Assistante Dentaire

Article réservé à nos abonnés L’empreinte optique

Qu’est-ce que l’empreinte optique ? L’empreinte optique est l’enregistrement des volumes bucco-dentaires à l’aide d’un système optique (caméra 3D)(fig. 1) permettant d’obtenir une...

Article réservé à nos abonnés Occlusion : rôle de l’assistante dentaire

On peut définir l’occlusion comme étant la façon dont les dents s’engrènent lorsque l’on ferme la bouche (fig. 1), ce qui...

Article réservé à nos abonnés Fichier excel et gestion des stocks

De quoi s’agit–il ?Outil informatique de gestion des stocks : tableur Excel proposé par Stéphanie K, assistante dentaire qualifiée et...

Article réservé à nos abonnés Les matériaux « esthétiques » du cabinet dentaire

Rappels d’esthétiqueLa définition colorimétrique d’une dent est un prérequis indispensable à sa restauration avec un matériau esthétique (Tableau 1). Cette prise...

Article réservé à nos abonnés Maquillage d’une pièce prothétique

Il est plus que probable, pour les assistantes travaillant dans un cabinet dentaire bénéficiant de la technologie CFAO, que ce...

Article réservé à nos abonnés Dialoguer avec le cabinet de radiologie

Le praticien adresse un patient à un radiologue : quels sont les types d’examens radiologiques concernés ? Comment expliquer au patient l’intérêt...

Article réservé à nos abonnés Modèle-type de prescription

Patient adressé pour une intervention de chirurgie orale CBCT

Article réservé à nos abonnés Fiches T et tableau des commandes

1. Fiche T. La couleur de la fiche indique le fournisseur habituel.Le nom du produit est mentionné (ici ClONa plus) :...

Article réservé à nos abonnés Gestion des stocks en route vers la traçabilité !

La matériovigilance est la surveillance des incidents ou risques d’incidents résultant de l’utilisation de dispositifs médicaux après leur mise sur...

Article réservé à nos abonnés Communication trinôme

Comment se passent les relations avec le laboratoire ? Très souvent la communication avec le laboratoire est étroite entre le chirurgien-dentiste...

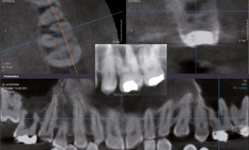
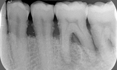
Article réservé à nos abonnés Les lésions endo-parodontales

Une lésion endo-parodontale est une lésion intéressant le parodonte et/ou l’endodonte, d’origine pulpaire et/ou parodontale (1). Cette définition montre la...

Article réservé à nos abonnés La correspondance du cabinet dentaire

Les règles de rédactionTout courrier doit comporter certaines informations et suivre un plan reproductible. L’identification du patientNom, prénom, date de...