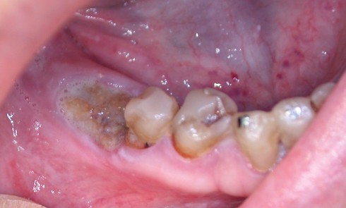
Article réservé à nos abonnés Comment traiter les ostéonécroses des mâchoires ? Traitement médical ou chirurgical ?

En 2014, l’American Association of Oral and Maxillofacial Surgeons (AAOMS) [1] a défini les critères de diagnostic de l’ostéonécrose (tableau 1), les...
Médecine

Article réservé à nos abonnés Les bisphosphonates et le dénosumab sont-ils vraiment utiles en rhumatologie ?

Qu’est-ce que l’ostéoporose ? En rhumatologie, les ostéopathies fragilisantes (ostéoporose post-ménopausique ou cortico-induite, atteintes osseuses d’origine génétique, dans le cadre de...
Médecine

Article réservé à nos abonnés Ostéopétrose et pycnodysostose, un modèle physiopathologique d’ostéonécrose des mâchoires induite par les antirésorptifs osseux

Physiopathologie des OCN et similitudes avec certaines maladies ostéocondensantes Il existe différentes maladies osseuses d’origine génétique caractérisées par une ostéosclérose (c’est-à-dire...