Assistante Dentaire

ODF

Article réservé à nos abonnés L’après-contention en orthodontie

Une fois le traitement orthodontique actif par multi-attaches terminé, et la première année de contention achevée, les patients ne sont...
ODF

Article réservé à nos abonnés La Coopération lors de la contention en orthodontie

Montrer l’amélioration obtenue Certains adolescents et adultes ont conservé de gros complexes liés à l’état de leurs dents avant traitement,...

Article réservé à nos abonnés Place du laser en omnipratique

Rappels des principes d’un laser Le mot laser est l’acronyme de light amplification by stimulated emission of radiation qui signifie...

Article réservé à nos abonnés Réussir la première consultation en odontologie pédiatrique

La première consultation en odontologie pédiatrique revêt un enjeu majeur, et de sa réussite dépendent en grande partie les relations...

Article réservé à nos abonnés Rôle de l’assistant(e) dans la manipulation des pièces prothétiques implantaires

La phase prothétique du traitement implantaire se situe après avoir obtenu la cicatrisation osseuse et muqueuse. Le respect de l’environnement...

Article réservé à nos abonnés L’activité physique et l’assistant(e) dentaire : amis ou ennemis ?

Le métier d’assistant(e) dentaire est contraignant pour le corps et pour l’esprit. Il demande de rester de nombreuses heures debout...

Article réservé à nos abonnés Un long rendez-vous s’annule au dernier moment ? Pas de panique !

Un agenda bien organisé est la clé pour une journée de travail en toute sérénité, car nous savons tous à...

Article réservé à nos abonnés Le rôle de l’assistante dentaire dans la gestion du flux numérique dans un cabinet d’orthodontie

L’assistante dentaire a un rôle central dans cette nouvelle organisation. Elle va préparer l’acquisition, gérer la transmission des données, organiser...

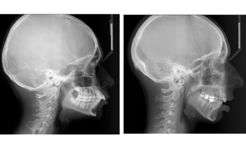
Article réservé à nos abonnés Un traitement orthodontico-chirurgical pour un beau sourire : pourquoi et comment ?

Bien que l’orthodontiste reste le cœur du cabinet, ses assistant(e)s ne sont pas moins concerné(e)s dans leur rôle actif sur...

Article réservé à nos abonnés Anticipez les actes cliniques, gagnez en efficacité !

S’organiser, c’est préparer chaque acte à l’avance dans un souci de vitesse, d’ergonomie, d’hygiène, de qualité des soins tant pour...

Article réservé à nos abonnés Quand l’hypnose conversationnelle dénoue une situation

Langage positif et activateur, écoute attentive et respectueuse, harmonisation sur le langage et sur la gestuelle du patient sont à...